免费电话:400-9961-933
邮箱:info@sabbiotech.com
欢迎光临本站
川博智能体 English
位置: 首页 > 重组兔单抗 > Myosin light chain kinase Rabbit mAb

Myosin light chain kinase Rabbit mAb #48846

是否有货: Yes
产品详情

产品名称Myosin light chain kinase Rabbit mAb

克隆号SU40-06

来源种属Recombinant Rabbit

克隆性Monoclonal

纯化ProA affinity purified

应用WB, ICC/IF, IHC, FC

种属反应性Human;Mouse;Rat

免疫原描述recombinant protein

标记Unconjugated

别名deglutamylated form antibody
DKFZp686I10125 antibody
EC 2.7.11.18 antibody
FLJ12216 antibody
Kinase related protein antibody
Kinase-related protein antibody
KRP antibody
MLCK antibody
MLCK1 antibody
MLCK108 antibody
MLCK210 antibody
MSTP083 antibody
MYLK antibody
MYLK_HUMAN antibody
MYLK1 antibody
Myosin light chain kinase antibody
Myosin light polypeptide kinase antibody
OTTHUMP00000180642 antibody
OTTHUMP00000180643 antibody
smMLCK antibody
smooth muscle antibody
Smooth muscle myosin light chain kinase antibody
Telokin antibody

数据库入口号Swiss-Prot#:Q15746

Uniprot Q15746

计算分子量210 kDa

配方1*TBS (pH7.4), 1%BSA, 40%Glycerol. Preservative: 0.05% Sodium Azide.

保存Store at -20˚C

应用详情

WB: 1:2,000-1:10,000
IHC: 1:100-1:500
ICC: 1:100-1:500

FC: 1:50-1:100

Western blot analysis of MYLK on human lung lysates using anti-MYLK antibody at 1/5,000 dilution.
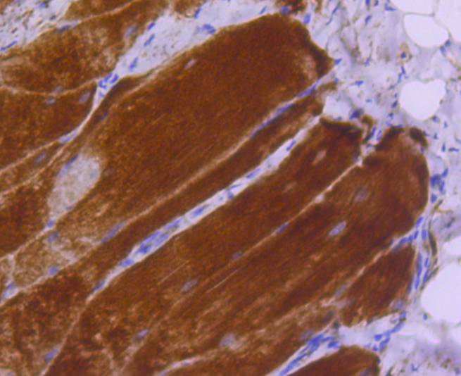
Immunohistochemical analysis of paraffin-embedded rat smooth muscle tissue using anti-MYLK antibody. Counter stained with hematoxylin.
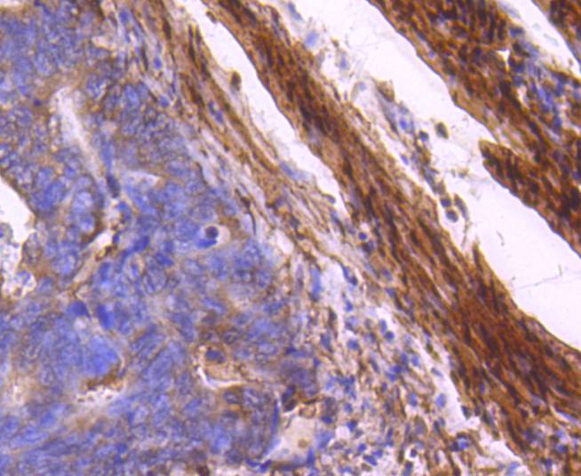
Immunohistochemical analysis of paraffin-embedded human colon cancer tissue using anti-MYLK antibody. Counter stained with hematoxylin.
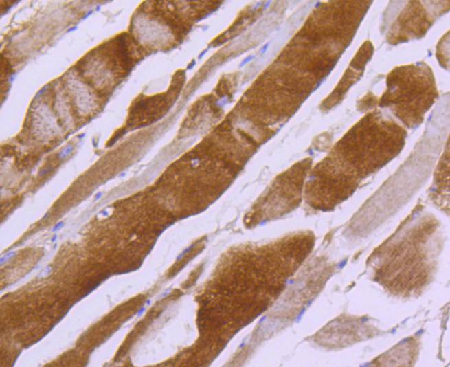
Immunohistochemical analysis of paraffin-embedded mouse smooth muscle tissue using anti-MYLK antibody. Counter stained with hematoxylin.
ICC staining MYLK in Hela cells (green). The nuclear counter stain is DAPI (blue). Cells were fixed in paraformaldehyde, permeabilised with 0.25% Triton X100/PBS.
ICC staining MYLK in L6 cells (green). The nuclear counter stain is DAPI (blue). Cells were fixed in paraformaldehyde, permeabilised with 0.25% Triton X100/PBS.
ICC staining MYLK in NIH/3T3 cells (green). The nuclear counter stain is DAPI (blue). Cells were fixed in paraformaldehyde, permeabilised with 0.25% Triton X100/PBS.
ICC staining MYLK in SH-SY-5Y cells (green). The nuclear counter stain is DAPI (blue). Cells were fixed in paraformaldehyde, permeabilised with 0.25% Triton X100/PBS.
Flow cytometric analysis of SH-SY-5Y cells with MYLK antibody at 1/50 dilution (red) compared with an unlabelled control (cells without incubation with primary antibody; black). Alexa Fluor 488-conjugated goat anti rabbit IgG was used as the secondary antibody.

MLCK, a member of the Ser/Thr protein kinase family, is a calcium/calmodulin-dependent enzyme responsible for smooth muscle contraction via phosphorylation of a specific serine in the N-terminus of myosin light chains (MLC), an event that facilitates myosin interaction with actin filaments. It is a central determinant in the development of vascular permeability and tissue edema formation. In the nervous system it has been shown to control the growth initiation of astrocytic processes in culture and to participate in transmitter release at synapses formed between cultured sympathetic ganglion cells. MLCK acts as a critical participant in signaling sequences that result in fibroblast apoptosis. Smooth muscle and non-muscle isozymes are expressed in a wide variety of adult and fetal tissues and in cultured endothelium with qualitative expression appearing to be neither tissue- nor development-specific. Non-muscle isoform 2 is the dominant splice variant expressed in various tissues. The Telokin isoform, which binds calmodulin, has been found in a wide variety of adult and fetal tissues. MLCK is probably down-regulated by phosphorylation. The protein contains 1 fibronectin type III domain and 9 immunoglobulin-like C2-type domains.

如果您使用该产品48846发表了文章,请通知我们,让我们可以引用您的文献。

et al,Gastrodin attenuates angiotensin II-induced vascular contraction and MLCK/p-MLC2 pathway activationIn Pharm BiolOn2023 DecbyZhi Guo , Xuan Yang et al..PMID:37211627 , (2023),
PMID: 37211627
et al,Trifolin inhibits the calcium-driven contraction pathway in vascular smooth muscle , (2025),
PMID: 40520190

注释

应用

  • WB免疫印迹
  • IHC免疫组化
  • IF免疫荧光
  • ICC免疫细胞化学
  • FC流式细胞
  • IP免疫沉淀
  • E酶联免疫吸附法
  • DB免疫斑点法
  • ChIP染色质免疫沉淀
  • GICA胶体金免疫层析法
  • NC阴性对照

种属反应性

  • Hu
  • Ms小鼠
  • Rt大鼠
  • Dm果蝇
  • C线虫
  • Mk
  • Rb
  • B
  • D
  • P
  • Hm仓鼠
  • ChHm中国仓鼠
  • Chk
;

联系我们

Location :

南京市高新开发区星火路10号人才大厦C座

Phone :

400-9961-933
025-58868422

Email Address

info@sabbiotech.com