免费电话:400-9961-933
邮箱:info@sabbiotech.com
欢迎光临本站
川博智能体 English
位置: 首页 > 重组兔单抗 > PCNA Rabbit mAb

PCNA Rabbit mAb #48728

是否有货: Yes
产品详情

产品名称PCNA Rabbit mAb

克隆号SY12-07

来源种属Recombinant Rabbit

克隆性Monoclonal antibody

纯化ProA affinity purified

应用WB, ICC/IF, IHC, IP, FC

种属反应性Human;Mouse;Rat

免疫原描述recombinant protein

标记Unconjugated

别名ATLD2 antibody
cb16 antibody
Cyclin antibody
DNA polymerase delta auxiliary protein antibody
etID36690.10 antibody
fa28e03 antibody
fb36g03 antibody
HGCN8729 antibody
MGC8367 antibody
Mutagen-sensitive 209 protein antibody
OTTHUMP00000030189 antibody
OTTHUMP00000030190 antibody
PCNA antibody
Pcna/cyclin antibody
PCNA_HUMAN antibody
PCNAR antibody
Polymerase delta accessory protein antibody
Proliferating cell nuclear antigen antibody
wu:fa28e03 antibody
wu:fb36g03 antibody

数据库入口号Swiss-Prot#:P12004

Uniprot P12004

计算分子量29 kDa

配方1*TBS (pH7.4), 1%BSA, 40%Glycerol. Preservative: 0.05% Sodium Azide.

保存Store at -20˚C

应用详情
WB: 1:1,000-5,000
IHC: 1:100-1:500
ICC: 1:50-1:200
FC: 1:50-1:100
Western blot analysis of PCNA on different lysates using anti-PCNA antibody at 1/1,000 dilution. Positive control:
Lane 1: Hela
Lane 2: 293
Lane 3: A431
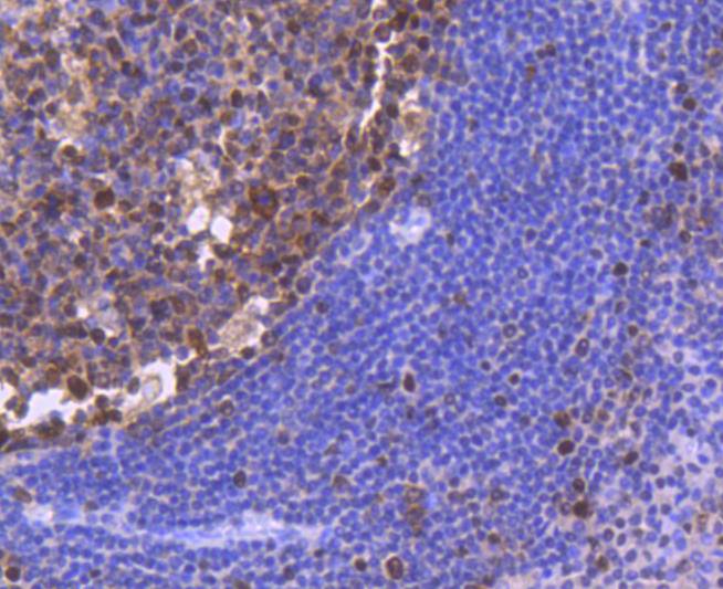
Immunohistochemical analysis of paraffin-embedded human tonsil tissue using anti-PCNA antibody. Counter stained with hematoxylin.
Immunohistochemical analysis of paraffin-embedded human spleen tissue using anti-PCNA antibody. Counter stained with hematoxylin.
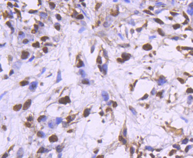
Immunohistochemical analysis of paraffin-embedded human breast carcinama tissue using anti-PCNA antibody. Counter stained with hematoxylin.
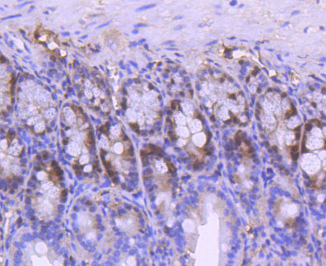
Immunohistochemical analysis of paraffin-embedded mouse colon tissue using anti-PCNA antibody. Counter stained with hematoxylin.
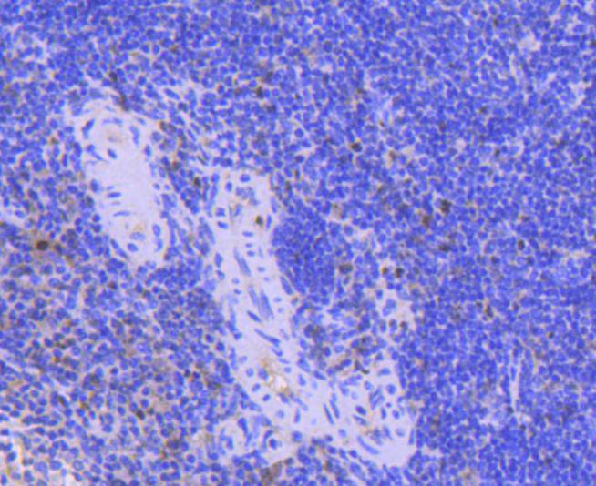
Immunohistochemical analysis of paraffin-embedded mouse spleen tissue using anti-PCNA antibody. Counter stained with hematoxylin.
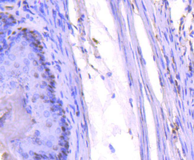
Immunohistochemical analysis of paraffin-embedded mouse stomach tissue using anti-PCNA antibody. Counter stained with hematoxylin.
Flow cytometric analysis of Hela cells with PCNA antibody at 1/50 dilution (red) compared with an unlabelled control (cells without incubation with primary antibody; black). Alexa Fluor 488-conjugated goat anti rabbit IgG was used as the secondary antibody.
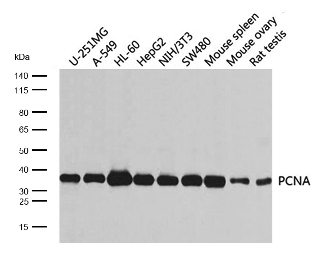
Western blot analysis of PCNA on different lysates using PCNA Rabbit mAb at 1/2,000 dilution.
The proliferating cell nuclear antigen (PCNA), a protein synthesized in early G1 and S phases of the cell cycle, functions in cell cycle progression, DNA replication and DNA repair. In early S phase, PCNA exhibits granular distribution and is absent from the nucleoli; however, in late S phase, it relocates to the nucleoli. PCNA exists in two basic forms: one involved in ongoing DNA replication, which localizes specifically to the nucleus, and a second, soluble form, not implicated in constant synthesis. Interestingly, the latter form degrades in the presence of organic solvents, rendering it undetectable by histological methods in tissues using organic fixatives, and thus also providing a method of visualizing only the synthesizing form.

如果您使用该产品48728发表了文章,请通知我们,让我们可以引用您的文献。

et al,Based on network pharmacology, gastrodin attenuates hypertension-induced vascular smooth muscle cell proliferation and PI3K/AKT pathway activationInSci RepOn 2023 Jul 26byAling Shen , Meizhu Wu et al..PMID:37495624 , (2023),
PMID: 37495624

注释

应用

  • WB免疫印迹
  • IHC免疫组化
  • IF免疫荧光
  • ICC免疫细胞化学
  • FC流式细胞
  • IP免疫沉淀
  • E酶联免疫吸附法
  • DB免疫斑点法
  • ChIP染色质免疫沉淀
  • GICA胶体金免疫层析法
  • NC阴性对照

种属反应性

  • Hu
  • Ms小鼠
  • Rt大鼠
  • Dm果蝇
  • C线虫
  • Mk
  • Rb
  • B
  • D
  • P
  • Hm仓鼠
  • ChHm中国仓鼠
  • Chk
;

联系我们

Location :

南京市高新开发区星火路10号人才大厦C座

Phone :

400-9961-933
025-58868422

Email Address

info@sabbiotech.com