免费电话:400-9961-933
邮箱:info@sabbiotech.com
欢迎光临本站
川博智能体 English
位置: 首页 > 重组兔单抗 > BRG1 Rabbit mAb

BRG1 Rabbit mAb #49101

是否有货: Yes
产品详情

产品名称BRG1 Rabbit mAb

克隆号SN20-03

来源种属Recombinant Rabbit

克隆性 Monoclonal antibody

纯化ProA affinity purified

应用WB, ICC/IF, IHC, IP

种属反应性Human;Mouse;Rat

免疫原描述recombinant protein

标记Unconjugated

别名ATP dependent helicase SMARCA4 antibody
ATP-dependent helicase SMARCA4 antibody
BAF 190 antibody
BAF190 antibody
BAF190A antibody
Brahma protein like 1 antibody
BRG1 antibody
BRG1 associated factor 190A antibody
BRG1 protein antibody
BRG1-associated factor 190A antibody
BRM/SWI2 related gene 1 antibody
Global transcription activator homologous sequence antibody
global transcription activator snf2l4 antibody
Homeotic gene regulator antibody
hSNF2b antibody
Mitotic growth and transcription activator antibody
MRD16 antibody
Nuclear protein GRB1 antibody
Protein brahma homolog 1 antibody
Protein BRG-1 antibody
Protein BRG1 antibody
RTPS2 antibody
SMARC A4 antibody
SMARCA4 antibody
SMCA4_HUMAN antibody
SNF2 antibody
SNF2 beta antibody
SNF2 like 4 antibody
SNF2-beta antibody
SNF2B antibody
SNF2L4 antibody
SNF2LB antibody
Sucrose nonfermenting like 4 antibody
SWI/SNF related matrix associated actin dependent regulator of chromatin subfamily A member 4 antibody
SWI/SNF related, matrix associated, actin dependent regulator of chromatin, subfamily a, member 4 antibody
SWI/SNF-related matrix-associated actin-dependent regulator of chromatin subfamily A member 4 antibody
SWI2 antibody
Transcription activator BRG1 antibody

数据库入口号Swiss-Prot#:P51532

Uniprot P51532

计算分子量185 kDa

配方1*TBS (pH7.4), 1%BSA, 40%Glycerol. Preservative: 0.05% Sodium Azide.

保存Store at -20˚C

应用详情
WB: 1:1,000-5,000
IHC: 1:50-1:200
ICC: 1:50-1:200

Western blot analysis of BRG1 on different lysates using anti-BRG1 antibody at 1/1,000 dilution. Positive control:
Lane 1: Jurkat
Lane 2: HepG2
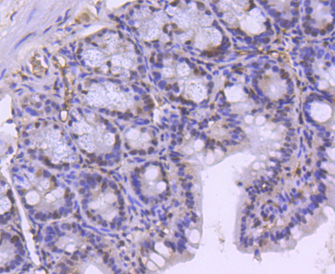
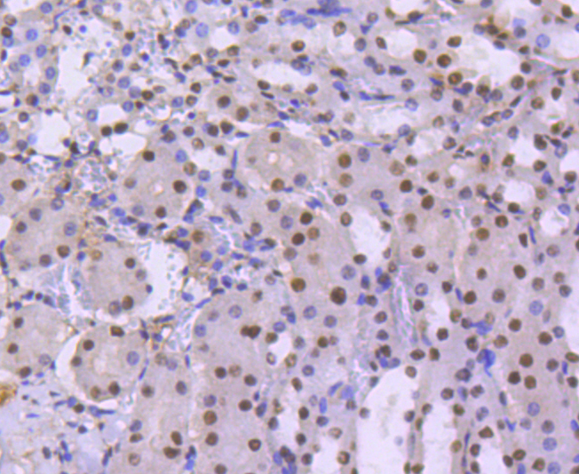
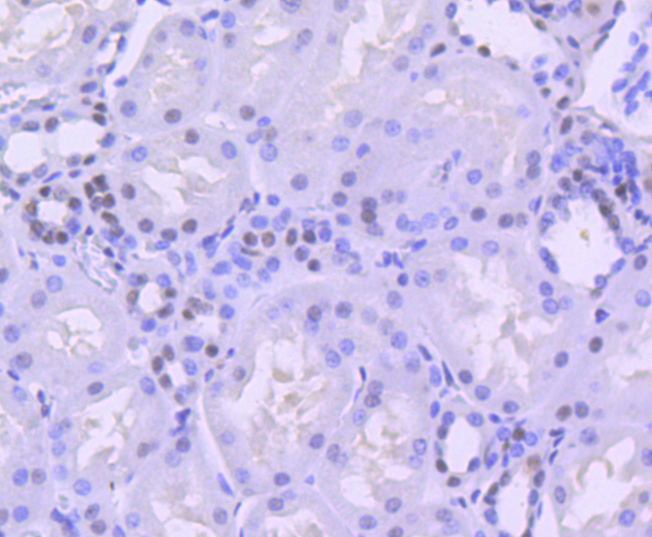
Immunohistochemical analysis of paraffin-embedded mouse colon tissue using anti-BRG1 antibody. Counter stained with hematoxylin.
Immunohistochemical analysis of paraffin-embedded mouse kidney tissue using anti-BRG1 antibody. Counter stained with hematoxylin.
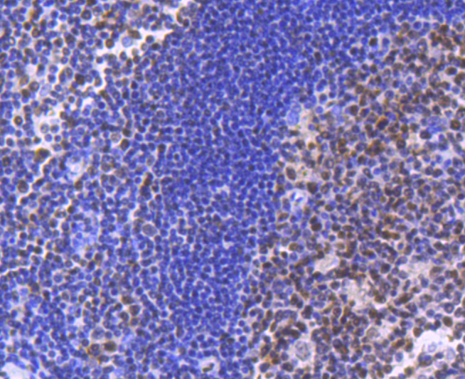
Immunohistochemical analysis of paraffin-embedded human tonsil tissue using anti-BRG1 antibody. Counter stained with hematoxylin.
Immunohistochemical analysis of paraffin-embedded human kidney tissue using anti-BRG1 antibody. Counter stained with hematoxylin.
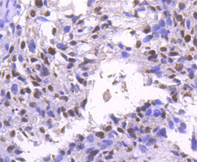
Immunohistochemical analysis of paraffin-embedded human breast carcinoma tissue using anti-BRG1 antibody. Counter stained with hematoxylin.
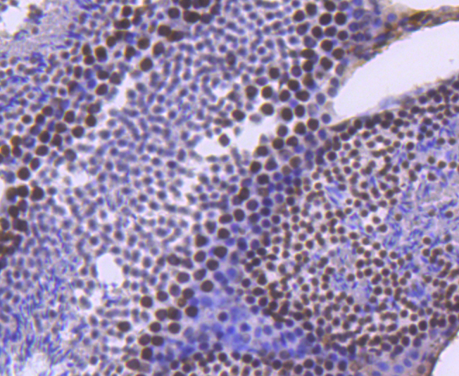
Immunohistochemical analysis of paraffin-embedded mouse testis tissue using anti-BRG1 antibody. Counter stained with hematoxylin.
ICC staining BRG1 in Hela cells (green). The nuclear counter stain is DAPI (blue). Cells were fixed in paraformaldehyde, permeabilised with 0.25% Triton X100/PBS.
ICC staining BRG1 in HepG2 cells (green). The nuclear counter stain is DAPI (blue). Cells were fixed in paraformaldehyde, permeabilised with 0.25% Triton X100/PBS.
ICC staining BRG1 in SW480 cells (green). The nuclear counter stain is DAPI (blue). Cells were fixed in paraformaldehyde, permeabilised with 0.25% Triton X100/PBS.
ICC staining BRG1 in RH-35 cells (green). The nuclear counter stain is DAPI (blue). Cells were fixed in paraformaldehyde, permeabilised with 0.25% Triton X100/PBS.
The SWI-SNF complex is involved in the activation of transcription via the remodeling of nucleosome structure in an ATP-dependent manner. Brm (also designated SNF2α) and Brg-1 (also designated SNF2β) are the ATPase subunits of the mammalian SWI-SNF complex. Brm, Brg-1, Ini1 (integrase interactor 1, also designated SNF5), BAF155 (also designated SRG3) and BAF170 are thought to comprise the functional core of the SWI-SNF complex. Addition of Ini1, BAF155 and BAF170 to Brg-1 appears to increase remodeling activity. Other complex subunits are thought to play regulatory roles. hSNF2L and hSNF2H both appear to be homologs of Drosophila ISWI, a Brm related ATPase that is present in chromatin remodeling complexes other than SWI/SNF, including the NURF (nucleosome remodeling factor).

如果您使用该产品49101发表了文章,请通知我们,让我们可以引用您的文献。

et al,Autoantibody against Tumor-Associated Antigens as Diagnostic Biomarkers in Hispanic Patients with Hepatocellular Carcinoma. In Cells on 2022 Oct 14 by Yangcheng Ma, Cuipeng Qiu, et al..PMID:36291095 , (2022),
PMID: 36291095

注释

应用

  • WB免疫印迹
  • IHC免疫组化
  • IF免疫荧光
  • ICC免疫细胞化学
  • FC流式细胞
  • IP免疫沉淀
  • E酶联免疫吸附法
  • DB免疫斑点法
  • ChIP染色质免疫沉淀
  • GICA胶体金免疫层析法
  • NC阴性对照

种属反应性

  • Hu
  • Ms小鼠
  • Rt大鼠
  • Dm果蝇
  • C线虫
  • Mk
  • Rb
  • B
  • D
  • P
  • Hm仓鼠
  • ChHm中国仓鼠
  • Chk
;

联系我们

Location :

南京市高新开发区星火路10号人才大厦C座

Phone :

400-9961-933
025-58868422

Email Address

info@sabbiotech.com