免费电话:400-9961-933
邮箱:info@sabbiotech.com
欢迎光临本站
川博智能体 English
位置: 首页 > 重组兔单抗 > PP2A alpha + beta Rabbit mAb

PP2A alpha + beta Rabbit mAb #49068

是否有货: Yes
产品详情

产品名称PP2A alpha + beta Rabbit mAb

克隆号SN70-08

来源种属Recombinant Rabbit

克隆性 Monoclonal antibody

纯化ProA affinity purified

应用WB; ICC; IHC; IP

种属反应性Human;Mouse;Rat;Zebrafish

免疫原描述recombinant protein

标记Unconjugated

别名PP2A A antibody
PP2A alpha antibody
PP2A B antibody
PP2A beta antibody
PP2A-alpha antibody
PP2AA_HUMAN antibody
PP2Ac antibody
PP2CB antibody
PPP2CA antibody
PPP2CB antibody
Protein phosphatase 2 catalytic subunit alpha isoform antibody
Protein phosphatase 2 catalytic subunit beta isoform antibody
Replication protein C antibody
RP C antibody
RP-C antibody
Serine/threonine protein phosphatase 2A catalytic subunit alpha isoform antibody
Serine/threonine protein phosphatase 2A catalytic subunit beta isoform antibody
Serine/threonine-protein phosphatase 2A catalytic subunit alpha isoform antibody

数据库入口号Swiss-Prot#:P62714

Uniprot P62714

计算分子量36 kDa

配方1*TBS (pH7.4), 1%BSA, 40%Glycerol. Preservative: 0.05% Sodium Azide.

保存Store at -20˚C

应用详情
WB: 1:1000-1:2000
IHC: 1:100-1:200
ICC: 1:50-1:200
IP: 1:50-1:100
Western blot analysis of PP2A alpha + beta on different lysates using anti-PP2A alpha + beta antibody at 1/1,000 dilution. Positive control:
Lane 1: A431
Lane 2: NIH/3T3
Lane 3: 293T
Western blot analysis of PP2A alpha + beta on hybrid fish (crucian-carp) brain tissue lysate using anti-PP2A alpha + beta antibody at 1/500 dilution.

Immunohistochemical analysis of paraffin-embedded mouse stomach tissue using anti-PP2A alpha + beta antibody. Counter stained with hematoxylin.


Immunohistochemical analysis of paraffin-embedded mouse heart tissue using anti-PP2A alpha + beta antibody. Counter stained with hematoxylin.


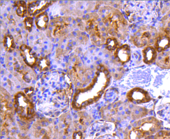
Immunohistochemical analysis of paraffin-embedded rat kidney tissue using anti-PP2A alpha + beta antibody. Counter stained with hematoxylin.


Immunohistochemical analysis of paraffin-embedded human tonsil tissue using anti-PP2A alpha + beta antibody. Counter stained with hematoxylin.


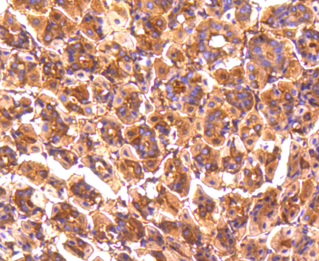
Immunohistochemical analysis of paraffin-embedded human pancreas tissue using anti-PP2A alpha + beta antibody. Counter stained with hematoxylin.


Immunohistochemical analysis of paraffin-embedded mouse brain tissue using anti-PP2A alpha + beta antibody. Counter stained with hematoxylin.


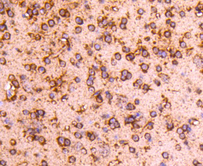
ICC staining PP2A alpha + beta in PANC-1 cells (green). The nuclear counter stain is DAPI (blue). Cells were fixed in paraformaldehyde, permeabilised with 0.25% Triton X100/PBS.
ICC staining PP2A alpha + beta in Hela cells (green). The nuclear counter stain is DAPI (blue). Cells were fixed in paraformaldehyde, permeabilised with 0.25% Triton X100/PBS.
ICC staining PP2A alpha + beta in 293 cells (green). The nuclear counter stain is DAPI (blue). Cells were fixed in paraformaldehyde, permeabilised with 0.25% Triton X100/PBS.
ICC staining PP2A alpha + beta in L6 cells (green). The nuclear counter stain is DAPI (blue). Cells were fixed in paraformaldehyde, permeabilised with 0.25% Triton X100/PBS.
The catalytic subunit of protein phosphatase 2A (PP2A) is inactivated by in vitro phosphorylation of Tyr-307 by receptor and nonreceptor protein tyrosine kinases. The catalytic subunit of PP2A is phosphorylated by tyrosine-specific protein kinases and associates with a variety of regulatory subunits. Phosphorylation is enhanced in the presence of the phosphatase inhibitor okadaic acid, consistent with an autodephosphorylation reaction. Phosphorylation is catalyzed by p60v-src, p56lck, epidermal growth factor receptors, and insulin receptors. Transient deactivation of PP2A might enhance transmission of cellular signals through kinase cascades within cells. In eukaryotes, the phosphorylation and dephosphorylation of proteins on serine and threonine residues is an essential means of regulating a broad range of cellular functions, including cell division, homeostasis and apoptosis. A group of proteins that are intimately involved in this process are the protein phosphatases.

如果您使用该产品49068发表了文章,请通知我们,让我们可以引用您的文献。

et al,Artemisinin alleviates astrocyte overactivation and neuroinflammation by modulating the IRE1/NF-κB signaling pathway in in vitro and in vivo Alzheimer's disease models. , (2025),
PMID: 39826816

注释

应用

  • WB免疫印迹
  • IHC免疫组化
  • IF免疫荧光
  • ICC免疫细胞化学
  • FC流式细胞
  • IP免疫沉淀
  • E酶联免疫吸附法
  • DB免疫斑点法
  • ChIP染色质免疫沉淀
  • GICA胶体金免疫层析法
  • NC阴性对照

种属反应性

  • Hu
  • Ms小鼠
  • Rt大鼠
  • Dm果蝇
  • C线虫
  • Mk
  • Rb
  • B
  • D
  • P
  • Hm仓鼠
  • ChHm中国仓鼠
  • Chk
;

联系我们

Location :

南京市高新开发区星火路10号人才大厦C座

Phone :

400-9961-933
025-58868422

Email Address

info@sabbiotech.com