免费电话:400-9961-933
邮箱:info@sabbiotech.com
欢迎光临本站
川博智能体 English
位置: 首页 > 重组兔单抗 > PAX6 Rabbit mAb

PAX6 Rabbit mAb#49204

是否有货: Yes
产品详情

产品名称PAX6 Rabbit mAb

克隆号SD08-31

来源种属Recombinant Rabbit

克隆性 Monoclonal antibody

纯化ProA affinity purified

应用WB, ICC/IF, IHC

种属反应性Human;Mouse;Rat

免疫原描述recombinant protein

标记Unconjugated

别名AN 2 antibody
AN antibody
AN2 antibody
Aniridia type II protein antibody
D11S812E antibody
FVH1 antibody
KIAA0552 antibody
Leucine zipper putative tumor suppressor 3 antibody
LZTS3 antibody
MGC17209 antibody
MGDA antibody
Oculorhombin antibody
Paired box 6 antibody
Paired box gene 6 (aniridia keratitis) antibody
Paired Box Gene 6 antibody
Paired box homeotic gene 6 antibody
Paired box protein Pax-6 antibody
Paired box protein Pax6 antibody
PAX 6 antibody
PAX6 antibody
PAX6_HUMAN antibody
ProSAP-interacting protein 1 antibody
PROSAPIP1 antibody
Sey antibody
WAGR antibody

数据库入口号Swiss-Prot#:P26367

Uniprot P26367

计算分子量48 kDa

配方1*TBS (pH7.4), 1%BSA, 40%Glycerol. Preservative: 0.05% Sodium Azide.

保存Store at -20˚C

应用详情
WB: 1:1,000
IHC: 1:50-1:200
ICC: 1:50-1:200

Western blot analysis of PAX6 on Hela cells lysates using anti-PAX6 antibody at 1/1,000 dilution.
Immunohistochemical analysis of paraffin-embedded rat eyeball tissue using anti-PAX6 antibody. Counter stained with hematoxylin.
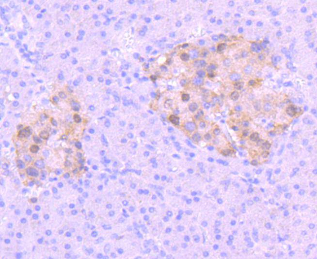
Immunohistochemical analysis of paraffin-embedded human pancreas tissue using anti-PAX6 antibody. Counter stained with hematoxylin.
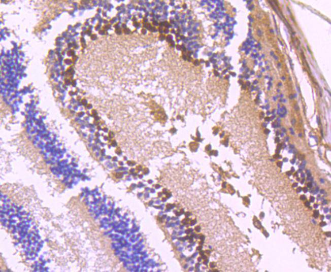
Immunohistochemical analysis of paraffin-embedded mouse eyeball tissue using anti-PAX6 antibody. Counter stained with hematoxylin.
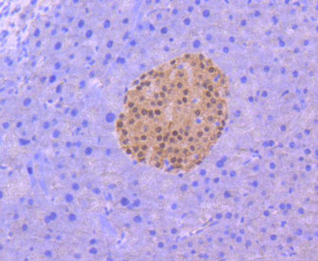
Immunohistochemical analysis of paraffin-embedded mouse pancreas tissue using anti-PAX6 antibody. Counter stained with hematoxylin.
Pax genes contain paired domains with strong homology to genes in Drosophila which are involved in programming early development. Lesions in the Pax-6 gene account for most cases of aniridia, a congenital malformation of the eye, chiefly characterized by iris hypoplasia, which can cause blindness. Pax-6 is involved in other anterior segment malformations besides aniridia, such as Peters anomaly, a major error in the embryonic development of the eye with corneal clouding with variable iridolenticulocorneal adhesions. The Pax-6 gene encodes a transcriptional regulator that recognizes target genes through its paired-type DNA-binding domain. The paired domain is composed of two distinct DNA-binding subdomains, the amino-terminal subdomain and the carboxy-terminal subdomain, which bind respective consensus DNA sequences. The human Pax-6 gene produces two alternatively spliced isoforms that have the distinct structure of the paired domain.

如果您使用该产品49204发表了文章,请通知我们,让我们可以引用您的文献。

注释

应用

  • WB免疫印迹
  • IHC免疫组化
  • IF免疫荧光
  • ICC免疫细胞化学
  • FC流式细胞
  • IP免疫沉淀
  • E酶联免疫吸附法
  • DB免疫斑点法
  • ChIP染色质免疫沉淀
  • GICA胶体金免疫层析法
  • NC阴性对照

种属反应性

  • Hu
  • Ms小鼠
  • Rt大鼠
  • Dm果蝇
  • C线虫
  • Mk
  • Rb
  • B
  • D
  • P
  • Hm仓鼠
  • ChHm中国仓鼠
  • Chk
;

联系我们

Location :

南京市高新开发区星火路10号人才大厦C座

Phone :

400-9961-933
025-58868422

Email Address

info@sabbiotech.com