免费电话:400-9961-933
邮箱:info@sabbiotech.com
欢迎光临本站
川博智能体 English
位置: 首页 > 重组兔单抗 > P Glycoprotein Rabbit mAb

P Glycoprotein Rabbit mAb #49042

是否有货: Yes
产品详情

产品名称P Glycoprotein Rabbit mAb

克隆号SN06-42

来源种属Recombinant Rabbit

克隆性 Monoclonal antibody

纯化ProA affinity purified

应用WB, IHC

种属反应性Human;Mouse;Rat

免疫原描述recombinant protein

标记Unconjugated

别名ABC20 antibody
ABCB1 antibody
ATP binding cassette, sub family B (MDR/TAP), member 1 antibody
ATP-binding cassette sub-family B member 1 antibody
CD243 antibody
CLCS antibody
Colchicin sensitivity antibody
Doxorubicin resistance antibody
GP170 antibody
MDR1 antibody
MDR1_HUMAN antibody
Multidrug resistance 1 antibody
Multidrug resistance protein 1 antibody
P glycoprotein 1 antibody
P gp antibody
P-glycoprotein 1 antibody
PGY1 antibody

数据库入口号Swiss-Prot#:P08183

Uniprot P08183

计算分子量180 kDa

配方1*TBS (pH7.4), 1%BSA, 40%Glycerol. Preservative: 0.05% Sodium Azide.

保存Store at -20˚C

应用详情
WB: 1:1,000
IHC: 1:50-1:200


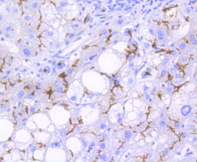
Immunohistochemical analysis of paraffin-embedded human liver tissue using anti-P Glycoprotein antibody. Counter stained with hematoxylin.
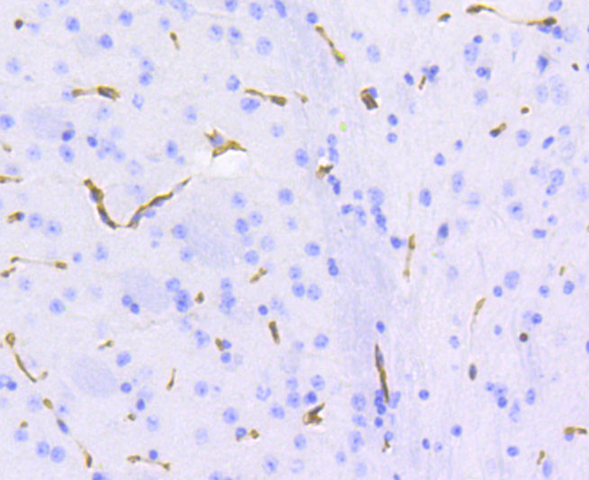
Immunohistochemical analysis of paraffin-embedded mouse brain tissue using anti-P Glycoprotein antibody. Counter stained with hematoxylin.
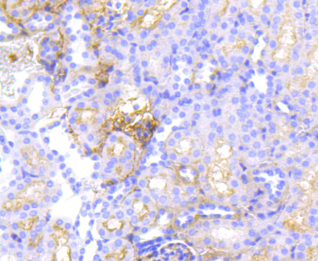
Immunohistochemical analysis of paraffin-embedded mouse kidney tissue using anti-P Glycoprotein antibody. Counter stained with hematoxylin.
Cells selected for resistance to a single cytotoxic drug may become cross-resistant to a broad range of drugs with different structures and cellular targets. This phenomenon is called multiple drug resistance (MDR). The MDR proteins (Mdrs) are members of a highly conserved superfamily of ATP-binding cassette transport proteins. Mdr functions as an energy-dependent efflux pump for structurally diverse agents ranging from ions to peptides. It is implicated in the development of the multiple drug resistance observed in human cancer cells following prolonged chemotherapy. The classic form of MDR is associated with an increase in the Mdr protein, but not all cases of MDR can be attributed to a rise in Mdr levels. Mdr-1 is an apical transmembrane protein that is an integral part of the blood-brain barrier and functions as a drug-transport pump transporting a variety of drugs from the brain back into the blood. In the human population, there are 15 polymorphisms in the Mdr-1 gene.

如果您使用该产品49042发表了文章,请通知我们,让我们可以引用您的文献。

et al,CXCR4 blockade sensitizes osteosarcoma to doxorubicin by inducing autophagic cell death via PI3K鈥慉kt鈥憁TOR pathway inhibition. In Int J Oncol on 2021 Jul by Yu-Xin Liao, Ji-Yang Lv,et al..PMID:34080667 , (2021),
PMID: 34080667

注释

应用

  • WB免疫印迹
  • IHC免疫组化
  • IF免疫荧光
  • ICC免疫细胞化学
  • FC流式细胞
  • IP免疫沉淀
  • E酶联免疫吸附法
  • DB免疫斑点法
  • ChIP染色质免疫沉淀
  • GICA胶体金免疫层析法
  • NC阴性对照

种属反应性

  • Hu
  • Ms小鼠
  • Rt大鼠
  • Dm果蝇
  • C线虫
  • Mk
  • Rb
  • B
  • D
  • P
  • Hm仓鼠
  • ChHm中国仓鼠
  • Chk
;

联系我们

Location :

南京市高新开发区星火路10号人才大厦C座

Phone :

400-9961-933
025-58868422

Email Address

info@sabbiotech.com