免费电话:400-9961-933
邮箱:info@sabbiotech.com
欢迎光临本站
川博智能体 English
位置: 首页 > 重组兔单抗 > STAT6 Rabbit mAb

STAT6 Rabbit mAb #48795

是否有货: Yes
产品详情

产品名称STAT6 Rabbit mAb

克隆号SY02-72

来源种属Recombinant Rabbit

克隆性 Monoclonal antibody

纯化ProA affinity purified

应用WB, ICC/IF, IHC, IP

种属反应性Human;Mouse

免疫原描述recombinant protein

标记Unconjugated

别名12S1644 antibody
D12S1644 antibody
IL 4 STAT antibody
IL-4 Stat antibody
IL4 STAT antibody
Interleukin 4 Induced antibody
Interleukin 4 Induced Transcription Factor IL4 STAT antibody
Signal transducer and activator of transcription 6 antibody
Signal Transducer And Activator Of Transcription 6 Interleukin 4 Induced antibody
Signal Transducer And Activator Of Transcription 6 Nirs Variant 1 antibody
Signal transducer and activator of transcription 6, interleukin 4 induced antibody
STAT 6 antibody
STAT interleukin4 induced antibody
STAT, interleukin4 induced antibody
Stat6 antibody
STAT6_HUMAN antibody
STAT6B antibody
STAT6C antibody
Transcription factor IL 4 STAT antibody

数据库入口号Swiss-Prot#:P42226

Uniprot P42226

计算分子量94 kDa

配方1*TBS (pH7.4), 1%BSA, 40%Glycerol. Preservative: 0.05% Sodium Azide.

保存Store at -20˚C

应用详情
WB: 1:1,000-1:2,000
IHC: 1:50-1:200
ICC: 1:50-1:200

Western blot analysis of STAT6 on different lysates using anti-STAT6 antibody at 1/1,000 dilution. Positive control:
Lane 1: Hela
Lane 2: Raji
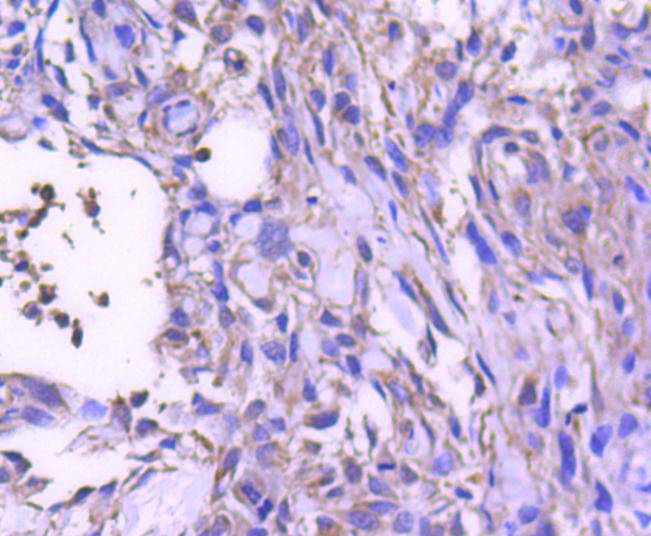
Immunohistochemical analysis of paraffin-embedded human breast carcinoma tissue using anti-STAT6 antibody. Counter stained with hematoxylin.
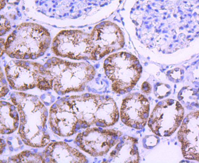
Immunohistochemical analysis of paraffin-embedded human kidney tissue using anti-STAT6 antibody. Counter stained with hematoxylin.
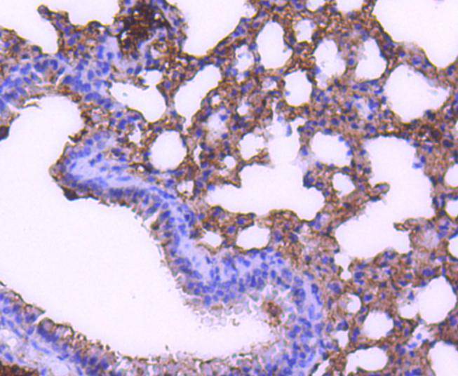
Immunohistochemical analysis of paraffin-embedded mouse lung tissue using anti-STAT6 antibody. Counter stained with hematoxylin.
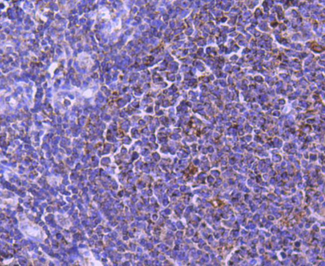
Immunohistochemical analysis of paraffin-embedded human tonsil tissue using anti-STAT6 antibody. Counter stained with hematoxylin.
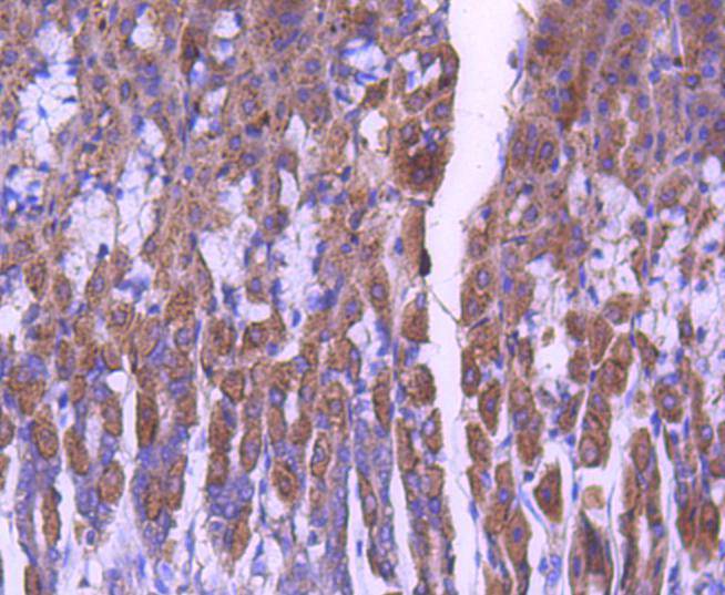
Immunohistochemical analysis of paraffin-embedded mouse stomach tissue using anti-STAT6 antibody. Counter stained with hematoxylin.
ICC staining STAT6 in Hela cells (green). The nuclear counter stain is DAPI (blue). Cells were fixed in paraformaldehyde, permeabilised with 0.25% Triton X100/PBS.
ICC staining STAT6 in AGS cells (green). The nuclear counter stain is DAPI (blue). Cells were fixed in paraformaldehyde, permeabilised with 0.25% Triton X100/PBS.
ICC staining STAT6 in NIH/3T3 cells (green). The nuclear counter stain is DAPI (blue). Cells were fixed in paraformaldehyde, permeabilised with 0.25% Triton X100/PBS.
Membrane receptor signaling by various ligands, including interferons and growth hormones such as EGF, induces activation of JAK kinases which then leads to tyrosine phosphorylation of proteins that have been designated Stats (signal transducers and activators of transcription). The first members of this family to be described include Stat1α p91, Stat1β p84 (a form of p91 that lacks 38 COOH-terminal amino acids) and Stat2 p113. Stat1 and Stat2 are induced by IFN-a and form a heterodimer which is part of the ISGF3 transcription factor complex. Stat3, which becomes activated in response to epidermal growth factor (EGF) and interleukin-6 (IL-6), but not interferon-? (IFN-?) or Stat4, is an additional member of this family. It has been suggested that the phosphorylated forms of both Stat3 and Stat4 form homodimers as well as heterodimers with the other members of the Stat family, and that differential activation of different Stat proteins in response to different ligands should help to explain specificity in nuclear signaling from the cell surface. Highest expression of Stat4 is seen in testis and myeloid cells. IL-12 has been identified as an activator of Stat4. Other members of the Stat family include Stat5, which has been shown to be activated by prolactin and by IL-3, and Stat6 (also designated IL-4 Stat), which is involved in IL-4-activated signaling pathways.

如果您使用该产品48795发表了文章,请通知我们,让我们可以引用您的文献。

et al,Interleukin 13 signaling modulates dopaminergic functions and nicotine reward in rodents , (2025),
PMID: 40775068

注释

应用

  • WB免疫印迹
  • IHC免疫组化
  • IF免疫荧光
  • ICC免疫细胞化学
  • FC流式细胞
  • IP免疫沉淀
  • E酶联免疫吸附法
  • DB免疫斑点法
  • ChIP染色质免疫沉淀
  • GICA胶体金免疫层析法
  • NC阴性对照

种属反应性

  • Hu
  • Ms小鼠
  • Rt大鼠
  • Dm果蝇
  • C线虫
  • Mk
  • Rb
  • B
  • D
  • P
  • Hm仓鼠
  • ChHm中国仓鼠
  • Chk
;

联系我们

Location :

南京市高新开发区星火路10号人才大厦C座

Phone :

400-9961-933
025-58868422

Email Address

info@sabbiotech.com