免费电话:400-9961-933
邮箱:info@sabbiotech.com
欢迎光临本站
川博智能体 English
位置: 首页 > 重组兔单抗 > ROCK1 Rabbit mAb

ROCK1 Rabbit mAb #48890

是否有货: Yes
产品详情

产品名称ROCK1 Rabbit mAb

克隆号ST05-19

来源种属Recombinant Rabbit

克隆性 Monoclonal antibody

纯化ProA affinity purified

应用WB, ICC/IF, IHC, IP, FC

种属反应性Human;Mouse;Rat

免疫原描述recombinant protein

标记Unconjugated

别名coiled-coil-containing protein kinase 1 antibody
coiled-coil-containing protein kinase I antibody
MGC131603 antibody
MGC43611 antibody
p160 Rhoassociated coiled coil-forming protein kinase antibody
p160 ROCK-1 antibody
p160 ROCK1 antibody
p160ROCK antibody
PRO0435 antibody
Renal carcinoma antigen NY REN 35 antibody
Renal carcinoma antigen NY-REN-35 antibody
Rho associated coiled coil containing protein kinase 1 antibody
Rho associated protein kinase 1 antibody
Rho kinase antibody
Rho-alpha kinase antibody
Rho-associated antibody
Rho-associated protein kinase 1 antibody
ROCK I antibody
ROCK-I antibody
ROCK1 antibody
ROCK1_HUMAN antibody
Rok antibody
rokalpha antibody

数据库入口号Swiss-Prot#:Q13464

Uniprot Q13464

计算分子量158 kDa

配方1*TBS (pH7.4), 1%BSA, 40%Glycerol. Preservative: 0.05% Sodium Azide.

保存Store at -20˚C

应用详情
WB: 1:1,000-5,000
IHC: 1:50-1:200
ICC: 1:50-1:200

FC: 1:50-1:100
Western blot analysis of ROCK1 on different lysates using anti-ROCK1 antibody at 1/1,000 dilution. Positive control:
Lane 1: A431
Lane 2: NIH/3T3
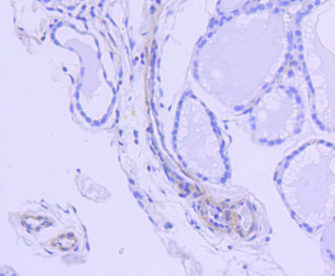
Immunohistochemical analysis of paraffin-embedded mouse thyroid tissue using anti-ROCK1 antibody. Counter stained with hematoxylin.
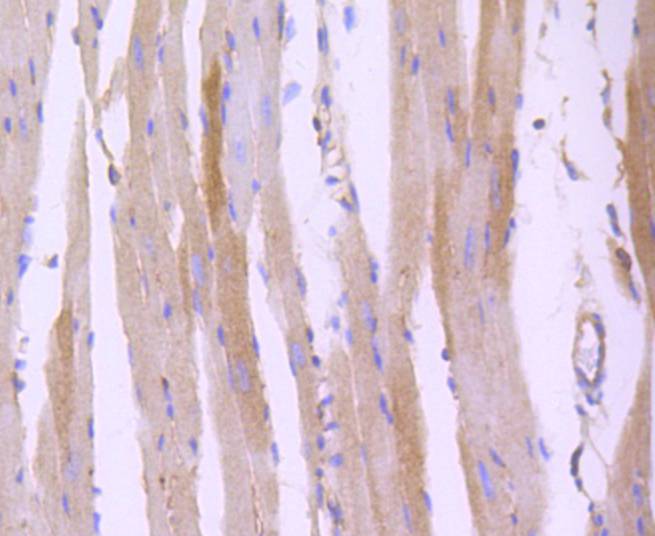
Immunohistochemical analysis of paraffin-embedded mouse heart tissue using anti-ROCK1 antibody. Counter stained with hematoxylin.
Immunohistochemical analysis of paraffin-embedded human thyroid tissue using anti-ROCK1 antibody. Counter stained with hematoxylin.
Rho, the Ras-related small GTPase, is responsible for the regulation of Actin-based cytoskeletal structures including stress fibers, focal adhesions and the contractile ring apparatus. Rho proteins function as molecular switches that are able to turn cytokinesis on and off. Although little is known about signaling downstream of Rho, a host of putative Rho effector proteins have been described, including rhophilin, Rhotekin, citron and the serine/threonine kinase, protein kinase N. Two additional Rho-activated serine/threonine kinases have been described, designated Rock-1 and Rock-2 (also referred to as Roka, for Rho-associated coil-containing protein kinase). Rock-1 and Rock-2 share a structural similarity with myotonic dystrophy kinase.

如果您使用该产品48890发表了文章,请通知我们,让我们可以引用您的文献。

et al,Neferine, a novel ROCK1-targeting inhibitor, blocks EMT process and induces apoptosis in non-small cell lung cancer. In J Cancer Res Clin Oncol on 2022 Aug 19 by Po Hu, Peng Wan, et al..PMID:35984492 , (2022),
PMID: 35984492

注释

应用

  • WB免疫印迹
  • IHC免疫组化
  • IF免疫荧光
  • ICC免疫细胞化学
  • FC流式细胞
  • IP免疫沉淀
  • E酶联免疫吸附法
  • DB免疫斑点法
  • ChIP染色质免疫沉淀
  • GICA胶体金免疫层析法
  • NC阴性对照

种属反应性

  • Hu
  • Ms小鼠
  • Rt大鼠
  • Dm果蝇
  • C线虫
  • Mk
  • Rb
  • B
  • D
  • P
  • Hm仓鼠
  • ChHm中国仓鼠
  • Chk
;

联系我们

Location :

南京市高新开发区星火路10号人才大厦C座

Phone :

400-9961-933
025-58868422

Email Address

info@sabbiotech.com