免费电话:400-9961-933
邮箱:info@sabbiotech.com
欢迎光临本站
川博智能体 English
位置: 首页 > 重组兔单抗 > alpha smooth muscle Actin Rabbit mAb

alpha smooth muscle Actin Rabbit mAb #48785

是否有货: Yes
产品详情

产品名称alpha smooth muscle Actin Rabbit mAb

克隆号SY25-03

来源种属Recombinant Rabbit

克隆性Monoclonal antibody

纯化ProA affinity purified

应用WB, IHC, FC,IP,ICC/IF

种属反应性Human;Mouse;Rat;Zebrafish

免疫原描述recombinant protein

标记Unconjugated

别名a actin antibody
AAT6 antibody
ACTA_HUMAN antibody
ACTA2 antibody
Actin alpha 2 smooth muscle aorta antibody
Actin aortic smooth muscle antibody
Actin, aortic smooth muscle antibody
ACTSA antibody
ACTVS antibody
Alpha 2 actin antibody
Alpha actin 2 antibody
Alpha cardiac actin antibody
Alpha-actin-2 antibody
Cell growth inhibiting gene 46 protein antibody
Cell growth-inhibiting gene 46 protein antibody
GIG46 antibody
Growth inhibiting gene 46 antibody
MYMY5 antibody

数据库入口号Swiss-Prot#:P62736

Uniprot P62736

计算分子量42 kDa

实际分子量42 kDa

配方1*TBS (pH7.4), 1%BSA, 40%Glycerol. Preservative: 0.05% Sodium Azide.

保存Store at -20˚C

应用详情
WB: 1:1,000-5,000
IHC:1:50-1:200


FC: 1:50-1:100
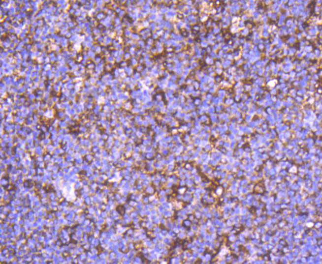
Immunohistochemical analysis of paraffin-embedded human tonsil tissue using anti-alpha smooth muscle Actin antibody. Counter stained with hematoxylin.
Immunohistochemical analysis of paraffin-embedded human lung tissue using anti-alpha smooth muscle Actin antibody. Counter stained with hematoxylin.
Immunohistochemical analysis of paraffin-embedded human liver tissue using anti-alpha smooth muscle Actin antibody. Counter stained with hematoxylin.
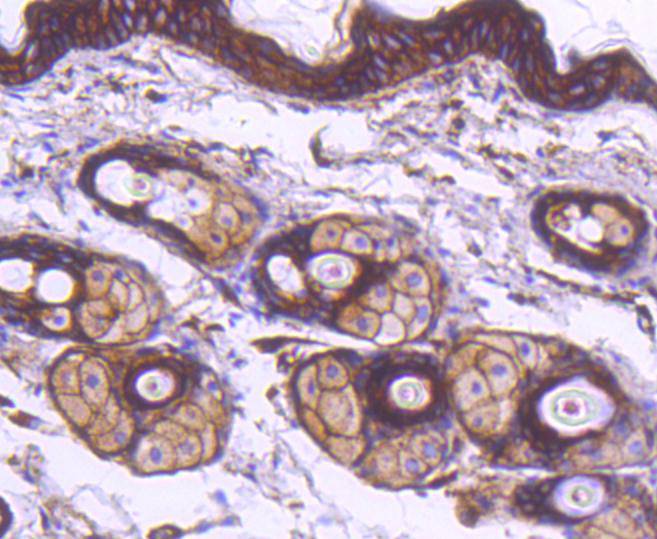
Immunohistochemical analysis of paraffin-embedded mouse skin tissue using anti-alpha smooth muscle Actin antibody. Counter stained with hematoxylin.
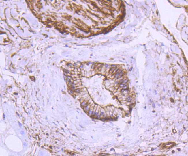
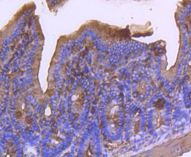
Immunohistochemical analysis of paraffin-embedded mouse small intestine tissue using anti-alpha smooth muscle Actin antibody. Counter stained with hematoxylin.
Flow cytometric analysis of Hela cells with alpha smooth muscle Actin antibody at 1/50 dilution (blue) compared with an unlabelled control (cells without incubation with primary antibody; red). Alexa Fluor 488-conjugated goat anti rabbit IgG was used as the secondary antibody.
All lanes: alpha smooth muscle Actin Rabbit mAb at 1/1k dilution
Lane 1 : 293 whole cell lysates
Lane 2 : A549 whole cell lysates
Lane 3 : C2C12 whole cell lysates
Lane 4 : PC12 whole cell lysates
Lane 5 : C6 whole cell lysates
Lysates/proteins at 20 µg per lane.
Secondary
All lanes : Goat Anti-Rabbit IgG H&L (HRP) at 1/20000 dilution
Predicted band size: 42 kDa
Observed band size: 42 kDa
Exposure time: 6 seconds
All lanes:alpha smooth muscle Actin Rabbit mAb at 1/1k dilution
Lane 1 : Wild-type Hela cell lysate
Lane 2 : alpha smooth muscle Actin knockdown Hela cell lysate
Lysates/proteins at 20 µg per lane.
Immunocytochemistry/ Immunofluorescence alpha smooth muscle Actin antibody (48785)
ICC/IF staining of alpha smooth muscle Actin in 293T cells. Cells were fixed with 4% Paraformaldehyde permeabilized with 0.1% Triton X-100.
Samples were incubated with 48785 at a working dilution of 1/100. The secondary antibody was Alexa Fluor® 647 goat anti rabbit, used at a dilution of 1/500.
Nuclei were counterstained with DAPI.
All eukaryotic cells express Actin, which often constitutes as much as 50% of total cellular protein. Actin filaments can form both stable and labile structures and are crucial components of microvilli and the contractile apparatus of muscle cells. While lower eukaryotes, such as yeast, have only one Actin gene, higher eukaryotes have several isoforms encoded by a family of genes. At least six types of Actin are present in mammalian tissues and fall into three classes. α-Actin expression is limited to various types of muscle, whereas �Cβ and γ-Actin are the principle constituents of filaments in other tissues. Members of the small GTPase family regulate the organization of the Actin cytoskeleton. Rho controls the assembly of Actin stress fibers and focal adhesion. Rac regulates Actin filament accumulation at the plasma membrane. Cdc42 stimulates formation of filopodia.

如果您使用该产品48785发表了文章,请通知我们,让我们可以引用您的文献。

et al,Novel therapeutic insights into pathological cardiac hypertrophy: tRF-16-R29P4PE regulates PACE4 and metabolic pathways. , (2025),
PMID: 39947523

注释

应用

  • WB免疫印迹
  • IHC免疫组化
  • IF免疫荧光
  • ICC免疫细胞化学
  • FC流式细胞
  • IP免疫沉淀
  • E酶联免疫吸附法
  • DB免疫斑点法
  • ChIP染色质免疫沉淀
  • GICA胶体金免疫层析法
  • NC阴性对照

种属反应性

  • Hu
  • Ms小鼠
  • Rt大鼠
  • Dm果蝇
  • C线虫
  • Mk
  • Rb
  • B
  • D
  • P
  • Hm仓鼠
  • ChHm中国仓鼠
  • Chk
;

联系我们

Location :

南京市高新开发区星火路10号人才大厦C座

Phone :

400-9961-933
025-58868422

Email Address

info@sabbiotech.com