免费电话:400-9961-933
邮箱:info@sabbiotech.com
欢迎光临本站
川博智能体 English
位置: 首页 > 重组兔单抗 > Cytokeratin 5 Rabbit mAb

Cytokeratin 5 Rabbit mAb#48720

是否有货: Yes
产品详情

产品名称Cytokeratin 5 Rabbit mAb

来源种属Recombinant Rabbit

克隆性Monoclonal antibody

纯化ProA affinity purified

应用WB, IHC

种属反应性Human;Mouse

免疫原描述A synthesized peptide derived from human Cytokeratin 5

标记Unconjugated

别名58 kDa cytokeratin antibody
CK-5 antibody
CK5 antibody
Cytokeratin-5 antibody
Cytokeratin5 antibody
DDD antibody
DDD1 antibody
EBS2 antibody
epidermolysis bullosa simplex 2 Dowling-Meara/Kobner/Weber-Cockayne types antibody
K2C5_HUMAN antibody
K5 antibody
keratin 5 (epidermolysis bullosa simplex, Dowling-Meara/Kobner/Weber-Cockayne types) antibody
Keratin 5 antibody
Keratin antibody
keratin complex 2, basic, gene 5 antibody
keratin, type II cytoskeletal 5 antibody
Keratin-5 antibody
Keratin5 antibody
KRT 5 antibody
Krt5 antibody
KRT5A antibody
type II cytoskeletal 5 antibody
Type-II keratin Kb5 antibody

数据库入口号Swiss-Prot#:P13647

Uniprot P13647

计算分子量62 kDa

配方Rabbit IgG in 10mM phosphate buffered saline , pH 7.4, 150mM sodium chloride, 0.05% BSA, 0.02% sodium azide and 50% glycerol.

保存Store at -20˚C

应用详情
WB: 1:1,000
IHC: 1:50-1:200


Western blot analysis of Cytokeratin 5 on A431 cell lysates using anti-Cytokeratin 5 at 1/500 dilution.
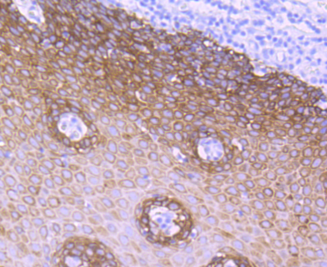
Immunohistochemical analysis of paraffin-embedded human tonsil tissue using anti-Cytokeratin 5 antibody. Counter stained with hematoxylin.

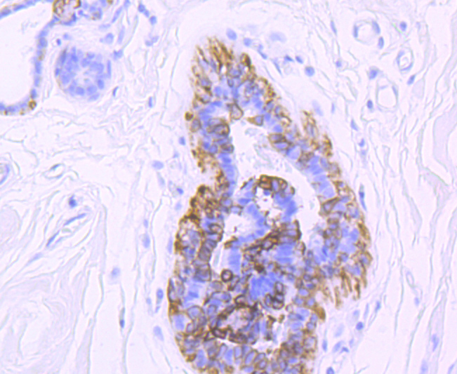
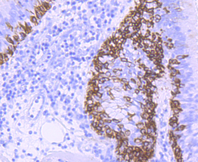
Immunohistochemical analysis of paraffin-embedded human lung cancer tissue using anti-Cytokeratin 5 antibody. Counter stained with hematoxylin.

Immunohistochemical analysis of paraffin-embedded human brest cancer tissue using anti-Cytokeratin 5 antibody. Counter stained with hematoxylin.

Cytokeratins comprise a diverse group of intermediate filament proteins (IFPs) that are expressed as pairs in both keratinized and non-keratinized epithelial tissue. Cytokeratins play a critical role in differentiation and tissue specialization and function to maintain the overall structural integrity of epithelial cells. Cytokeratins have been found to be useful markers of tissue differentiation which is directly applicable to the characterization of malignant tumors. Cytokeratin 5 is expressed in normal basal cells. Mutations of the cytokeratin 5 gene (KRT5) have been shown to result in the autosomal dominant disorder epidermolysis bullosa (EB).

如果您使用该产品48720发表了文章,请通知我们,让我们可以引用您的文献。

注释

应用

  • WB免疫印迹
  • IHC免疫组化
  • IF免疫荧光
  • ICC免疫细胞化学
  • FC流式细胞
  • IP免疫沉淀
  • E酶联免疫吸附法
  • DB免疫斑点法
  • ChIP染色质免疫沉淀
  • GICA胶体金免疫层析法
  • NC阴性对照

种属反应性

  • Hu
  • Ms小鼠
  • Rt大鼠
  • Dm果蝇
  • C线虫
  • Mk
  • Rb
  • B
  • D
  • P
  • Hm仓鼠
  • ChHm中国仓鼠
  • Chk
;

联系我们

Location :

南京市高新开发区星火路10号人才大厦C座

Phone :

400-9961-933
025-58868422

Email Address

info@sabbiotech.com