免费电话:400-9961-933
邮箱:info@sabbiotech.com
欢迎光临本站
川博智能体 English
位置: 首页 > 重组兔单抗 > beta Ⅱ Tubulin Rabbit mAb

beta Ⅱ Tubulin Rabbit mAb #48885

是否有货: Yes
产品详情

产品名称beta Ⅱ Tubulin Rabbit mAb

克隆号ST52-04

来源种属Recombinant Rabbit

克隆性 Monoclonal antibody

纯化ProA affinity purified

应用WB; ICC/IF; IHC; IP

种属反应性Human;Mouse;Rat

免疫原描述recombinant protein

标记Unconjugated

别名bA506K6.1 antibody
Beta2 antibody
class II beta tubulin isotype antibody
class IIa beta-tubulin antibody
class IIb beta-tubulin antibody
Class IVb beta tubulin antibody
dJ40E16.7 antibody
DKFZp566F223 antibody
FLJ98847 antibody
M(beta)2 antibody
MGC8685 antibody
OTTHUMP00000015956 antibody
OTTHUMP00000015964 antibody
TBB4B_HUMAN antibody
TUBB 2 antibody
TUBB 2A antibody
TUBB 2C antibody
TUBB antibody
TUBB PARALOG antibody
TUBB2 antibody
TUBB2A antibody
TUBB2B antibody
TUBB2C antibody
Tubb4b antibody
Tubulin beta 2 antibody
Tubulin beta 2 chain antibody
Tubulin beta 2A antibody
Tubulin beta 2A chain antibody
Tubulin beta 2B antibody
Tubulin beta 2B chain antibody
Tubulin beta 2C antibody
Tubulin beta polypeptide antibody
Tubulin beta polypeptide 2 antibody
Tubulin beta polypeptide paralog antibody
Tubulin beta-2 chain antibody
Tubulin beta-2C chain antibody
Tubulin beta-4B chain antibody
tubulin, beta 2A class IIa antibody
tubulin, beta 2B class IIb antibody
tubulin, beta 4B class IVb antibody
Tubulin, beta, class IVB antibody
Tubulin, beta-4B antibody

数据库入口号Swiss-Prot#:P68371

Uniprot P68371

计算分子量50 kDa

配方1*TBS (pH7.4), 1%BSA, 40%Glycerol. Preservative: 0.05% Sodium Azide.

保存Store at -20˚C

应用详情
WB: 1:1000-5000
IHC: 1:50-1:200
ICC/IF: 1:50-1:200
IP: 1:25-1:100
Western blot analysis of beta II Tubulin on different lysates using anti-beta II Tubulin antibody at 1/1,000 dilution. Positive control:
Lane 1: Mouse brain
Lane 2: Mouse kidney
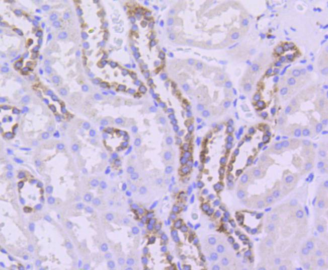
Immunohistochemical analysis of paraffin-embedded human kidney tissue using anti-beta II Tubulin antibody. Counter stained with hematoxylin.
Immunohistochemical analysis of paraffin-embedded mouse brain tissue using anti-beta II Tubulin antibody. Counter stained with hematoxylin.
ICC staining beta II Tubulin in N2A cells (green). The nuclear counter stain is DAPI (blue). Cells were fixed in paraformaldehyde, permeabilised with 0.25% Triton X100/PBS.
Tubulin is a major cytoskeleton component that has five distinct forms, designated a, b, g, d and e tubulin. a and b tubulins form heterodimers which multimerize to form a microtubule filament. Multiple b Tubulin isoforms (b1, b2, b3, b4, b5, b6 and b8) have been characterized and are expressed in mammalian tissues. b1 and b4 are present throughout the cytosol, b2 is present in the nuclei and nucleoplasm, and b3 is a neuron-specific cytoskeletal protein. g Tubulin forms the gammasome, which is required for nucleating microtubule filaments at the centrosome. Both d Tubulin and e Tubulin are associated with the centrosome. d Tubulin is a homolog of the Chlamydomonas d Tubulin Uni3 and is found in association with the centrioles, whereas e Tubulin localizes to the pericentriolar material. e Tubulin exhibits a cell cycle-specific pattern of localization; first associating with only the older of the centrosomes in a newly duplicated pair, and later associating with both centrosomes.

如果您使用该产品48885发表了文章,请通知我们,让我们可以引用您的文献。

et al,Potential role of the cAMP/PKA/CREB signallIng pathway In hypoxic preconditionIng and effect on propofol?Induced neurotoxicity In the hippocampus of neonatal rats.In Mol Med Rep on 2019 Aug by Guan R, Lv J, et al..PMID:31257533 , (2019),
PMID: 31257533
et al,PD-L1 Expression Is Regulated By NF-κB DurIng EMT SignalIng In Gastric CarcInoma. In Onco Targets Ther on 2019 Nov 25 by Xu D, Li J, et al..PMID:31819504 , (2019),
PMID: 31819504
et al, Phenolic Glycosides from the Roots of Ficus hirta Vahl. and Their Antineuroinflammatory Activities. In J Agric Food Chem on 2020 Apr 8 by Xiansheng Ye, Wenjing Tian, et al..PMID:32167773 , (2020),
PMID: 32167773
et al,DPY30 Promotes Proliferation and Cell Cycle Progression of Colorectal Cancer Cells via Mediating H3K4 TrimethylationInInt J Med SciOn2023 May 11byWei-Chao Su, Xiao-Mei Mao et al..PMID:37324189 , (2023),
PMID: 37324189

注释

应用

  • WB免疫印迹
  • IHC免疫组化
  • IF免疫荧光
  • ICC免疫细胞化学
  • FC流式细胞
  • IP免疫沉淀
  • E酶联免疫吸附法
  • DB免疫斑点法
  • ChIP染色质免疫沉淀
  • GICA胶体金免疫层析法
  • NC阴性对照

种属反应性

  • Hu
  • Ms小鼠
  • Rt大鼠
  • Dm果蝇
  • C线虫
  • Mk
  • Rb
  • B
  • D
  • P
  • Hm仓鼠
  • ChHm中国仓鼠
  • Chk
;

联系我们

Location :

南京市高新开发区星火路10号人才大厦C座

Phone :

400-9961-933
025-58868422

Email Address

info@sabbiotech.com