免费电话:400-9961-933
邮箱:info@sabbiotech.com
欢迎光临本站
川博智能体 English
位置: 首页 > 重组兔单抗 > Ki67 Rabbit mAb

Ki67 Rabbit mAb #48871

是否有货: Yes
产品详情

产品名称Ki67 Rabbit mAb

克隆号ST50-01

来源种属Recombinant Rabbit

克隆性Monoclonal antibody

纯化ProA affinity purified

应用WB, IHC, FC, IF

种属反应性Human

免疫原描述recombinant protein

标记Unconjugated

别名Antigen identified by monoclonal antibody
Ki 67 antibody
Antigen identified by monoclonal antibody
Ki-67 antibody
Antigen KI-67 antibody
Antigen KI67 antibody
Antigen Ki67 antibody
KI67_HUMAN antibody
KIA antibody
Marker of proliferation Ki-67 antibody
MIB 1 antibody
MIB antibody
MKI67 antibody
PPP1R105 antibody
Proliferation marker protein Ki-67 antibody
Proliferation related Ki 67 antigen antibody
Protein phosphatase 1 regulatory subunit 105 antibody
RP11-380J17.2 antibody

数据库入口号Swiss-Prot#:P46013

Uniprot P46013

计算分子量359 kDa

配方1*TBS (pH7.4), 1%BSA, 40%Glycerol. Preservative: 0.05% Sodium Azide.

保存Store at -20˚C

应用详情
WB 1:1000-1:2000
IHC 1:100-1:200
IF 1:50-1:200
FC 1:20-1:100
Western blot analysis of Ki67 on HepG2 cell lysates using anti-Ki67 antibody at 1/1,000 dilution.
Immunofluorescent analysis of Hela cells, using Ki67 Antibody.
Immunohistochemical analysis of paraffin-embedded human tonsil, using Ki67 Antibody.
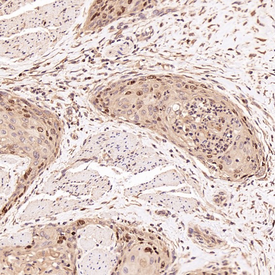
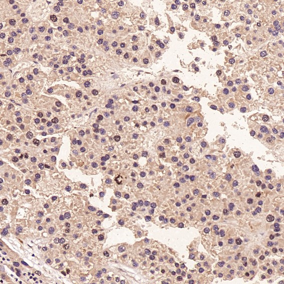
Immunohistochemical analysis of paraffin-embedded Human esophageal carcinoma, using the Antibody at 1:3000 dilution.
Immunohistochemical analysis of paraffin-embedded Human liver cancer, using the Antibody at 1:3000 dilution.
Immunohistochemical analysis of paraffin-embedded Human pituitary tumor, using the Antibody at 1:3000 dilution.

Ki-67 is a nuclear protein that is expressed in proliferating cells and may be required for maintaining cell proliferation. Ki-67 has been used as a marker for cell proliferation of solid tumors and some hematological malignancies. A correlation has been demonstrated between Ki-67 index and the histopathological grade of neoplasms. Assessment of Ki-67 expression in renal and ureter tumors shows a correlation between tumor proliferation and disease progression, thus making it possible to differentiate high-risk patients. Ki-67 expression may also prove to be important for distinguishing between malignant and benign peripheral nerve sheath tumors.

如果您使用该产品48871发表了文章,请通知我们,让我们可以引用您的文献。

et al,Dehydroabietylamine exerts antitumor effects by affectingnucleotide metabolism in gastric cancer. In Carcinogenesis on 2024 Oct 10 by Jingsong Ma, Jiabao Zhao, et al..PMID:38869064 , (2024),
PMID: 38869064

注释

应用

  • WB免疫印迹
  • IHC免疫组化
  • IF免疫荧光
  • ICC免疫细胞化学
  • FC流式细胞
  • IP免疫沉淀
  • E酶联免疫吸附法
  • DB免疫斑点法
  • ChIP染色质免疫沉淀
  • GICA胶体金免疫层析法
  • NC阴性对照

种属反应性

  • Hu
  • Ms小鼠
  • Rt大鼠
  • Dm果蝇
  • C线虫
  • Mk
  • Rb
  • B
  • D
  • P
  • Hm仓鼠
  • ChHm中国仓鼠
  • Chk
;

联系我们

Location :

南京市高新开发区星火路10号人才大厦C座

Phone :

400-9961-933
025-58868422

Email Address

info@sabbiotech.com