免费电话:400-9961-933
邮箱:info@sabbiotech.com
欢迎光临本站
川博智能体 English
位置: 首页 > 重组兔单抗 > Oct4 Rabbit mAb

Oct4 Rabbit mAb #49129

是否有货: Yes
产品详情

产品名称 Oct4 Rabbit mAb

克隆号SD0750

来源种属Recombinant Rabbit

克隆性 Monoclonal antibody

纯化ProA affinity purified

应用WB, ICC/IF, IHC, IP, CHIP

种属反应性Human;Mouse

免疫原描述recombinant protein

标记Unconjugated

别名Octamer binding transcription factor 4 antibody
MGC22487 antibody
Oct 3 antibody
Oct 4 antibody
Oct-3 antibody
Oct-4 antibody
OCT3 antibody
Oct4 antibody
Octamer binding protein 3 antibody
Octamer binding protein 4 antibody
Octamer binding transcription factor 3 antibody
Octamer-binding protein 3 antibody
Octamer-binding protein 4 antibody
Octamer-binding transcription factor 3 antibody
OTF 3 antibody
OTF 4 antibody
OTF-3 antibody
OTF3 antibody
OTF4 antibody
PO5F1_HUMAN antibody
POU class 5 homeobox 1 antibody
POU domain class 5 transcription factor 1 antibody
POU domain transcription factor OCT4 antibody
POU domain, class 5, transcription factor 1 antibody
POU-type homeodomain-containing DNA-binding protein antibody
POU5F1 antibody

数据库入口号Swiss-Prot#:Q01860

Uniprot Q01860

计算分子量39 kDa

配方1*TBS (pH7.4), 1%BSA, 40%Glycerol. Preservative: 0.05% Sodium Azide.

保存Store at -20˚C

应用详情

WB: 1:1,000-5,000
IHC: 1:50-1:200
ICC: 1:50-1:200

Western blot analysis of Oct4 on different lysates using anti-Oct4 antibody at 1/1,000 dilution. Positive control:
Lane 1: F9
Lane 2: NCCIT
Lane 3: hES
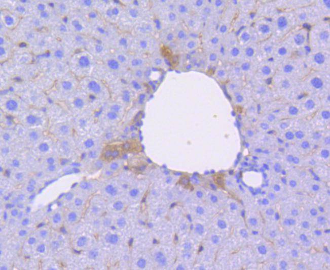
Immunohistochemical analysis of paraffin-embedded mouse liver tissue using anti-Oct4 antibody. Counter stained with hematoxylin.
ICC staining Oct4 in N2A cells (green). The nuclear counter stain is DAPI (blue). Cells were fixed in paraformaldehyde, permeabilised with 0.25% Triton X100/PBS.
ICC staining Oct4 in MCF-7 cells (green). The nuclear counter stain is DAPI (blue). Cells were fixed in paraformaldehyde, permeabilised with 0.25% Triton X100/PBS.

POU5F1 (POU domain, class 5, transcription factor 1), also known as octamer-binding transcription factor-3 (Oct-3, OTF3), octamer-binding transcription factor-4 (Oct-4, Otf-4) and Oct-3/4, modulates embryonic stem (ES) cell populations by influencing lineage commitment. Oct-3/4 sustains stem-cell self-renewal and differentiation pathways. Transcription factors containing the POU homeodomain regulate tissue-specific gene expression in lymphoid and pituitary differentiation and in early mammalian development. Oct-3/4 is capable of inducing rapid proliferation and tumorigenic properties of ES cells through activation of the UTF1 gene. In humans, two Oct-3/4 isoforms contribute to influencing the undifferentiated phenotype of ES cells. Oct-3/4 pseudogenes localizing to human chromosomes 10 and 8 are reported to be transcribed in certain cancer cell lines and tissues.

如果您使用该产品49129发表了文章,请通知我们,让我们可以引用您的文献。

et al,Liquid Helium Enhanced Vitrification Efficiency of Human Bone-Derived Mesenchymal Stem Cells and Human Embryonic Stem Cells. In Bioengineering (Basel) on 2021 Oct 26 by Mengjia Dou, Chennan Lu,et al..PMID:34821728 , (2021),
PMID: 34821728

注释

应用

  • WB免疫印迹
  • IHC免疫组化
  • IF免疫荧光
  • ICC免疫细胞化学
  • FC流式细胞
  • IP免疫沉淀
  • E酶联免疫吸附法
  • DB免疫斑点法
  • ChIP染色质免疫沉淀
  • GICA胶体金免疫层析法
  • NC阴性对照

种属反应性

  • Hu
  • Ms小鼠
  • Rt大鼠
  • Dm果蝇
  • C线虫
  • Mk
  • Rb
  • B
  • D
  • P
  • Hm仓鼠
  • ChHm中国仓鼠
  • Chk
;

联系我们

Location :

南京市高新开发区星火路10号人才大厦C座

Phone :

400-9961-933
025-58868422

Email Address

info@sabbiotech.com