免费电话:400-9961-933
邮箱:info@sabbiotech.com
欢迎光临本站
川博智能体 English
位置: 首页 > 重组兔单抗 > CD3D Rabbit mAb

CD3D Rabbit mAb #49268

是否有货: Yes
产品详情

产品名称CD3D Rabbit mAb

克隆号JJ08-97

来源种属Recombinant Rabbit

克隆性Monoclonal

纯化Affinity-chromatography

应用WB;IHC;ICC/IF;IP;FC

种属反应性Human

免疫原描述A synthesized peptide derived from human CD3 delta

标记Unconjugated

别名CD3 antigen delta subunit antibody
CD3 delta antibody
CD3d antibody
CD3d antigen delta polypeptide (TiT3 complex) antibody
CD3d molecule delta (CD3-TCR complex) antibody
CD3D_HUMAN antibody
IMD19 antibody
OKT3 delta chain antibody
T cell receptor T3 delta chain antibody
T-cell receptor T3 delta chain antibody
T-cell surface glycoprotein CD3 delta chain antibody
T3D antibody

数据库入口号Swiss-Prot#:P04234

Uniprot P04234

计算分子量19 kDa

配方Rabbit IgG in 10mM phosphate buffered saline , pH 7.4, 150mM sodium chloride, 0.05% BSA, 0.02% sodium azide and 50% glycerol.

保存Store at +4°C for short term. Store at -20°C for long term. Avoid freeze/thaw cycle.

应用详情

WB 1:1000-1:2000
IHC 1:100-1:200
ICC/IF 1:50-1:200
IP 1:20-1:50
FC 1:20-1:100

Flow cytometric analysis of Raji cells with CD3D antibody at 1/50 dilution (red) compared with an unlabelled control (cells without incubation with primary antibody; black). Alexa Fluor 488-conjugated goat anti rabbit IgG was used as the secondary antibody.
All lanes use the Antibody at 1:2K dilution for 1 hour at room temperature.
All lanes use the Antibody at 1:2K dilution for 1 hour at room temperature.
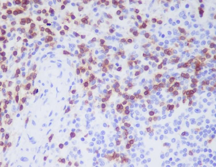
Immunohistochemical analysis of paraffin-embedded human spleen, using CD3D Antibody.
Immunofluorescent analysis using the Antibody at 1:50 dilution.
Immunofluorescent analysis of Jurkat cells, using CD3D Antibody.

Part of the TCR-CD3 complex present on T-lymphocyte cell surface that plays an essential role in adaptive immune response.

如果您使用该产品49268发表了文章,请通知我们,让我们可以引用您的文献。

et al,ScRNA-seq reveals novel immune-suppressive T cells and investigates CMV-TCR-T cells cytotoxicity against GBM. In J Immunother Cancer on 2024 Apr 30 by Xinmiao Long, Zuping Zhang, et al..PMID:38688579 , (2024),
PMID: 38688579
et al,ScRNA-seq reveals novel immunesuppressive T cells and investigates CMV-TCR-T cells cytotoxicity against GBM , (2024),
PMID:

注释

应用

  • WB免疫印迹
  • IHC免疫组化
  • IF免疫荧光
  • ICC免疫细胞化学
  • FC流式细胞
  • IP免疫沉淀
  • E酶联免疫吸附法
  • DB免疫斑点法
  • ChIP染色质免疫沉淀
  • GICA胶体金免疫层析法
  • NC阴性对照

种属反应性

  • Hu
  • Ms小鼠
  • Rt大鼠
  • Dm果蝇
  • C线虫
  • Mk
  • Rb
  • B
  • D
  • P
  • Hm仓鼠
  • ChHm中国仓鼠
  • Chk
;

联系我们

Location :

南京市高新开发区星火路10号人才大厦C座

Phone :

400-9961-933
025-58868422

Email Address

info@sabbiotech.com