免费电话:400-9961-933
邮箱:info@sabbiotech.com
欢迎光临本站
川博智能体 English
位置: 首页 > 重组兔单抗 > Ubiquitin Rabbit mAb

Ubiquitin Rabbit mAb#48860

是否有货: Yes
产品详情

产品名称Ubiquitin Rabbit mAb

克隆号SR04-20

来源种属Recombinant Rabbit

克隆性 Monoclonal antibody

纯化ProA affinity purified

应用WB, ICC/IF, IHC, FC

种属反应性Human;Mouse;Rat

免疫原描述recombinant protein

标记Unconjugated

别名FLJ25987 antibody
MGC8385 antibody
Polyubiquitin B antibody
RPS 27A antibody
RPS27A antibody
UBA 52 antibody
UBA 80 antibody
UBA52 antibody
UBA80 antibody
UBB antibody
UBB_HUMAN antibody
UBC antibody
UBCEP 1 antibody
UBCEP 2 antibody
UBCEP1 antibody
UBCEP2 antibody
Ubiquitin antibody
Ubiquitin B antibody

数据库入口号Swiss-Prot#:P0CG47

Uniprot P0CG47

计算分子量55 kDa

配方1*TBS (pH7.4), 1%BSA, 40%Glycerol. Preservative: 0.05% Sodium Azide.

保存Store at -20˚C

应用详情
WB: 1:1,000-1:2,000
IHC: 1:200-1:500
ICC: 1:50-1:200

FC: 1:50-1:100
Western blot analysis of Ubiquitin on mouse heart lysates using anti-Ubiquitin antibody at 1/1,000 dilution.
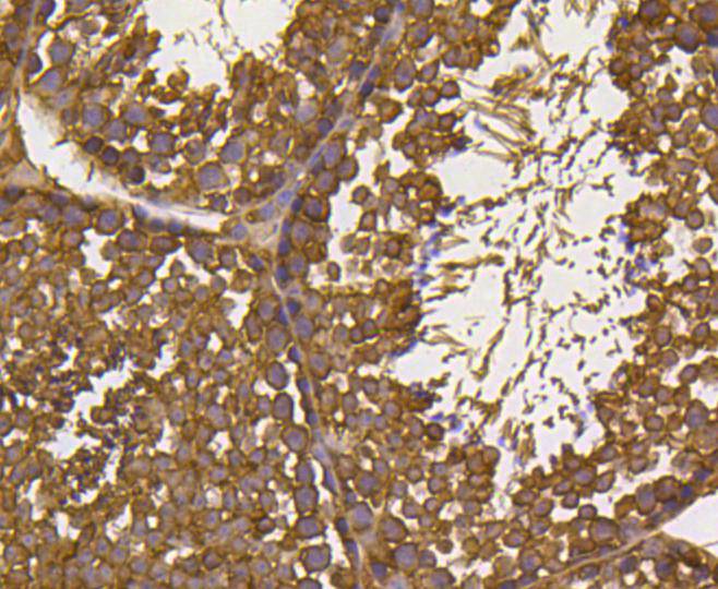
Immunohistochemical analysis of paraffin-embedded mouse testis tissue using anti-Ubiquitin antibody. Counter stained with hematoxylin.
Immunohistochemical analysis of paraffin-embedded mouse brain tissue using anti-Ubiquitin antibody. Counter stained with hematoxylin.
Immunohistochemical analysis of paraffin-embedded mouse placenta tissue using anti-Ubiquitin antibody. Counter stained with hematoxylin.
ICC staining Ubiquitin in MCF-7 cells (green). The nuclear counter stain is DAPI (blue). Cells were fixed in paraformaldehyde, permeabilised with 0.25% Triton X100/PBS.
ICC staining Ubiquitin in SH-SY-5Y cells (green). The nuclear counter stain is DAPI (blue). Cells were fixed in paraformaldehyde, permeabilised with 0.25% Triton X100/PBS.
Flow cytometric analysis of HepG2 cells with Ubiquitin antibody at 1/50 dilution (blue) compared with an unlabelled control (cells without incubation with primary antibody; red). Alexa Fluor 488-conjugated goat anti rabbit IgG was used as the secondary antibody.
Ubiquitin is a conserved polypeptide unit that plays an important role in the ubiquitin-proteasome pathway. Ubiquitin exists either covalently attached to another protein, or free (unanchored). When covalently bound, it is conjugated to target proteins via an isopeptide bond either as a monomer (monoubiquitin), a polymer linked via different Lys residues of the ubiquitin (polyubiquitin chains) or a linear polymer linked via the initiator Met of the ubiquitin (linear polyubiquitin chains). Polyubiquitin chains, when attached to a target protein, have different functions depending on the Lys residue of the ubiquitin that is linked: Lys-6-linked may be involved in DNA repair; Lys-11-linked is involved in ERAD (endoplasmic reticulum-associated degradation) and in cell-cycle regulation; Lys-29-linked is involved in lysosomal degradation; Lys-33-linked is involved in kinase modification; Lys-48-linked is involved in protein degradation via the proteasome; Lys-63-linked is involved in endocytosis, DNA-damage responses as well as in signaling processes leading to activation of the transcription factor NF-kappa-B. This antibody reacts with ubiquitin, a polypeptide w/ Mr. of approx. 8.5kD. It reacts with physiologically occurring conjugates of ubiquitin and intracellular proteins. Specifically recognizes ubiquitinated cytoplasmic inclusion bodies.

如果您使用该产品48860发表了文章,请通知我们,让我们可以引用您的文献。

et al,Mycn ameliorates cardiac hypertrophy-induced heart failure in mice by mediating the USP2/JUP/Akt/β-catenin cascade. In BMC Cardiovasc Disord on 2024 Jan 31 by Weinian Gao, Na Guo,et al..PMID:38297207 , (2024),
PMID: 38297207

注释

应用

  • WB免疫印迹
  • IHC免疫组化
  • IF免疫荧光
  • ICC免疫细胞化学
  • FC流式细胞
  • IP免疫沉淀
  • E酶联免疫吸附法
  • DB免疫斑点法
  • ChIP染色质免疫沉淀
  • GICA胶体金免疫层析法
  • NC阴性对照

种属反应性

  • Hu
  • Ms小鼠
  • Rt大鼠
  • Dm果蝇
  • C线虫
  • Mk
  • Rb
  • B
  • D
  • P
  • Hm仓鼠
  • ChHm中国仓鼠
  • Chk
;

联系我们

Location :

南京市高新开发区星火路10号人才大厦C座

Phone :

400-9961-933
025-58868422

Email Address

info@sabbiotech.com