免费电话:400-9961-933
邮箱:info@sabbiotech.com
欢迎光临本站
川博智能体 English
位置: 首页 > 重组兔单抗 > BDNF Rabbit mAb

BDNF Rabbit mAb #48755

是否有货: Yes
产品详情

产品名称BDNF Rabbit mAb

克隆号SJ12-09

来源种属Recombinant Rabbit

克隆性 Monoclonal antibody

纯化ProA affinity purified

应用WB, IHC, ICC/IF

种属反应性Human;Mouse;Rat;Zebrafish

免疫原描述recombinant protein

标记Unconjugated

别名Abrineurin antibody
ANON2 antibody
BDNF antibody
BDNF_HUMAN antibody
Brain Derived Neurotrophic Factor antibody
Brain-derived neurotrophic factor antibody
BULN2 antibody
MGC34632 antibody
Neurotrophin antibody

数据库入口号Swiss-Prot#:P23560

Uniprot P23560

计算分子量28 kDa

配方1*TBS (pH7.4), 1%BSA, 40%Glycerol. Preservative: 0.05% Sodium Azide.

保存Store at -20˚C

应用详情
WB: 1:1,000-1:2,000
IHC: 1:50-1:200
ICC: 1:50-1:200

Western blot analysis of BDNF on different lysates using anti-BDNF antibody at 1/1,000 dilution. Positive control:
Lane 1: SHG-44
Lane 2: A172
Lane 3: Mouse brain
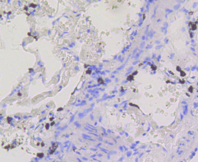
Immunohistochemical analysis of paraffin-embedded human lung tissue using anti-BDNF antibody. Counter stained with hematoxylin.
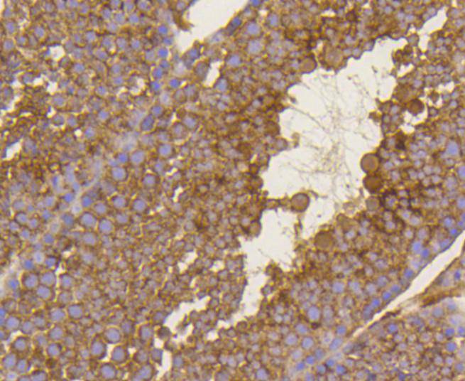
Immunohistochemical analysis of paraffin-embedded mouse testis tissue using anti-BDNF antibody. Counter stained with hematoxylin.
Immunohistochemical analysis of paraffin-embedded mouse brain tissue using anti-BDNF antibody. Counter stained with hematoxylin.
Immunohistochemical analysis of paraffin-embedded mouse heart tissue using anti-BDNF antibody. Counter stained with hematoxylin.
Neurotrophins function to regulate naturally occurring cell death of neurons during development. The prototype neurotrophin is nerve growth factor (NGF), originally discovered in the 1950s as a soluble peptide promoting the survival of, and neurite outgrowth from, sympathetic ganglia. Three additional structurally homologous neurotrophic factors have been identified. These include brain-derived neurotrophic factor (BDNF), neurotrophin-3 (NT-3) and neurotrophin-4 (NT-4) (also designated NT-5). These various neurotrophins stimulate the in vitro survival of distinct, but partially overlapping, populations of neurons. The cell surface receptors through which neurotrophins mediate their activity have been identified. For instance, the Trk A receptor is the preferential receptor for NGF, but also binds NT-3 and NT-4. The Trk B receptor binds both BDNF and NT-4 equally well, and binds NT-3 to a lesser extent, while the Trk C receptor only binds NT-3.

如果您使用该产品48755发表了文章,请通知我们,让我们可以引用您的文献。

et al,Naoxinqing tablet protects against cerebral ischemic/reperfusion injury by regulating ampkα/NAMPT/SIRT1/PGC-1α pathwayInJ EthnopharmacolOn2024 Mar 25byXiao Sun?1,?Yunfeng Pan et al..PMID:?38159826 , (2023),
PMID: 38159826
et al,Naoxinqing tablet protects against cerebral ischemic/reperfusion injury by regulating ampkα/NAMPT/SIRT1/PGC-1α pathway. In J Ethnopharmacol on 2024 Mar 25 by Xiao Sun, Yunfeng Pan,et al..PMID:38159826 , (2024),
PMID: 38159826
et al,Nociceptor-localized KCC2 suppresses brachial plexus avulsion-induced neuropathic pain and related central sensitization. , (2025),
PMID: 39891150
et al,Classical prescription Daqinjiao decoction inhibit cerebral ischemia/reperfusion induced necroptosis and ferroptosis through multiple mechanisms. , (2025),
PMID: 39736347

注释

应用

  • WB免疫印迹
  • IHC免疫组化
  • IF免疫荧光
  • ICC免疫细胞化学
  • FC流式细胞
  • IP免疫沉淀
  • E酶联免疫吸附法
  • DB免疫斑点法
  • ChIP染色质免疫沉淀
  • GICA胶体金免疫层析法
  • NC阴性对照

种属反应性

  • Hu
  • Ms小鼠
  • Rt大鼠
  • Dm果蝇
  • C线虫
  • Mk
  • Rb
  • B
  • D
  • P
  • Hm仓鼠
  • ChHm中国仓鼠
  • Chk
;

联系我们

Location :

南京市高新开发区星火路10号人才大厦C座

Phone :

400-9961-933
025-58868422

Email Address

info@sabbiotech.com