免费电话:400-9961-933
邮箱:info@sabbiotech.com
欢迎光临本站
川博智能体 English
位置: 首页 > 重组兔单抗 > Calnexin Rabbit mAb

Calnexin Rabbit mAb #49102

是否有货: Yes
产品详情

产品名称Calnexin Rabbit mAb

克隆号SN20-54

来源种属Recombinant Rabbit

克隆性 Monoclonal antibody

纯化ProA affinity purified

应用WB, ICC/IF, IHC, FC

种属反应性Human;Rat

免疫原描述recombinant protein

标记Unconjugated

别名Calnexin antibody
CALX_HUMAN antibody
CANX antibody
CNX antibody
FLJ26570 antibody
Histocompatibility complex class I antigen binding protein p88 antibody
IP90 antibody
Major histocompatibility complex class I antigen-binding protein p88 antibody
p90 antibody

数据库入口号Swiss-Prot#:P27824

Uniprot P27824

计算分子量90 kDa

配方1*TBS (pH7.4), 1%BSA, 40%Glycerol. Preservative: 0.05% Sodium Azide.

保存Store at -20˚C

应用详情
WB: 1:1,000-5,000
IHC: 1:50-1:200
ICC: 1:100-1:500

FC: 1:50-1:100
Western blot analysis of Calnexin on Hela cells lysates using anti-Calnexin antibody at 1/1,000 dilution.
Immunohistochemical analysis of paraffin-embedded human pancreas tissue using anti-Calnexin antibody. Counter stained with hematoxylin.
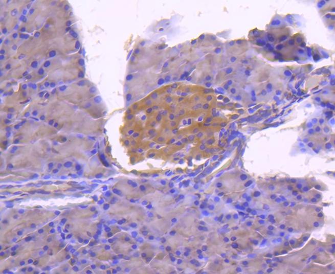
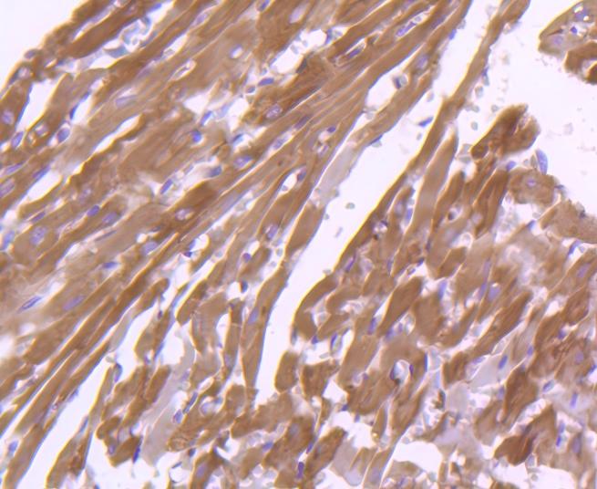
Immunohistochemical analysis of paraffin-embedded rat heart tissue using anti-Calnexin antibody. Counter stained with hematoxylin.
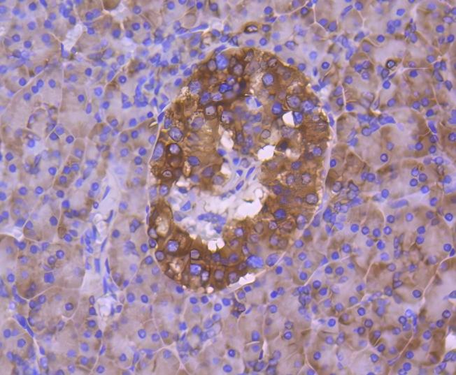
Immunohistochemical analysis of paraffin-embedded rat pancreas tissue using anti-Calnexin antibody. Counter stained with hematoxylin.
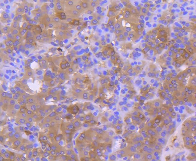
Immunohistochemical analysis of paraffin-embedded human liver cancer tissue using anti-Calnexin antibody. Counter stained with hematoxylin.
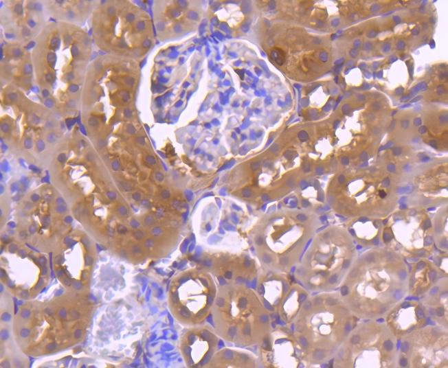
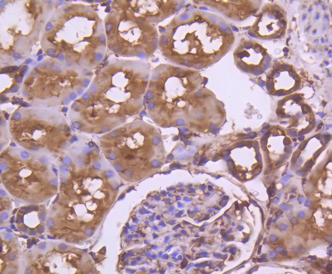
Immunohistochemical analysis of paraffin-embedded rat kidney tissue using anti-Calnexin antibody. Counter stained with hematoxylin.
Immunohistochemical analysis of paraffin-embedded human kidney tissue using anti-Calnexin antibody. Counter stained with hematoxylin.
ICC staining Calnexin in Hela cells (green). The nuclear counter stain is DAPI (blue). Cells were fixed in paraformaldehyde, permeabilised with 0.25% Triton X100/PBS.
ICC staining Calnexin in HepG2 cells (green). The nuclear counter stain is DAPI (blue). Cells were fixed in paraformaldehyde, permeabilised with 0.25% Triton X100/PBS.
ICC staining Calnexin in PANC-1 cells (green). The nuclear counter stain is DAPI (blue). Cells were fixed in paraformaldehyde, permeabilised with 0.25% Triton X100/PBS.
Flow cytometric analysis of Hela cells with Calnexin antibody at 1/50 dilution (red) compared with an unlabelled control (cells without incubation with primary antibody; black). Alexa Fluor 488-conjugated goat anti rabbit IgG was used as the secondary antibody
Calnexin and Calregulin (also called calreticulin) are calcium-binding proteins that are localized to the endoplasmic reticulum, Calnexin to the membrane and Calregulin to the lumen. Calnexin is a type I membrane protein that interacts with newly synthesized glycoproteins in the endoplasmic reticulum. It may play a role in assisting with protein assembly and in retaining unassembled protein subunits in the endoplasmic reticulum. Calregulin has both low- and high-affinity calcium-binding sites. Neither Calnexin nor Calregulin contains the calcium-binding ��E-F hand�� motif found in calmodulins. Calnexin and Calregulin are important for the maturation of glycoproteins in the endoplasmic reticulum and appear to bind many of the same proteins.

如果您使用该产品49102发表了文章,请通知我们,让我们可以引用您的文献。

et al,NK Cell‐Derived Small Extracellular Vesicles Armed With CLDN4‐Targeting Peptides Potentiate Radiotherapy in Gastric Cancer , (2025),
PMID: 41252335
et al,Polyethylene microplastics transported to nucleus pulposus cells via macrophages-derived exosomes, and promote intervertebral disc degeneration through … , (2025),
PMID: 41175705

注释

应用

  • WB免疫印迹
  • IHC免疫组化
  • IF免疫荧光
  • ICC免疫细胞化学
  • FC流式细胞
  • IP免疫沉淀
  • E酶联免疫吸附法
  • DB免疫斑点法
  • ChIP染色质免疫沉淀
  • GICA胶体金免疫层析法
  • NC阴性对照

种属反应性

  • Hu
  • Ms小鼠
  • Rt大鼠
  • Dm果蝇
  • C线虫
  • Mk
  • Rb
  • B
  • D
  • P
  • Hm仓鼠
  • ChHm中国仓鼠
  • Chk
;

联系我们

Location :

南京市高新开发区星火路10号人才大厦C座

Phone :

400-9961-933
025-58868422

Email Address

info@sabbiotech.com