免费电话:400-9961-933
邮箱:info@sabbiotech.com
欢迎光临本站
川博智能体 English
位置: 首页 > 重组兔单抗 > GSK3 beta Rabbit mAb

GSK3 beta Rabbit mAb #48798

是否有货: Yes
产品详情

产品名称GSK3 beta Rabbit mAb

克隆号SY28-03

来源种属Recombinant Rabbit

克隆性 Monoclonal antibody

纯化ProA affinity purified

应用WB, ICC/IF, IHC, FC

种属反应性Human;Mouse

免疫原描述recombinant protein

标记Unconjugated

别名Glycogen Synthase Kinase 3 Beta antibody
Glycogen synthase kinase-3 beta antibody
GSK 3 beta antibody
GSK-3 beta antibody
GSK3B antibody
GSK3B_HUMAN antibody
GSK3beta isoform antibody
Serine/threonine-protein kinase GSK3B antibody

数据库入口号Swiss-Prot#:P49841

Uniprot P49841

计算分子量46 kDa

配方1*TBS (pH7.4), 1%BSA, 40%Glycerol. Preservative: 0.05% Sodium Azide.

保存Store at -20˚C

应用详情
WB: 1:1,000-1:2,000
IHC: 1:50-1:200
ICC: 1:50-1:200

FC: 1:50-1:100
Western blot analysis of GSK3 beta on different lysates using anti-GSK3 beta antibody at 1/1,000 dilution. Positive control:
Lane 1: Hela
Lane 2: 293
Lane 3: NIH/3T3
Lane 4: PC12
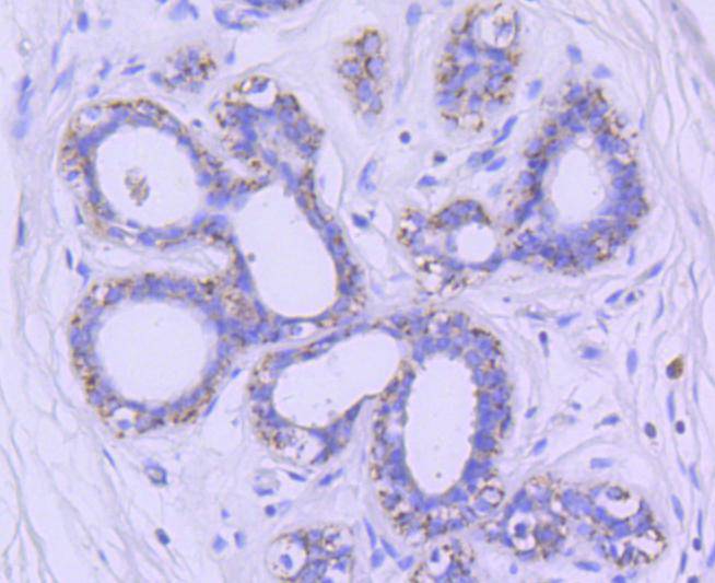
Immunohistochemical analysis of paraffin-embedded human breast tissue using anti-GSK3 beta antibody. Counter stained with hematoxylin.
Immunohistochemical analysis of paraffin-embedded human breast carcinoma tissue using anti-GSK3 beta antibody. Counter stained with hematoxylin.
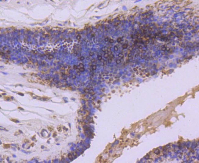
Immunohistochemical analysis of paraffin-embedded mouse testis tissue using anti-GSK3 beta antibody. Counter stained with hematoxylin.
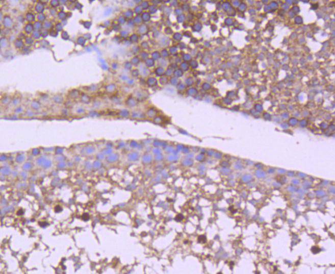
Immunohistochemical analysis of paraffin-embedded mouse prostate tissue using anti-GSK3 beta antibody. Counter stained with hematoxylin.
ICC staining GSK3 beta in Hela cells (green). The nuclear counter stain is DAPI (blue). Cells were fixed in paraformaldehyde, permeabilised with 0.25% Triton X100/PBS.
ICC staining GSK3 beta in PC-3M cells (green). The nuclear counter stain is DAPI (blue). Cells were fixed in paraformaldehyde, permeabilised with 0.25% Triton X100/PBS.
ICC staining GSK3 beta in SKOV-3 cells (green). The nuclear counter stain is DAPI (blue). Cells were fixed in paraformaldehyde, permeabilised with 0.25% Triton X100/PBS.
Flow cytometric analysis of Hela cells with GSK3 beta antibody at 1/50 dilution (blue) compared with an unlabelled control (cells without incubation with primary antibody; red). Alexa Fluor 488-conjugated goat anti rabbit IgG was used as the secondary antibody.
Glycogen synthase kinase 3, or GSK-3, is a serine/threonine, proline-directed kinase involved in a diverse array of signaling pathways, including glycogen synthesis and cellular adhesion, and has been implicated in Alzheimer��s disease. Two forms of GSK-3, designated GSK-3α and GSK-3β, have been identified and differ in their subcellular localization. Tau, a microtubule-binding protein which serves to stabilize microtubules in growing axons, is found to be hyper-phosphorylated in paired helical filaments (PHF), the major fibrous component of neurofibrillary lesions associated with Alzheimer��s disease. Hyperphosphorylation of Tau is thought to be the critical event leading to the assembly of PHF. Six Tau protein isoforms have been identified, all of which are phosphorylated by GSK-3. This presents the possibility that miscues in GSK-3 signaling contribute to the onset of Alzheimer��s disease.

如果您使用该产品48798发表了文章,请通知我们,让我们可以引用您的文献。

et al,Grass carp (Ctenopharyngodon idellus) SHP2 suppresses IFN I expression via decreasing the phosphorylation of GSK3 beta in a non-contact manner , (2021),
PMID: 34265416

注释

应用

  • WB免疫印迹
  • IHC免疫组化
  • IF免疫荧光
  • ICC免疫细胞化学
  • FC流式细胞
  • IP免疫沉淀
  • E酶联免疫吸附法
  • DB免疫斑点法
  • ChIP染色质免疫沉淀
  • GICA胶体金免疫层析法
  • NC阴性对照

种属反应性

  • Hu
  • Ms小鼠
  • Rt大鼠
  • Dm果蝇
  • C线虫
  • Mk
  • Rb
  • B
  • D
  • P
  • Hm仓鼠
  • ChHm中国仓鼠
  • Chk
;

联系我们

Location :

南京市高新开发区星火路10号人才大厦C座

Phone :

400-9961-933
025-58868422

Email Address

info@sabbiotech.com