免费电话:400-9961-933
邮箱:info@sabbiotech.com
欢迎光临本站
川博智能体 English
位置: 首页 > 重组兔单抗 > Peroxiredoxin 2 Rabbit mAb

Peroxiredoxin 2 Rabbit mAb #49273

是否有货: Yes
产品详情

产品名称Peroxiredoxin 2 Rabbit mAb

克隆号JJ090-3

来源种属Recombinant Rabbit

克隆性 Monoclonal antibody

纯化ProA affinity purified

应用WB, ICC/IF, IHC, FC

种属反应性Human;Mouse;Rat

免疫原描述recombinant protein

标记Unconjugated

别名Epididymis secretory sperm binding protein Li 2a antibody
HEL S 2a antibody
MGC4104 antibody
Natural killer cell enhancing factor B antibody
Natural killer cell-enhancing factor B antibody
Natural Killer Enhancing Factor B antibody
NKEF B antibody
NKEF-B antibody
NKEFB antibody
Peroxiredoxin-2 antibody
PRDX 2 antibody
PRDX2 antibody
PRDX2_HUMAN antibody
PrP antibody
PRX2 antibody
PRXII antibody
PTX1 antibody
TDPX1 antibody
Thiol Specific Antioxidant 1 antibody
Thiol specific antioxidant protein antibody
Thiol-specific antioxidant protein antibody
Thioredoxin Dependent Peroxide Reductase 1 antibody
Thioredoxin peroxidase 1 antibody
Thioredoxin-dependent peroxide reductase 1 antibody
Torin antibody
TPX1 antibody
TSA antibody

数据库入口号Swiss-Prot#:P32119

Uniprot P32119

计算分子量22 kDa

配方1*TBS (pH7.4), 1%BSA, 40%Glycerol. Preservative: 0.05% Sodium Azide.

保存Store at -20˚C

应用详情
WB: 1:1,000-1:2,000
IHC: 1:50-1:200
ICC: 1:100-1:500

FC: 1:10-1:50
Western blot analysis of Peroxiredoxin 2 on different lysates using anti-Peroxiredoxin 2 antibody at 1/1,000 dilution. Positive control:
Lane 1: Hela
Lane 2: HepG2
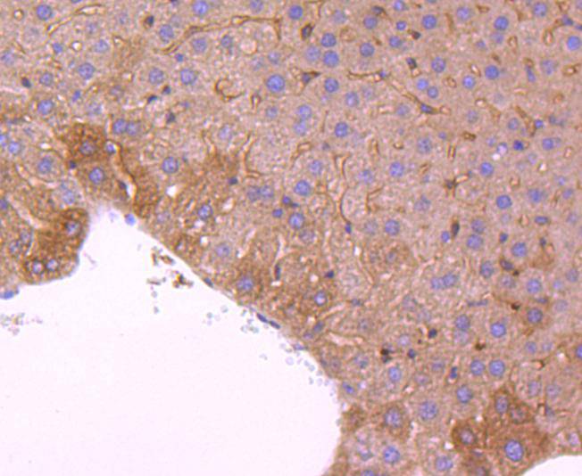
Immunohistochemical analysis of paraffin-embedded human liver tissue using anti-Peroxiredoxin 2 antibody. Counter stained with hematoxylin.
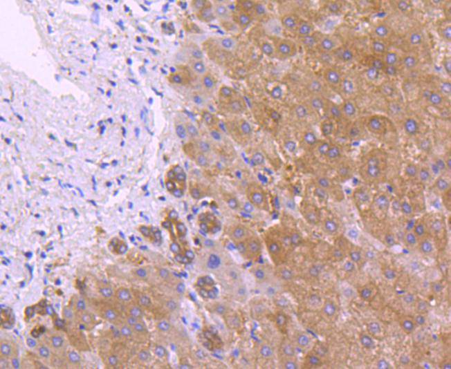
Immunohistochemical analysis of paraffin-embedded mouse liver tissue using anti-Peroxiredoxin 2 antibody. Counter stained with hematoxylin.
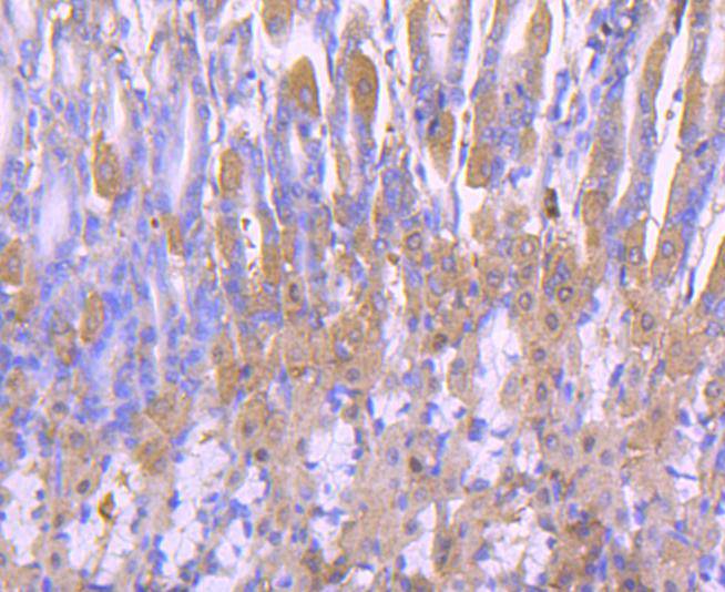
Immunohistochemical analysis of paraffin-embedded mouse stomach tissue using anti-Peroxiredoxin 2 antibody. Counter stained with hematoxylin.
ICC staining Peroxiredoxin 2 in Hela cells (green). The nuclear counter stain is DAPI (blue). Cells were fixed in paraformaldehyde, permeabilised with 0.25% Triton X100/PBS.
ICC staining Peroxiredoxin 2 in HepG2 cells (green). The nuclear counter stain is DAPI (blue). Cells were fixed in paraformaldehyde, permeabilised with 0.25% Triton X100/PBS.
ICC staining Peroxiredoxin 2 in RH-35 cells (green). The nuclear counter stain is DAPI (blue). Cells were fixed in paraformaldehyde, permeabilised with 0.25% Triton X100/PBS.
ICC staining Peroxiredoxin 2 in SW480 cells (green). The nuclear counter stain is DAPI (blue). Cells were fixed in paraformaldehyde, permeabilised with 0.25% Triton X100/PBS.
Flow cytometric analysis of Hela cells with Peroxiredoxin 2 antibody at 1/50 dilution (red) compared with an unlabelled control (cells without incubation with primary antibody; black). Alexa Fluor 488-conjugated goat anti rabbit IgG was used as the secondary antibody.
The peroxiredoxin (PRX) family comprises six antioxidant proteins, PRX I, II, III, IV, V and VI, which protect cells from reactive oxygen species (ROS) by preventing the metal-catalyzed oxidation of enzymes. The PRX proteins primarily utilize thioredoxin as the electron donor for antioxidation, although they are fairly promiscuous with regard to the hydroperoxide substrate. In addition to protection from ROS, peroxiredoxins are also involved in cell proliferation, differentiation and gene expression. PRX I, II, IV and VI show diffuse cytoplasmic localization, while PRX III and V exhibit distinct mitochondrial localization. PRX II is expressed in testis, while PRX III shows expression in lung. PRX I, II and III are overexpressed in breast cancer and may be involved in its development or progression. Upregulated protein levels of PRX I and II in Alzheimer's disease (AD) and Down syndrome (DS) indicate the involvement of PRX I and II in their pathogenesis.

如果您使用该产品49273发表了文章,请通知我们,让我们可以引用您的文献。

et al,Gastrodin Alleviates Angiotensin II-Induced Hypertension and Myocardial Apoptosis via Inhibition of the PRDX2/p53 Pathway In Vivo and In Vitro. In Pharmaceuticals (Basel) on 2024 Sep 12 by Nanhui Xu, Qiurong Xie,et al..PMID:39338362 , (2024),
PMID: 39338362

注释

应用

  • WB免疫印迹
  • IHC免疫组化
  • IF免疫荧光
  • ICC免疫细胞化学
  • FC流式细胞
  • IP免疫沉淀
  • E酶联免疫吸附法
  • DB免疫斑点法
  • ChIP染色质免疫沉淀
  • GICA胶体金免疫层析法
  • NC阴性对照

种属反应性

  • Hu
  • Ms小鼠
  • Rt大鼠
  • Dm果蝇
  • C线虫
  • Mk
  • Rb
  • B
  • D
  • P
  • Hm仓鼠
  • ChHm中国仓鼠
  • Chk
;

联系我们

Location :

南京市高新开发区星火路10号人才大厦C座

Phone :

400-9961-933
025-58868422

Email Address

info@sabbiotech.com