免费电话:400-9961-933
邮箱:info@sabbiotech.com
欢迎光临本站
川博智能体 English
位置: 首页 > 重组兔单抗 > PTEN Rabbit mAb

PTEN Rabbit mAb #48756

是否有货: Yes
产品详情

产品名称PTEN Rabbit mAb

克隆号SJ19-03

来源种属Recombinant Rabbit

克隆性 Monoclonal antibody

纯化ProA affinity purified

应用WB, ICC/IF, IHC

种属反应性Human;Mouse;Rat

免疫原描述recombinant protein

标记Unconjugated

别名10q23del antibody
BZS antibody
DEC antibody
GLM2 antibody
MGC11227 antibody
MHAM antibody
MMAC1 antibody
MMAC1 phosphatase and tensin homolog deleted on chromosome 10 antibody
Mutated in multiple advanced cancers 1 antibody
Phosphatase and tensin homolog antibody
Phosphatase and tensin like protein antibody
Phosphatidylinositol 3,4,5-trisphosphate 3-phosphatase and dual-specificity protein phosphatase PTEN antibody
Pten antibody
PTEN_HUMAN antibody
PTEN1 antibody
TEP1 antibody

数据库入口号Swiss-Prot#:P60484

Uniprot P60484

计算分子量54 kDa

配方1*TBS (pH7.4), 1%BSA, 40%Glycerol. Preservative: 0.05% Sodium Azide.

保存Store at -20˚C

应用详情
WB: 1:1,000-5,000
IHC: 1:50-1:200
ICC: 1:100-1:500

Western blot analysis of PTEN on different lysates using anti-PTEN antibody at 1/1,000 dilution. Positive control:
Lane 1: MCF-7
Lane 2: Hela
Lane 3: 293T
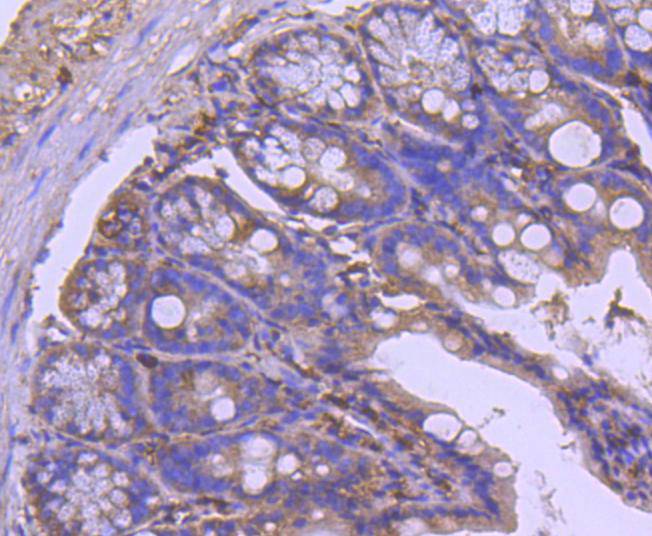
Immunohistochemical analysis of paraffin-embedded mouse colon tissue using anti-PTEN antibody. Counter stained with hematoxylin.
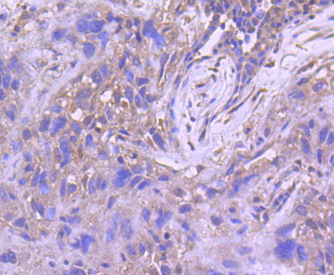
Immunohistochemical analysis of paraffin-embedded human breast carcinoma tissue using anti-PTEN antibody. Counter stained with hematoxylin.
ICC staining PTEN in Hela cells (green). The nuclear counter stain is DAPI (blue). Cells were fixed in paraformaldehyde, permeabilised with 0.25% Triton X100/PBS.
ICC staining PTEN in A549 cells (green). The nuclear counter stain is DAPI (blue). Cells were fixed in paraformaldehyde, permeabilised with 0.25% Triton X100/PBS.
ICC staining PTEN in SW480 cells (green). The nuclear counter stain is DAPI (blue). Cells were fixed in paraformaldehyde, permeabilised with 0.25% Triton X100/PBS.
As human tumors progress to advanced stages, one genetic alteration that occurs at high frequency is a loss of heterozygosity (LOH) at chromosome 10q23. Mapping of homozygous deletions on this chromosome led to the isolation of the PTEN gene, also designated MMAC1 (for mutated in multiple advanced cancers) and TEP1. This candidate tumor suppressor gene exhibits a high frequency of mutations in human glioblastomas and is also mutated in other cancers, including sporadic brain, breast, kidney and prostate cancers. PTEN has been associated with Cowden disease, an autosomal dominant cancer predisposition syndrome. The PTEN gene product is a putative protein tyrosine phosphatase that is localized to the cytoplasm and shares extensive homology with the cytoskeletal proteins tensin and auxilin. Gene transfer studies have indicated that the phosphatase domain of PTEN is essential for growth suppression of glioma cells.

如果您使用该产品48756发表了文章,请通知我们,让我们可以引用您的文献。

et al,Effect of Fushengong Decoction on PTEN/PI3K/AKT/NF-KB Pathway in Rats With Chronic Renal Failure via Dual-Dimension Network Pharmacology Strategy.In Front Pharmacol on 2022 Mar 15 by Hongyu Luo, Munan Wang,et al..PMID: 35370667 , (2022),
PMID: 35370667
et al,Effect of Fushengong Decoction on PTEN/PI3K/AKT/NF-κB Pathway in Rats With Chronic Renal Failure via Dual-Dimension Network Pharmacology Strategy. In Front Pharmacol on 2022 Mar 15 by Hongyu Luo, Munan Wang, et al..PMID: 35370667 , (2022),
PMID: 35370667

注释

应用

  • WB免疫印迹
  • IHC免疫组化
  • IF免疫荧光
  • ICC免疫细胞化学
  • FC流式细胞
  • IP免疫沉淀
  • E酶联免疫吸附法
  • DB免疫斑点法
  • ChIP染色质免疫沉淀
  • GICA胶体金免疫层析法
  • NC阴性对照

种属反应性

  • Hu
  • Ms小鼠
  • Rt大鼠
  • Dm果蝇
  • C线虫
  • Mk
  • Rb
  • B
  • D
  • P
  • Hm仓鼠
  • ChHm中国仓鼠
  • Chk
;

联系我们

Location :

南京市高新开发区星火路10号人才大厦C座

Phone :

400-9961-933
025-58868422

Email Address

info@sabbiotech.com