免费电话:400-9961-933
邮箱:info@sabbiotech.com
欢迎光临本站
川博智能体 English
位置: 首页 > 重组兔单抗 > Cardiac Troponin T Rabbit mAb

Cardiac Troponin T Rabbit mAb#48966

是否有货: Yes
产品详情

产品名称Cardiac Troponin T Rabbit mAb

克隆号SC64-03

来源种属Recombinant Rabbit

克隆性 Monoclonal antibody

纯化ProA affinity purified

应用WB, IHC

种属反应性Human;Mouse;Rat

免疫原描述recombinant protein

标记Unconjugated

别名Cardiac muscle troponin T antibody
Cardiomyopathy dilated 1D (autosomal dominant) antibody
Cardiomyopathy hypertrophic 2 antibody
CMD1D antibody
CMH2 antibody
CMPD2 antibody
cTnT antibody
LVNC6 antibody
MGC3889 antibody
OTTHUMP00000033864 antibody
OTTHUMP00000033865 antibody
OTTHUMP00000033866 antibody
OTTHUMP00000033867 antibody
OTTHUMP00000033870 antibody
OTTHUMP00000218095 antibody
RCM3 antibody
TNNT 2 antibody
TNNT2 antibody
TNNT2_HUMAN antibody
TnTc antibody
Troponin T cardiac muscle antibody
Troponin T type 2 (cardiac) antibody
Troponin T type 2 cardiac antibody
Troponin T, cardiac muscle antibody
Troponin T2 cardiac antibody

数据库入口号Swiss-Prot#:P45379

Uniprot P45379

计算分子量36 kDa

配方1*TBS (pH7.4), 1%BSA, 40%Glycerol. Preservative: 0.05% Sodium Azide.

保存Store at -20˚C

应用详情
WB: 1:1,000-1:2,000
IHC: 1:100-1:500


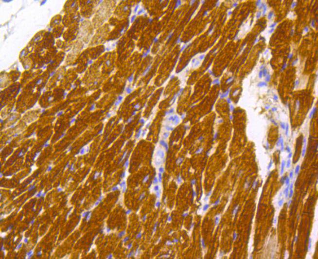
Immunohistochemical analysis of paraffin-embedded mouse heart tissue using anti-Cardiac Troponin T antibody. Counter stained with hematoxylin.
Actin is a highly conserved protein that is expressed in all eukaryotic cells. Actin filaments can form both stable and labile structures and are crucial components of microvilli and the contractile apparatus of muscle cells. Myosin is a hexamer of two heavy chains (MHC) and four light chains (MLC) that interacts with Actin to generate the force for diverse cellular movements, including cytokinesis, phagocytosis and muscle contraction. Troponin facilitates the interaction between Actin and Myosin by binding to calcium. Troponin is made up of at least two subunits, which are divergent in cardiac muscle, fast skeletal muscle and slow skeletal muscle. Structures of skeletal muscle troponin are composed of Troponin C (the sensor), Troponin I (the regulator) and Troponin T (the link to the muscle thin filament). Troponin C is dumbbell-shaped and has a hydrophobic pocket that increases the contractile force of muscle fibers. Troponin C has two isoforms: fast and slow. Fast Troponin C has two calcium binding sites, while slow/cardiac Troponin C has a single calcium binding site.

如果您使用该产品48966发表了文章,请通知我们,让我们可以引用您的文献。

注释

应用

  • WB免疫印迹
  • IHC免疫组化
  • IF免疫荧光
  • ICC免疫细胞化学
  • FC流式细胞
  • IP免疫沉淀
  • E酶联免疫吸附法
  • DB免疫斑点法
  • ChIP染色质免疫沉淀
  • GICA胶体金免疫层析法
  • NC阴性对照

种属反应性

  • Hu
  • Ms小鼠
  • Rt大鼠
  • Dm果蝇
  • C线虫
  • Mk
  • Rb
  • B
  • D
  • P
  • Hm仓鼠
  • ChHm中国仓鼠
  • Chk
;

联系我们

Location :

南京市高新开发区星火路10号人才大厦C座

Phone :

400-9961-933
025-58868422

Email Address

info@sabbiotech.com