免费电话:400-9961-933
邮箱:info@sabbiotech.com
欢迎光临本站
川博智能体 English
位置: 首页 > 重组兔单抗 > Junctional Adhesion Molecule 1 Rabbit mAb

Junctional Adhesion Molecule 1 Rabbit mAb #49009

是否有货: Yes
产品详情

产品名称Junctional Adhesion Molecule 1 Rabbit mAb

克隆号SC60-07

来源种属Recombinant Rabbit

克隆性 Monoclonal antibody

纯化ProA affinity purified

应用WB, IHC

种属反应性Human;Mouse;Rat

免疫原描述recombinant protein

标记Unconjugated

别名CD 321 antibody
CD321 antibody
CD321 antigen antibody
ESTM33 antibody
F11 receptor antibody
F11R antibody
JAM 1 antibody
JAM A antibody
JAM antibody
JAM-1 antibody
JAM-A antibody
JAM1 antibody
JAM1_HUMAN antibody
JAMA antibody
JCAM antibody
Jcam1 antibody
Junction adhesion molecule 1 antibody
Junction adhesion molecule, mouse, homolog of antibody
Junctional adhesion molecule 1 antibody
Junctional adhesion molecule A antibody
KAT antibody
Ly106 antibody
PAM 1 antibody
PAM-1 antibody
PAM1 antibody
Platelet adhesion molecule 1 antibody
Platelet adhesion molecule antibody
Platelet F11 receptor antibody
PRO301 antibody
UNQ264 antibody

数据库入口号Swiss-Prot#:Q9Y624

Uniprot Q9Y624

计算分子量33 kDa

配方1*TBS (pH7.4), 1%BSA, 40%Glycerol. Preservative: 0.05% Sodium Azide.

保存Store at -20˚C

应用详情
WB: 1:1,000-5,000
IHC: 1:50-1:200


Western blot analysis of JAM-1 on different lysates using anti-JAM-1 antibody at 1/1,000 dilution. Positive control:
Lane 1: Hela
Lane 2: Human liver
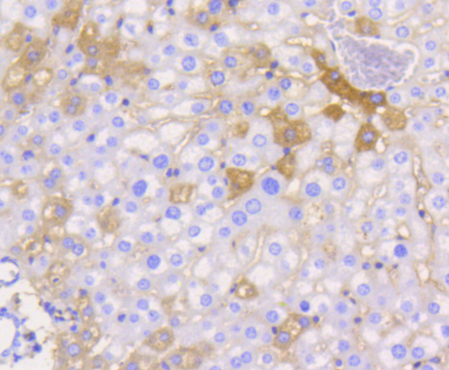
Immunohistochemical analysis of paraffin-embedded mouse liver tissue using anti-JAM-1 antibody. Counter stained with hematoxylin.
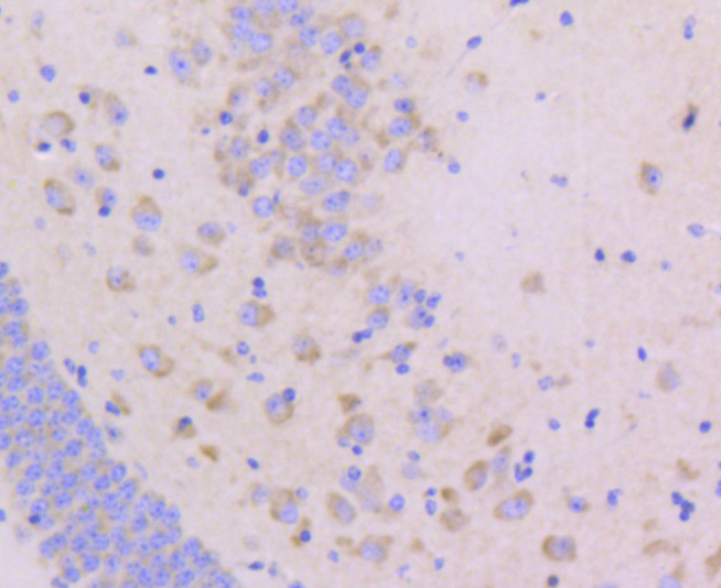
Immunohistochemical analysis of paraffin-embedded mouse brain tissue using anti-JAM-1 antibody. Counter stained with hematoxylin.
Junctional adhesion molecule (JAM) is a member of the immunoglobulin superfamily expressed in tight junctions of epithelial cells and endothelial cells. It is implicated in transendothelial migration of leukocytes. JAM is constitutively expressed on circulating monocytes, neutrophils, lymphocyte subsets and platelets. The JAM family consists of JAM-A, JAM-B and JAM-C, alternatively designated JAM-1, JAM-2 and JAM-3, respectively. JAM-A localizes with F-Actin at the cell-cell contacts and at the membrane ruffles. It is involved in cell to cell adhesion through homophilic interactions and plays a role in the organization of tight junctions and modulation of leukocyte extravasation. JAM-B interacts with discrete subsets of PBLs, suggesting that it may play a role in lymphocyte trafficking. JAM-B and JAM-C proteins are binding partners; JAM-C may be a functional JAM-B receptor. Specifically, JAM-B adheres to T cells through heterotypic interactions with JAM-C. The JAM-B/JAM-C interaction my play a role in T, NK and dendritic cellular inflammation.

如果您使用该产品49009发表了文章,请通知我们,让我们可以引用您的文献。

et al,Long-term effects of Nε-carboxymethyllysine intake on intestinal barrier permeability: Associations with gut microbiota and bile acids , (2024),
PMID:
et al,Long-term effects of Nε-carboxymethyllysine intake on intestinal barrier permeability: Associations with gut microbiota and bile acids. , (2025),
PMID: 39849698

注释

应用

  • WB免疫印迹
  • IHC免疫组化
  • IF免疫荧光
  • ICC免疫细胞化学
  • FC流式细胞
  • IP免疫沉淀
  • E酶联免疫吸附法
  • DB免疫斑点法
  • ChIP染色质免疫沉淀
  • GICA胶体金免疫层析法
  • NC阴性对照

种属反应性

  • Hu
  • Ms小鼠
  • Rt大鼠
  • Dm果蝇
  • C线虫
  • Mk
  • Rb
  • B
  • D
  • P
  • Hm仓鼠
  • ChHm中国仓鼠
  • Chk
;

联系我们

Location :

南京市高新开发区星火路10号人才大厦C座

Phone :

400-9961-933
025-58868422

Email Address

info@sabbiotech.com