免费电话:400-9961-933
邮箱:info@sabbiotech.com
欢迎光临本站
川博智能体 English
位置: 首页 > 重组兔单抗 > CD63 Rabbit mAb

CD63 Rabbit mAb #48772

是否有货: Yes
产品详情

产品名称CD63 Rabbit mAb

克隆号SY21-02

来源种属Recombinant Rabbit

克隆性Monoclonal

纯化Affinity-chromatography

应用WB IHC ICC/IF

种属反应性Human

免疫原描述A synthesized peptide derived from human CD63

标记Unconjugated

别名Lysosomal associated membrane protein 3 antibody
CD 63 antibody
CD63 antibody
CD63 antigen (melanoma 1 antigen) antibody
CD63 antigen antibody
CD63 antigen melanoma 1 antigen antibody
CD63 molecule antibody
CD63_HUMAN antibody
gp55 antibody
Granulophysin antibody
LAMP 3 antibody
LAMP-3 antibody
LAMP3 antibody
LIMP antibody
Lysosomal-associated membrane protein 3 antibody
Lysosome associated membrane glycoprotein 3 antibody
Mast cell antigen AD1 antibody
ME491 antibody
Melanoma 1 antigen antibody
Melanoma associated antigen ME491 antibody
Melanoma associated antigen MLA1 antibody
Melanoma-associated antigen ME491 antibody
MGC72893 antibody
MLA 1 antibody
MLA1 antibody
NGA antibody
Ocular melanoma associated antigen antibody
Ocular melanoma-associated antigen antibody
OMA81H antibody
PTLGP40 antibody
Tetraspanin 30 antibody
Tetraspanin-30 antibody
Tspan 30 antibody
Tspan-30 antibody
TSPAN30 antibody

数据库入口号Swiss-Prot#:P08962

Uniprot P08962

计算分子量26kDa

实际分子量30-60kDa

配方Rabbit IgG in phosphate buffered saline , pH 7.4, 150mM NaCl, 0.02% sodium azide and 50% glycerol

保存 Store at +4°C short term. Store at -20°C long term. Avoid freeze / thaw cycle.

应用详情

WB 1:1000~1:2000
IHC 1:500~1:1000

All lanes: CD63 Rabbit mAb at 1/1k dilution
Lane 1 : A-375 whole cell lysates
Lane 2 : U-87 MG whole cell lysates
Lysates/proteins at 20 µg per lane.
Secondary
All lanes : Goat Anti-Rabbit IgG H&L (HRP) at 1/20000 dilution
Predicted band size: 26 kDa
Observed band size: 30-60 kDa
Exposure time: 7 seconds
All lanes : CD63 Rabbit mAb at 1/1k dilution
Lane 1 : Wild-type HAP1 cell lysate
Lane 2 : CD63 knockdown HAP1 cell lysate
Lysates/proteins at 20 µg per lane.
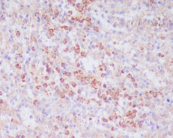
Formalin-fixed, paraffin-embedded human spleen tissue stained for CD63 using 48772 at 1/100 dilution in immunohistochemical analysis.
Immunocytochemistry/ Immunofluorescence CD63 antibody (48772)
ICC/IF staining of CD63 in Hela cells. Cells were fixed with 4% Paraformaldehyde permeabilized with 0.1% Triton X-100.
Samples were incubated with 48772 at a working dilution of 1/100. The secondary antibody was Alexa Fluor® 488 goat anti rabbit, used at a dilution of 1/500.
Nuclei were counterstained with DAPI.

Functions as cell surface receptor for TIMP1 and plays a role in the activation of cellular signaling cascades. Plays a role in the activation of ITGB1 and integrin signaling, leading to the activation of AKT, FAK/PTK2 and MAP kinases. Promotes cell survival, reorganization of the actin cytoskeleton, cell adhesion, spreading and migration, via its role in the activation of AKT and FAK/PTK2.

如果您使用该产品48772发表了文章,请通知我们,让我们可以引用您的文献。

et al,NK Cell‐Derived Small Extracellular Vesicles Armed With CLDN4‐Targeting Peptides Potentiate Radiotherapy in Gastric Cancer , (2025),
PMID: 41252335

注释

应用

  • WB免疫印迹
  • IHC免疫组化
  • IF免疫荧光
  • ICC免疫细胞化学
  • FC流式细胞
  • IP免疫沉淀
  • E酶联免疫吸附法
  • DB免疫斑点法
  • ChIP染色质免疫沉淀
  • GICA胶体金免疫层析法
  • NC阴性对照

种属反应性

  • Hu
  • Ms小鼠
  • Rt大鼠
  • Dm果蝇
  • C线虫
  • Mk
  • Rb
  • B
  • D
  • P
  • Hm仓鼠
  • ChHm中国仓鼠
  • Chk
;

联系我们

Location :

南京市高新开发区星火路10号人才大厦C座

Phone :

400-9961-933
025-58868422

Email Address

info@sabbiotech.com