免费电话:400-9961-933
邮箱:info@sabbiotech.com
欢迎光临本站
川博智能体 English
位置: 首页 > 重组兔单抗 > NLRP3 Rabbit mAb

NLRP3 Rabbit mAb #49012

是否有货: Yes
产品详情

产品名称NLRP3 Rabbit mAb

克隆号SC06-23

来源种属Recombinant Rabbit

克隆性Monoclonal antibody

纯化ProA affinity purified

应用WB, ICC/IF, IHC, IP, FC

种属反应性Human;Mouse;Rat

免疫原描述recombinant protein

标记Unconjugated

别名AGTAVPRL antibody
AII/AVP antibody
Angiotensin/vasopressin receptor AII/AVP like antibody
Angiotensin/vasopressin receptor AII/AVP-like antibody
C1orf7 antibody
Caterpiller protein 1.1 antibody
CIAS 1 antibody
CIAS1 antibody
CLR1.1 antibody
Cold autoinflammatory syndrome 1 antibody
Cold autoinflammatory syndrome 1 protein antibody
Cryopyrin antibody
Familial cold autoinflammatory syndrome antibody
FCAS antibody
FCU antibody
LRR and PYD domains-containing protein 3 antibody
Muckle-Wells syndrome antibody
MWS antibody
NACHT antibody
NACHT LRR and PYD containing protein 3 antibody
NALP 3 antibody
NALP3 antibody
NALP3_HUMAN antibody
NLRP3 antibody
PYPAF 1 antibody
PYPAF1 antibody
PYRIN containing APAF1 like protein 1 antibody
PYRIN-containing APAF1-like protein 1 antibody

数据库入口号Swiss-Prot#:Q96P20

Uniprot Q96P20

计算分子量118/85 kDa

配方1*TBS (pH7.4), 1%BSA, 40%Glycerol. Preservative: 0.05% Sodium Azide.

保存Store at -20˚C

应用详情
WB: 1:1,000
IHC: 1:50-1:200
ICC: 1:100-1:500

FC: 1:50-1:100
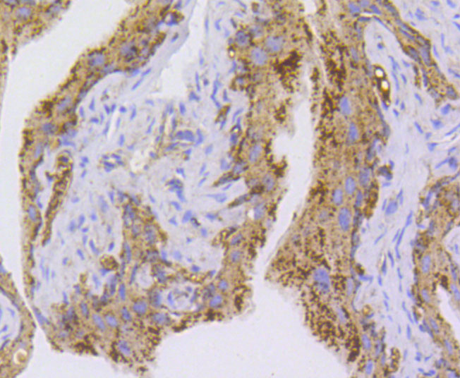
Immunohistochemical analysis of paraffin-embedded mouse bladder tissue using anti- NLRP3 antibody. Counter stained with hematoxylin.
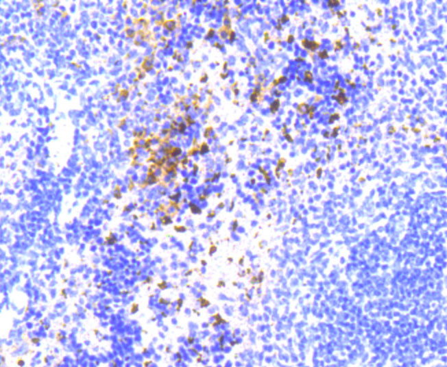
Immunohistochemical analysis of paraffin-embedded mouse spleen tissue using anti- NLRP3 antibody. Counter stained with hematoxylin.
ICC staining NLRP3 in Hela cells (green). The nuclear counter stain is DAPI (blue). Cells were fixed in paraformaldehyde, permeabilised with 0.25% Triton X100/PBS.
ICC staining NLRP3 in HUVEC cells (green). The nuclear counter stain is DAPI (blue). Cells were fixed in paraformaldehyde, permeabilised with 0.25% Triton X100/PBS.
ICC staining NLRP3 in PMVEC cells (green). The nuclear counter stain is DAPI (blue). Cells were fixed in paraformaldehyde, permeabilised with 0.25% Triton X100/PBS.
Flow cytometric analysis of Jurkat cells with NLRP3 antibody at 1/50 dilution (red) compared with an unlabelled control (cells without incubation with primary antibody; black). Alexa Fluor 488-conjugated goat anti rabbit IgG was used as the secondary antibody.
Western blot analysis of lysates from 293,MCF7 and U-87 MG cells using NLRP3 Rabbit mAb.
Cryopyrin interacts selectively with apoptosis-associated specklike protein containing a CARD domain (ASC). This complex may function as an upstream activator of NFkB signaling and caspase-1 activation. The complex also inhibits TNFa induced activation and nuclear translocation of RelA/NFkB p65. Mutations in Cryopyrin and Pyrin proteins are responsible for several autoinflammatory disorders in humans, including familial cold autoinflammatory syndrome (FCAS), Muckle-Wells syndrome (MWS) and chronic infantile neurologic cutaneous and articular syndrome (CINCA).

如果您使用该产品49012发表了文章,请通知我们,让我们可以引用您的文献。

et al,Monotropein alleviates secondary liver injury in chronic colitis by regulating TLR4/NF-kB signaling and NLRP3 inflammasome . In Eur J Pharmacol on 2020 Sep 15 by Yonger Chen , Yingyu Lu, et al..PMID:32710952, , (2020) , (2020),
PMID: 32710952
et al,Ginsenoside Rk3 alleviated DSS-induced ulcerative colitis by protecting colon barrier and inhibiting NLRP3 inflammasome pathway. In Int Immunopharmacol on 2020 Aug by Mi Tian, Pei Ma, et al..PMID: 32521491 , (2020),
PMID: 32521491
et al,Interventional Efects of the Topical of "Sanse Powder" Essential Oils Nanoemulsion on Knee Osteoarthritis in Rats by Targeting the ERS/TXNIP/NLRP3 Signaling Axis.In Front Pharmacol on 2021 Sep 2 by Zixiu Liu, Taiyang Liao, et al.. , (2021),
PMID: 34539417
et al,Interventional Efects of the Topical of "Sanse Powder" Essential Oils Nanoemulsion on Knee Osteoarthritis in Rats by Targeting the ERS/TXNIP/NLRP3 Signaling Axis.In Front Pharmacol on 2021 Sep 2 by Zixiu Liu, Taiyang Liao, et al..PMID: 34539417 , (2021),
PMID: 34539417
et al,Neuro-immune interaction in CNS injury and diseaseInImmunol RevOn2023 Mar 1byB Li, G Ning et al..PMID:35067941 , (2023),
PMID: 35067941
et al,Cannabinoid receptor-2 attenuates neuroinflammation by promoting autophagy-mediated degradation of the NLRP3 inflammasome post spinal cord injury , (2022),
PMID: 36238284
et al,Vitexin alleviates MNNG-induced chronic atrophic gastritis via inhibiting NLRP3 inflammasome. , (2025),
PMID: 39716512
查看更多
et al,Transcription factor EB improves hypoxic pulmonary hypertension in fetal rats by suppressing NLRP3 inflammasome activation via induction of mitophagy , (2025),
PMID: 40603451

注释

应用

  • WB免疫印迹
  • IHC免疫组化
  • IF免疫荧光
  • ICC免疫细胞化学
  • FC流式细胞
  • IP免疫沉淀
  • E酶联免疫吸附法
  • DB免疫斑点法
  • ChIP染色质免疫沉淀
  • GICA胶体金免疫层析法
  • NC阴性对照

种属反应性

  • Hu
  • Ms小鼠
  • Rt大鼠
  • Dm果蝇
  • C线虫
  • Mk
  • Rb
  • B
  • D
  • P
  • Hm仓鼠
  • ChHm中国仓鼠
  • Chk
;

联系我们

Location :

南京市高新开发区星火路10号人才大厦C座

Phone :

400-9961-933
025-58868422

Email Address

info@sabbiotech.com