免费电话:400-9961-933
邮箱:info@sabbiotech.com
欢迎光临本站
川博智能体 English
位置: 首页 > 重组兔单抗 > PI 3 Kinase p85 beta Rabbit mAb

PI 3 Kinase p85 beta Rabbit mAb #48868

是否有货: Yes
产品详情

产品名称PI 3 Kinase p85 beta Rabbit mAb

克隆号ST04-77

来源种属Recombinant Rabbit

克隆性 Monoclonal antibody

纯化ProA affinity purified

应用WB, ICC/IF, IHC, IP, FC

种属反应性Human;Rat

免疫原描述recombinant protein

标记Unconjugated

别名p85 antibody
p85 beta antibody
P85B antibody
P85B_HUMAN antibody
Phosphatidylinositol 3 kinase antibody
Phosphatidylinositol 3 kinase regulatory beta subunit antibody
Phosphatidylinositol 3 kinase regulatory subunit beta antibody
Phosphatidylinositol 3 kinase regulatory subunit polypeptide 2 antibody
Phosphatidylinositol 3 kinase, regulatory subunit, polypeptide 2 (p85 beta) antibody
Phosphatidylinositol 3-kinase 85 kDa regulatory subunit beta antibody
Phosphatidylinositol 3-kinase regulatory subunit beta antibody
Phosphoinositide 3 kinase regulatory subunit 2 (beta) antibody
Phosphoinositide 3 kinase regulatory subunit 2 antibody
Phosphoinositide 3 kinase regulatory subunit polypeptide 2 (p85 beta) antibody
Phosphoinositide 3 kinase regulatory subunit polypeptide 2 antibody
Phosphoinositide 3 kinase, regulatory subunit 2 (beta) antibody
Phosphoinositide 3 kinase, regulatory subunit 2 (p85 beta) antibody
PI3 kinase p85 beta subunit antibody
PI3 kinase p85 subunit beta antibody
PI3-kinase regulatory subunit beta antibody
PI3-kinase subunit p85-beta antibody
PI3K antibody
PI3K regulatory subunit beta antibody
PIK3R 2 antibody
PIK3R2 antibody
PtdIns 3 kinase p85 beta antibody
PtdIns-3-kinase regulatory subunit beta antibody
PtdIns-3-kinase regulatory subunit p85-beta antibody

数据库入口号Swiss-Prot#:O00459

Uniprot O00459

计算分子量82 kDa

配方1*TBS (pH7.4), 1%BSA, 40%Glycerol. Preservative: 0.05% Sodium Azide.

保存Store at -20˚C

应用详情
WB: 1:1,000-1:2,000
IHC: 1:50-1:200
ICC: 1:50-1:200

FC: 1:50-1:100
Western blot analysis of PI 3 Kinase p85 beta on different lysates using anti-PI 3 Kinase p85 beta antibody at 1/1,000 dilution. Positive control:
Lane 1: Raji
Lane 2: Hela
Lane 3: MCF-7
Lane 4: U937
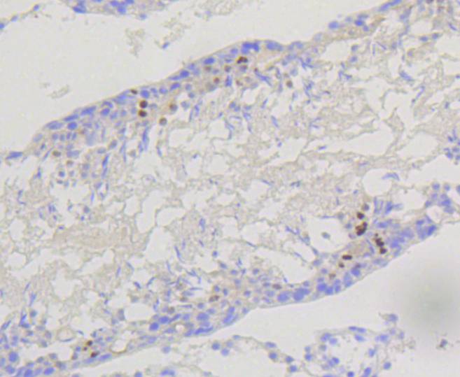
Immunohistochemical analysis of paraffin-embedded rat testis tissue using anti-PI 3 Kinase p85 beta antibody. Counter stained with hematoxylin.
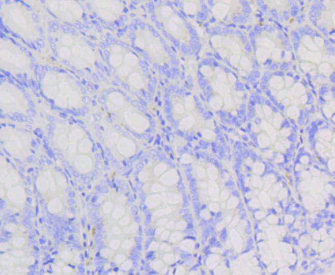
Immunohistochemical analysis of paraffin-embedded rat colon tissue using anti-PI 3 Kinase p85 beta antibody. Counter stained with hematoxylin.
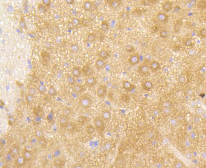
Immunohistochemical analysis of paraffin-embedded rat brain tissue using anti-PI 3 Kinase p85 beta antibody. Counter stained with hematoxylin.
ICC staining PI 3 Kinase p85 beta in Hela cells (green). The nuclear counter stain is DAPI (blue). Cells were fixed in paraformaldehyde, permeabilised with 0.25% Triton X100/PBS.
ICC staining PI 3 Kinase p85 beta in SHG-44 cells (green). The nuclear counter stain is DAPI (blue). Cells were fixed in paraformaldehyde, permeabilised with 0.25% Triton X100/PBS.
Flow cytometric analysis of Hela cells with PI 3 Kinase p85 beta antibody at 1/50 dilution (blue) compared with an unlabelled control (cells without incubation with primary antibody; red). Alexa Fluor 488-conjugated goat anti rabbit IgG was used as the secondary antibody.
Phosphatidylinositol 3-kinase (PI 3-kinase) is composed of p85 and p110 subunits. p85 lacks PI 3-kinase activity and acts as an adapter, coupling p110 to activated protein tyrosine kinase. Two forms of p85 have been described (p85α and p85β), each possessing one SH3 and two SH2 domains. Various p110 isoforms have been identified. p110α and p110β interact with p85α, and p110α has also been shown to interact with p85β in vitro. p110α expression is restricted to white blood cells. It has been shown to bind p85α and p85β, but it apparently does not phosphorylate these subunits. p110α seems to have the capacity to autophosphorylate. p110α does not interact with the p85 subunits. It has been shown to be activated by α and β heterotrimeric G proteins.

如果您使用该产品48868发表了文章,请通知我们,让我们可以引用您的文献。

et al,Effect of electrical stimulation combIned with diet therapy on InsulIn resistance via mTOR signalIng. In Mol Med Rep on 2019 Dec by Huang S, Tang N, et al..PMID:31702811 , (2019),
PMID: 31702811

注释

应用

  • WB免疫印迹
  • IHC免疫组化
  • IF免疫荧光
  • ICC免疫细胞化学
  • FC流式细胞
  • IP免疫沉淀
  • E酶联免疫吸附法
  • DB免疫斑点法
  • ChIP染色质免疫沉淀
  • GICA胶体金免疫层析法
  • NC阴性对照

种属反应性

  • Hu
  • Ms小鼠
  • Rt大鼠
  • Dm果蝇
  • C线虫
  • Mk
  • Rb
  • B
  • D
  • P
  • Hm仓鼠
  • ChHm中国仓鼠
  • Chk
;

联系我们

Location :

南京市高新开发区星火路10号人才大厦C座

Phone :

400-9961-933
025-58868422

Email Address

info@sabbiotech.com