免费电话:400-9961-933
邮箱:info@sabbiotech.com
欢迎光临本站
川博智能体 English
位置: 首页 > 重组兔单抗 > Hsp27 Rabbit mAb

Hsp27 Rabbit mAb #49283

是否有货: Yes
产品详情

产品名称Hsp27 Rabbit mAb

克隆号JJ09-13

来源种属Recombinant Rabbit

克隆性 Monoclonal antibody

纯化ProA affinity purified

应用WB, ICC/IF, IHC, IP, FC

种属反应性Human;Mouse;Rat

免疫原描述recombinant protein

标记Unconjugated

别名Heat shock 27kDa protein antibody
28 kDa heat shock protein antibody
CMT2F antibody
DKFZp586P1322 antibody
epididymis secretory protein Li 102 antibody
Estrogen regulated 24 kDa protein antibody
Estrogen-regulated 24 kDa protein antibody
Heat shock 25kDa protein 1 antibody
Heat shock 27 kDa protein antibody
Heat shock 27kD protein 1 antibody
Heat shock 27kDa protein 1 antibody
Heat shock 28kDa protein 1 antibody
Heat Shock Protein 27 antibody
Heat shock protein beta 1 antibody
Heat shock protein beta-1 antibody
heat shock protein family B (small) member 1 antibody
HEL-S-102 antibody
HMN2B antibody
HS.76067 antibody
Hsp 25 antibody
HSP 27 antibody
Hsp 28 antibody
Hsp B1 antibody
Hsp25 antibody
HSP27 antibody
Hsp28 antibody
HspB1 antibody
HSPB1_HUMAN antibody
SRP27 antibody
Stress responsive protein 27 antibody
Stress-responsive protein 27 antibody

数据库入口号Swiss-Prot#:P04792

Uniprot P04792

计算分子量27 kDa

配方1*TBS (pH7.4), 1%BSA, 40%Glycerol. Preservative: 0.05% Sodium Azide.

保存Store at -20˚C

应用详情
WB: 1:1,000-1:2,000
IHC: 1:50-1:200
ICC: 1:100-1:500

FC: 1:50-1:100
Western blot analysis of Hsp27 on A549 cells lysates using anti-LRP1 antibody at 1/1,000 dilution.
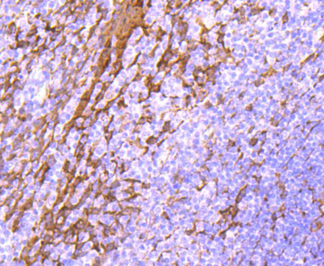
Immunohistochemical analysis of paraffin-embedded human tonsil tissue using anti-Hsp27 antibody. Counter stained with hematoxylin.
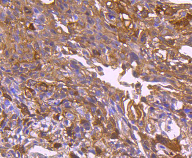
Immunohistochemical analysis of paraffin-embedded human colon cancer tissue using anti-Hsp27 antibody. Counter stained with hematoxylin.
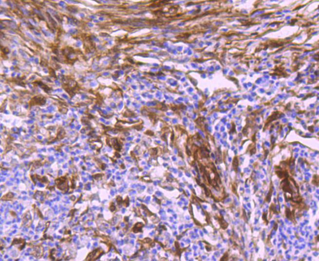
Immunohistochemical analysis of paraffin-embedded human breast carcinoma tissue using anti-Hsp27 antibody. Counter stained with hematoxylin.
ICC staining Hsp27 in Hela cells (green). The nuclear counter stain is DAPI (blue). Cells were fixed in paraformaldehyde, permeabilised with 0.25% Triton X100/PBS.
ICC staining Hsp27 in HepG2 cells (green). The nuclear counter stain is DAPI (blue). Cells were fixed in paraformaldehyde, permeabilised with 0.25% Triton X100/PBS.
Flow cytometric analysis of Hela cells with Hsp27 antibody at 1/50 dilution (red) compared with an unlabelled control (cells without incubation with primary antibody; black). Alexa Fluor 488-conjugated goat anti rabbit IgG was used as the secondary antibody.
The heat shock proteins (HSPs) comprise a group of highly conserved, abundantly expressed proteins with diverse functions, including the assembly and sequestering of multiprotein complexes, transportation of nascent poly-peptide chains across cellular membranes and regulation of protein folding. Heat shock proteins (also known as molecular chaperones) fall into six general families: HSP 90, HSP 70, HSP 60, the low molecular weight HSPs, the immunophilins and the HSP 110 family. The low molecular weight family includes HSP 10, HSP 20, HSP 27, HSP 32 and HSP 40. HSP 27 is a constitutively expressed cytoplasmic protein that co-localizes to the nucleus upon stress induced by insult. Heat, cytokines and hormones are among the factors that stimulate the synthesis of HSP 27. In vitro, HSP 27 becomes highly phosphorylated following exposure to stress. The discovery that HSP 27 is regulated by hormones such as estrogen has led to studies establishing a relationship between HSP 27 and breast cancer.

如果您使用该产品49283发表了文章,请通知我们,让我们可以引用您的文献。

et al,Tumor cell-released autophagosomes (TRAPs) induce PD-L1-decorated NETs that suppress T-cell function to promote breast cancer pulmonary metastasis. In J Immunother Cancer on 2024 Jun 26 by Xiaohe Zhou, Chengdong Wu,et al..PMID:38926151 , (2024),
PMID: 38926151

注释

应用

  • WB免疫印迹
  • IHC免疫组化
  • IF免疫荧光
  • ICC免疫细胞化学
  • FC流式细胞
  • IP免疫沉淀
  • E酶联免疫吸附法
  • DB免疫斑点法
  • ChIP染色质免疫沉淀
  • GICA胶体金免疫层析法
  • NC阴性对照

种属反应性

  • Hu
  • Ms小鼠
  • Rt大鼠
  • Dm果蝇
  • C线虫
  • Mk
  • Rb
  • B
  • D
  • P
  • Hm仓鼠
  • ChHm中国仓鼠
  • Chk
;

联系我们

Location :

南京市高新开发区星火路10号人才大厦C座

Phone :

400-9961-933
025-58868422

Email Address

info@sabbiotech.com