免费电话:400-9961-933
邮箱:info@sabbiotech.com
欢迎光临本站
川博智能体 English
位置: 首页 > 重组兔单抗 > DKK1 Rabbit mAb

DKK1 Rabbit mAb #48979

是否有货: Yes
产品详情

产品名称DKK1 Rabbit mAb

克隆号SC06-86

来源种属Recombinant Rabbit

克隆性 Monoclonal antibody

纯化ProA affinity purified

应用WB, ICC/IF, IHC, FC

种属反应性Human;Rat

免疫原描述recombinant protein

标记Unconjugated

别名Dickkopf 1 antibody
Dickkopf 1 homolog antibody
Dickkopf 1 like antibody
Dickkopf homolog 1 antibody
Dickkopf like protein 1 antibody
Dickkopf related protein 1 antibody
Dickkopf WNT signaling pathway inhibitor 1 antibody
Dickkopf-1 antibody
Dickkopf-related protein 1 antibody
DKK 1 antibody
Dkk-1 antibody
Dkk1 antibody
DKK1_HUMAN antibody
hDkk 1 antibody
hDkk-1 antibody
SK antibody

数据库入口号Swiss-Prot#:O94907

Uniprot O94907

计算分子量38 kDa

配方1*TBS (pH7.4), 1%BSA, 40%Glycerol. Preservative: 0.05% Sodium Azide.

保存Store at -20˚C

应用详情
WB: 1:1,000
IHC: 1:50-1:200
ICC: 1:50-1:500

FC: 1:50-1:100
Western blot analysis of DKK1 on MCF-7 cells lysates using anti-DKK1 antibody at 1/1,000 dilution.
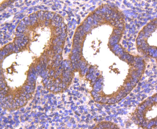
Immunohistochemical analysis of paraffin-embedded human uterus tissue using anti-DKK1 antibody. Counter stained with hematoxylin.
ICC staining DKK1 in Hela cells (green). The nuclear counter stain is DAPI (blue). Cells were fixed in paraformaldehyde, permeabilised with 0.25% Triton X100/PBS.
ICC staining DKK1 in HepG2 cells (green). The nuclear counter stain is DAPI (blue). Cells were fixed in paraformaldehyde, permeabilised with 0.25% Triton X100/PBS.
ICC staining DKK1 in NCCIT cells (green). The nuclear counter stain is DAPI (blue). Cells were fixed in paraformaldehyde, permeabilised with 0.25% Triton X100/PBS.


Flow cytometric analysis of Hela cells with DKK1 antibody at 1/50 dilution (red) compared with an unlabelled control (cells without incubation with primary antibody; black). Alexa Fluor 488-conjugated goat anti rabbit IgG was used as the secondary antibody.
The Wnt genes are a group of well conserved, cysteine-rich secreted glycoproteins that are required for numerous developmental processes including embryogenesis, asymmetric cell division and central nervous system (CNS) patterning. Wnt association with the seven membrane spanning receptor frizzled activates dishevelled, which downregulates glycogen synthase kinase (GSK) through serine phosphorylation, causing the accumulation of b-catenin and subsequent regulation of developmentally significant Wnt |target genes. The Dickkopf family of secreted inhibitors of Wnt signaling ensures proper morphological development by antagonizing different stages of the Wnt cascade. Dkk-1 (Dickkopf-1) acts upstream of b-catenin and dishevelled to inhibit Wnt signaling. Dkk-1 is a 266-amino acid (human), secreted protein that contains a 31-residue N-terminal signal peptide, 2 cysteine rich domains, and a putative carboxy terminal N-glycosylation site. Human Dkk-1 transcripts are abundantly present in fetal kidney, adult placenta and adult prostate. Putative cis regulatory elements upstream of the Dkk-1 start site include p53, Sp1, MyoD, STAT, Oct-1/2, C/EBP-a, C/EBP-b, GATA-1, GATA-2 and GATA-3.

如果您使用该产品48979发表了文章,请通知我们,让我们可以引用您的文献。

et al,DKK1 affects survival of patients with head and neck squamous cell carcinoma by inducing resistance to radiotherapy and immunotherapyInRadiother OncolOn2023 AprbyXinyu Ye?1,?Jingwen Liu? et al..PMID: 36690301 , (2023),
PMID: 36690301

注释

应用

  • WB免疫印迹
  • IHC免疫组化
  • IF免疫荧光
  • ICC免疫细胞化学
  • FC流式细胞
  • IP免疫沉淀
  • E酶联免疫吸附法
  • DB免疫斑点法
  • ChIP染色质免疫沉淀
  • GICA胶体金免疫层析法
  • NC阴性对照

种属反应性

  • Hu
  • Ms小鼠
  • Rt大鼠
  • Dm果蝇
  • C线虫
  • Mk
  • Rb
  • B
  • D
  • P
  • Hm仓鼠
  • ChHm中国仓鼠
  • Chk
;

联系我们

Location :

南京市高新开发区星火路10号人才大厦C座

Phone :

400-9961-933
025-58868422

Email Address

info@sabbiotech.com