免费电话:400-9961-933
邮箱:info@sabbiotech.com
欢迎光临本站
川博智能体 English
位置: 首页 > 重组兔单抗 > TAPA1/CD81 Rabbit mAb

TAPA1/CD81 Rabbit mAb #49103

是否有货: Yes
产品详情

产品名称TAPA1/CD81 Rabbit mAb

克隆号SN206-01

来源种属Recombinant Rabbit

克隆性 Monoclonal antibody

纯化ProA affinity purified

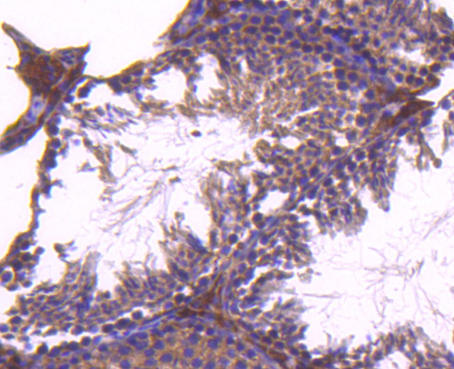
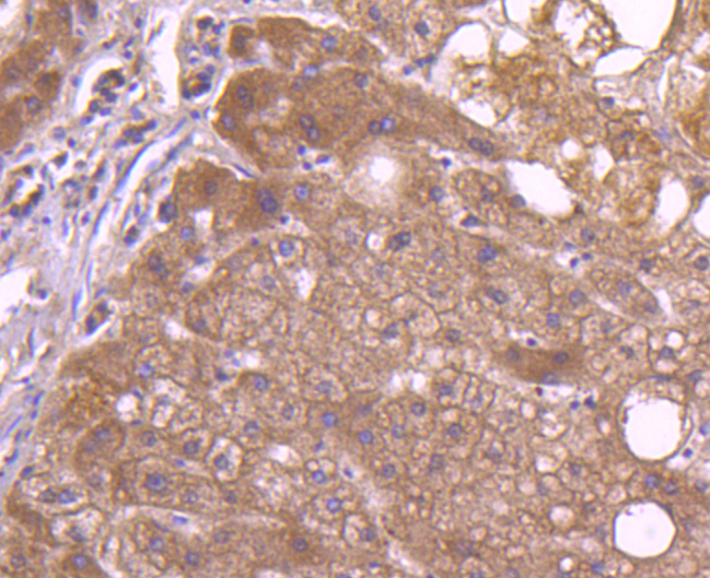
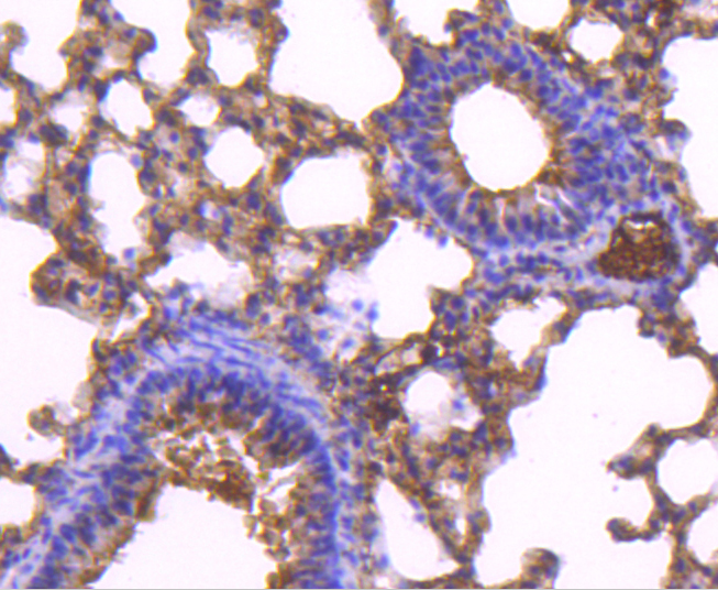
应用WB, ICC, IHC, FC

种属反应性Human;Mouse;Rat

免疫原描述recombinant protein

标记Unconjugated

别名26 kDa cell surface protein TAPA 1 antibody
26 kDa cell surface protein TAPA-1 antibody
26 kDa cell surface protein TAPA1 antibody
CD 81 antibody
CD81 antibody
CD81 antigen (target of antiproliferative antibody
1) antibody
CD81 antigen antibody
CD81 molecule antibody
CD81_HUMAN antibody
CVID6 antibody
S5.7 antibody
TAPA 1 antibody
TAPA1 antibody
Target of the antiproliferative antibody
1 antibody
Tetraspanin 28 antibody
Tetraspanin-28 antibody
Tetraspanin28 antibody
Tspan 28 antibody
Tspan-28 antibody
Tspan28 antibody

数据库入口号Swiss-Prot#:P60033

Uniprot P60033

计算分子量20 kDa

配方1*TBS (pH7.4), 1%BSA, 40%Glycerol. Preservative: 0.05% Sodium Azide.

保存Store at -20˚C

应用详情

WB: 1:1,000-1:2,000
IHC: 1:50-1:200
ICC: 1:100-1:500

FC: 1:50-1:100

CD81, also called TAPA-1, is a type III transmembrane protein that is broadly expressed on cells of hematopoietic, neuroectodermal and mesenchymal origin. CD81 is believed to be involved in both cell growth and signal transduction. It can be present as a multimolecular complex in association with CD37 and/or CD53, or on the surface of B cells in association with CD19, CD21 and/or MHC class II antigens.

如果您使用该产品49103发表了文章,请通知我们,让我们可以引用您的文献。

et al,Exosomes derived from bone marrow-derived mesenchymal stem cells of exercise-trained mice improve wound healing by inhibiting macrophage M1 polarization , (2025),
PMID: 40498332

注释

应用

  • WB免疫印迹
  • IHC免疫组化
  • IF免疫荧光
  • ICC免疫细胞化学
  • FC流式细胞
  • IP免疫沉淀
  • E酶联免疫吸附法
  • DB免疫斑点法
  • ChIP染色质免疫沉淀
  • GICA胶体金免疫层析法
  • NC阴性对照

种属反应性

  • Hu
  • Ms小鼠
  • Rt大鼠
  • Dm果蝇
  • C线虫
  • Mk
  • Rb
  • B
  • D
  • P
  • Hm仓鼠
  • ChHm中国仓鼠
  • Chk
;

联系我们

Location :

南京市高新开发区星火路10号人才大厦C座

Phone :

400-9961-933
025-58868422

Email Address

info@sabbiotech.com