免费电话:400-9961-933
邮箱:info@sabbiotech.com
欢迎光临本站
川博智能体 English
位置: 首页 > 重组兔单抗 > PAX8 Rabbit mAb

PAX8 Rabbit mAb #49174

是否有货: Yes
产品详情

产品名称PAX8 Rabbit mAb

克隆号SD0832

来源种属Recombinant Rabbit

克隆性 Monoclonal antibody

纯化ProA affinity purified

应用ICC/IF, IHC

种属反应性Human;Mouse;Rat

免疫原描述recombinant protein

标记Unconjugated

别名OTTHUMP00000158659 antibody
OTTHUMP00000158660 antibody
OTTHUMP00000203723 antibody
OTTHUMP00000203724 antibody
Paired box 8 antibody
Paired box gene 8 antibody
paired box homeotic gene 8 antibody
Paired box protein Pax 8 antibody
Paired box protein Pax-8 antibody
Paired domain gene 8 antibody
PAX 8 antibody
PAX8 antibody
PAX8_HUMAN antibody

数据库入口号Swiss-Prot#:Q06710

Uniprot Q06710

配方1*TBS (pH7.4), 1%BSA, 40%Glycerol. Preservative: 0.05% Sodium Azide.

保存Store at -20˚C

应用详情

IHC: 1:50-1:200
ICC: 1:50-1:200

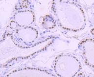
Immunohistochemical analysis of paraffin-embedded human thyroid tissue using anti-PAX8 antibody. Counter stained with hematoxylin.
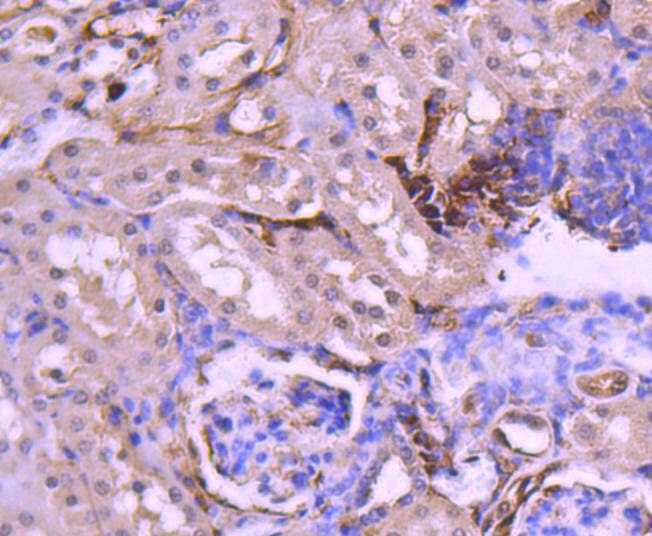
Immunohistochemical analysis of paraffin-embedded human kidney tissue using anti-PAX8 antibody. Counter stained with hematoxylin.
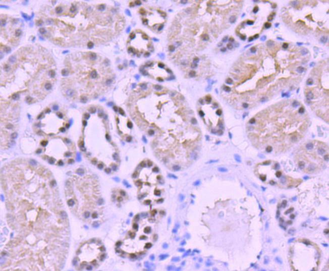
Immunohistochemical analysis of paraffin-embedded mouse kidney tissue using anti-PAX8 antibody. Counter stained with hematoxylin.
ICC staining PAX8 in SKOV-3 cells (green). The nuclear counter stain is DAPI (blue). Cells were fixed in paraformaldehyde, permeabilised with 0.25% Triton X100/PBS.
The Pax family encodes transcription factors that function during embryogenesis and regulate the temporal and position-dependent differentiation of cells. Pax-8 is expressed in the developing and adult thyroid, the developing secretory system and at lower levels, in the adult kidney. Pax-8 complexes with TTF-1 and TTF-2 to induce thyroid follicular cell differentiation and thyroid hormone biosynthesis by regulating the expression of sodium iodide symporter (NIS), thyroid peroxidase (TPO), thyroglobulin (TG) and the thyrotropin receptor (TSHR). Treatment of FRTL-5 cells with TGFβ1 decreases Pax-8 mRNA levels and Pax-8 DNA binding activity, which suppresses the expression of TG and the formation of thyrocytes. Patients who have autosomal dominant mutations of the Pax-8 gene develop thyroid dysgenesis. The Pax-8 gene produces six isoforms, A to F, that are generated by alternative splicing and differ in their carboxy-terminal regions. The Pax-8 isoforms display different DNA binding capacities and are thought to be functionally distinct. The gene which encodes Pax-8 maps to human chromosome 2q12-q14.

如果您使用该产品49174发表了文章,请通知我们,让我们可以引用您的文献。

et al,Curcumin induces apoptosis and inhibits the growth of adrenocortical carcinoma: Identification of potential candidate genes and pathways by transcriptome analysis. In Oncol Lett on 2021 Jun by Xuemei Huang, Chunfeng Liang,et al..PMID:33907586 , (2021),
PMID: 33907586

注释

应用

  • WB免疫印迹
  • IHC免疫组化
  • IF免疫荧光
  • ICC免疫细胞化学
  • FC流式细胞
  • IP免疫沉淀
  • E酶联免疫吸附法
  • DB免疫斑点法
  • ChIP染色质免疫沉淀
  • GICA胶体金免疫层析法
  • NC阴性对照

种属反应性

  • Hu
  • Ms小鼠
  • Rt大鼠
  • Dm果蝇
  • C线虫
  • Mk
  • Rb
  • B
  • D
  • P
  • Hm仓鼠
  • ChHm中国仓鼠
  • Chk
;

联系我们

Location :

南京市高新开发区星火路10号人才大厦C座

Phone :

400-9961-933
025-58868422

Email Address

info@sabbiotech.com