免费电话:400-9961-933
邮箱:info@sabbiotech.com
欢迎光临本站
川博智能体 English
位置: 首页 > 重组兔单抗 > MAP1LC3A Rabbit mAb

MAP1LC3A Rabbit mAb #49049

是否有货: Yes
产品详情

产品名称MAP1LC3A Rabbit mAb

克隆号SN07-40

来源种属Recombinant Rabbit

克隆性 Monoclonal antibody

纯化ProA affinity purified

应用WB, ICC, IHC, IP

种属反应性Human;Mouse;Rat

免疫原描述recombinant protein

标记Unconjugated

别名ATG8E antibody
Autophagy-related protein LC3 A antibody
Autophagy-related ubiquitin-like modifier LC3 A antibody
LC3 antibody
LC3A antibody
MAP1 light chain 3 like protein 1 antibody
MAP1 light chain 3-like protein 1 antibody
MAP1A/1B light chain 3 A antibody
MAP1A/MAP1B LC3 A antibody
MAP1A/MAP1B light chain 3 A antibody
MAP1ALC3 antibody
MAP1BLC3 antibody
Map1lc3a antibody
Microtubule associated proteins 1A/1B light chain 3 antibody
Microtubule-associated protein 1 light chain 3 alpha antibody
Microtubule-associated proteins 1A and 1B, light chain 3 antibody
Microtubule-associated proteins 1A/1B light chain 3A antibody
MLP3A_HUMAN antibody

数据库入口号Swiss-Prot#:Q9H492

Uniprot Q9H492

计算分子量14 kDa

配方1*TBS (pH7.4), 1%BSA, 40%Glycerol. Preservative: 0.05% Sodium Azide.

保存Store at -20˚C

应用详情
WB: 1:1,000-1:2,000
IHC: 1:50-1:200
ICC: 1:50-1:200

Western blot analysis of MAP1LC3A on mouse brain lysates using anti-MAP1LC3A antibody at 1/1,000 dilution.
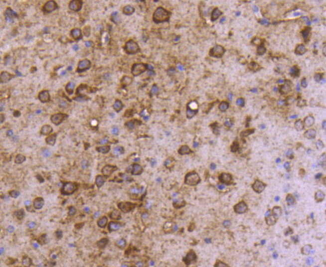
Immunohistochemical analysis of paraffin-embedded mouse brain tissue using anti-MAP1LC3A antibody. Counter stained with hematoxylin.
ICC staining MAP1LC3A in Hela cells (green). The nuclear counter stain is DAPI (blue). Cells were fixed in paraformaldehyde, permeabilised with 0.25% Triton X100/PBS.
ICC staining MAP1LC3A in PMVEC cells (green). The nuclear counter stain is DAPI (blue). Cells were fixed in paraformaldehyde, permeabilised with 0.25% Triton X100/PBS.
Microtubule-associated proteins (MAPs) regulate microtubule stability and play critical roles in neuronal development and in maintaining the balance between neuronal plasticity and rigidity. MAP-light chain 3 beta (MAP-LC3β) and MAP-light chain 3 alpha (MAP-LC3α), both of which are mammalian homologs of yeast Apg8, are subunits that can associate with either MAP-1A or MAP-1B. While MAP-LC3β is essential for autophagy and is associated with autophagosome membranes after processing, MAP LC3α is involved in the formation of autophagosomal vacuoles and is localized to the intracytoplasmic membrane. MAP LC3α is expressed as two alternatively spliced isoforms that are expressed in testis, brain, heart, liver and skeletal muscle, but are absent in thymus and peripheral blood leukocytes.

如果您使用该产品49049发表了文章,请通知我们,让我们可以引用您的文献。

et al,The modification of ferroptosis and abnormal lipometabolism through overexpression and knockdown of potential prognostic biomarker perilipin2 in gastric carcinoma.In Gastric Cancer on 2020 Mar; by Sun X, Yang S, et al..PMID: 31520166 , (2020),
PMID: 31520166

注释

应用

  • WB免疫印迹
  • IHC免疫组化
  • IF免疫荧光
  • ICC免疫细胞化学
  • FC流式细胞
  • IP免疫沉淀
  • E酶联免疫吸附法
  • DB免疫斑点法
  • ChIP染色质免疫沉淀
  • GICA胶体金免疫层析法
  • NC阴性对照

种属反应性

  • Hu
  • Ms小鼠
  • Rt大鼠
  • Dm果蝇
  • C线虫
  • Mk
  • Rb
  • B
  • D
  • P
  • Hm仓鼠
  • ChHm中国仓鼠
  • Chk
;

联系我们

Location :

南京市高新开发区星火路10号人才大厦C座

Phone :

400-9961-933
025-58868422

Email Address

info@sabbiotech.com