免费电话:400-9961-933
邮箱:info@sabbiotech.com
欢迎光临本站
川博智能体 English
位置: 首页 > 重组兔单抗 > CDK1 Rabbit mAb

CDK1 Rabbit mAb #48788

是否有货: Yes
产品详情

产品名称CDK1 Rabbit mAb

克隆号SM01-44

来源种属Recombinant Rabbit

克隆性 Monoclonal antibody

纯化ProA affinity purified

应用WB, ICC/IF, IHC, IP

种属反应性Human;Mouse;Rat

免疫原描述recombinant protein

标记Unconjugated

别名Cdc 2 antibody
Cdc2 antibody
CDC28A antibody
CDK 1 antibody
CDK1 antibody
CDK1_HUMAN antibody
CDKN1 antibody
CELL CYCLE CONTROLLER CDC2 antibody
Cell division control protein 2 antibody
Cell division control protein 2 homolog antibody
Cell division cycle 2 G1 to S and G2 to M antibody
Cell division protein kinase 1 antibody
Cell Divsion Cycle 2 Protein antibody
Cyclin Dependent Kinase 1 antibody
Cyclin-dependent kinase 1 antibody
DKFZp686L20222 antibody
MGC111195 antibody
p34 Cdk1 antibody
p34 protein kinase antibody
P34CDC2 antibody

数据库入口号Swiss-Prot#:P06493

Uniprot P06493

计算分子量34 kDa

配方1*TBS (pH7.4), 1%BSA, 40%Glycerol. Preservative: 0.05% Sodium Azide.

保存Store at -20˚C

应用详情
WB: 1:1,000-1:2,000
IHC: 1:50-1:200
ICC: 1:50-1:200

Western blot analysis of CDK1 on Jurkat cells lysates using anti-CDK1 antibody at 1/1,000 dilution.
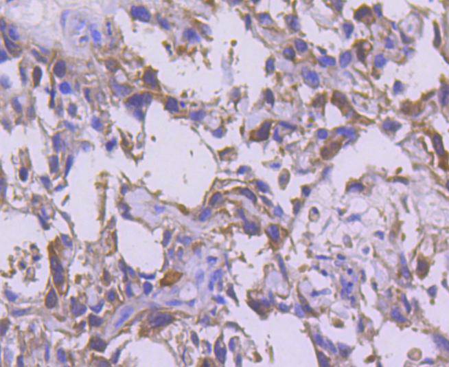
Immunohistochemical analysis of paraffin-embedded human breast carcinoma tissue using anti-CDK1 antibody. Counter stained with hematoxylin.
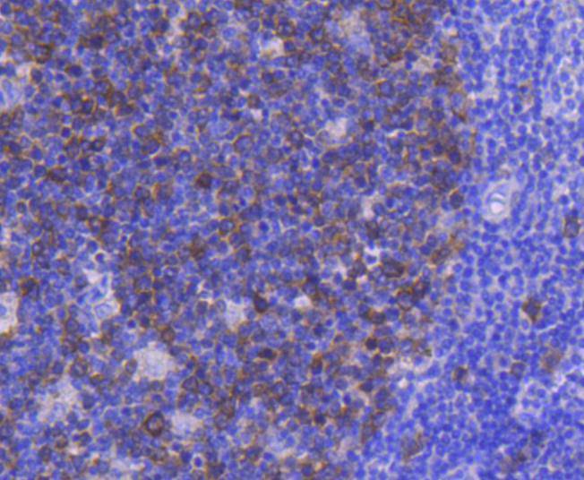
Immunohistochemical analysis of paraffin-embedded human tonsil tissue using anti-CDK1 antibody. Counter stained with hematoxylin.
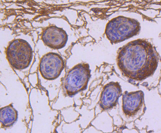
Immunohistochemical analysis of paraffin-embedded mouse skin tissue using anti-CDK1 antibody. Counter stained with hematoxylin.
ICC staining CDK1 in Hela cells (green). The nuclear counter stain is DAPI (blue). Cells were fixed in paraformaldehyde, permeabilised with 0.25% Triton X100/PBS.
ICC staining CDK1 in MCF-7 cells (green). The nuclear counter stain is DAPI (blue). Cells were fixed in paraformaldehyde, permeabilised with 0.25% Triton X100/PBS.
ICC staining CDK1 in A431 cells (green). The nuclear counter stain is DAPI (blue). Cells were fixed in paraformaldehyde, permeabilised with 0.25% Triton X100/PBS.
Cdk1 is a small protein (approximately 34 kilodaltons), and is highly conserved. Cdk1 is comprised mostly by the bare protein kinase motif, which other protein kinases share. Cdk1, like other kinases, contains a cleft in which ATP fits. When bound to its cyclin partners, Cdk1 phosphorylation leads to cell cycle progression. Given its essential role in cell cycle progression, Cdk1 is highly regulated. Most obviously, Cdk1 is regulated by its binding with its cyclin partners. Cyclin binding alters access to the active site of Cdk1, allowing for Cdk1 activity; furthermore, cyclins impart specificity to Cdk1 activity. At least some cyclins contain a hydrophobic patch which may directly interact with substrates, conferring target specificity. Furthermore, cyclins can target Cdk1 to particular subcellular locations.

如果您使用该产品48788发表了文章,请通知我们,让我们可以引用您的文献。

et al,Selective apoptosis-inducing activity of synthetic hydrocarbon-stapled SOS1 helix with d-amino acids in H358 cancer cells expressing KRASG12C.In Eur J Med Chem on 2020 Jan 1 by Xu LL, Li CC et al..PMID:31706640 , (2020),
PMID: 31706640
et al,Apoptosis-inducing activity of synthetic hydrocarbon-stapled peptides in H358 cancer cells expressing KRASG12C. In Acta Pharm Sin B on 2021 Sep by Cuicui Li, Ni Zhao,et al..PMID:34589388 , (2021),
PMID: 34589388

注释

应用

  • WB免疫印迹
  • IHC免疫组化
  • IF免疫荧光
  • ICC免疫细胞化学
  • FC流式细胞
  • IP免疫沉淀
  • E酶联免疫吸附法
  • DB免疫斑点法
  • ChIP染色质免疫沉淀
  • GICA胶体金免疫层析法
  • NC阴性对照

种属反应性

  • Hu
  • Ms小鼠
  • Rt大鼠
  • Dm果蝇
  • C线虫
  • Mk
  • Rb
  • B
  • D
  • P
  • Hm仓鼠
  • ChHm中国仓鼠
  • Chk
;

联系我们

Location :

南京市高新开发区星火路10号人才大厦C座

Phone :

400-9961-933
025-58868422

Email Address

info@sabbiotech.com