免费电话:400-9961-933
邮箱:info@sabbiotech.com
欢迎光临本站
川博智能体 English
位置: 首页 > 重组兔单抗 > E2F1 Rabbit mAb

E2F1 Rabbit mAb #49286

是否有货: Yes
产品详情

产品名称E2F1 Rabbit mAb

克隆号JJ092-02

来源种属Recombinant Rabbit

克隆性Monoclonal antibody

纯化Affinity-chromatography

应用WB, ICC/IF, IHC, IP, FC

种属反应性Human;Mouse;Rat

免疫原描述A synthesized peptide derived from human E2F1

标记Unconjugated

别名Dmel\CG6376 antibody
Dmel_CG6376 antibody
drosE2F1 antibody
E(Sev-CycE)3A antibody
E(var)3-93E antibody
E2-promoter binding facto antibody
E2F 1 antibody
E2F transcription factor 1 antibody
E2F-1 antibody
E2f-PA antibody
E2f-PB antibody
E2f-PC antibody
E2F1 antibody
E2f1 E2F transcription factor 1 antibody
E2F1_HUMAN antibody
Evar(3)164 antibody
KIAA4009 antibody
l(3)07172 antibody
l(3)j3B1 antibody
l(3)j3C2 antibody
l(3)rM729 antibody
mKIAA4009 antibody
OTTHUMP00000030661 antibody
PBR3 antibody
PRB binding protein E2F 1 antibody
PRB-binding protein E2F-1 antibody
RBAP 1 antibody
RBAP-1 antibody
RBAP1 antibody
RBBP-3 antibody
RBBP3 antibody
RBP 3 antibody
RBP3 antibody
Retinoblastoma-associated protein 1 antibody
Retinoblastoma-binding protein 3 antibody
Transcription factor E2F1 antibody

数据库入口号Swiss-Prot#:Q01094

Uniprot Q01094

计算分子量65 kDa

配方Rabbit IgG in 10mM phosphate buffered saline , pH 7.4, 150mM sodium chloride, 0.05% BSA, 0.02% sodium azide and 50% glycerol.

保存Store at -20˚C

应用详情
WB 1:1000-1:2000;
IHC 1:100-1:200;
ICC/IF 1:50-1:200;
IP 1:20-1:50;
FC 1:20-1:100
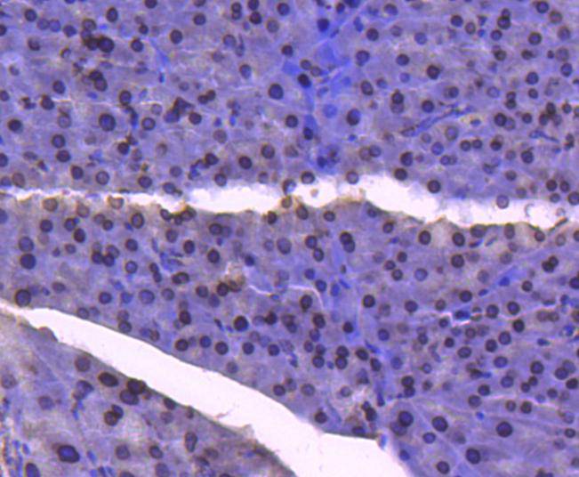
Immunohistochemical analysis of paraffin-embedded mouse pancreas tissue using anti-E2F1 antibody. Counter stained with hematoxylin.
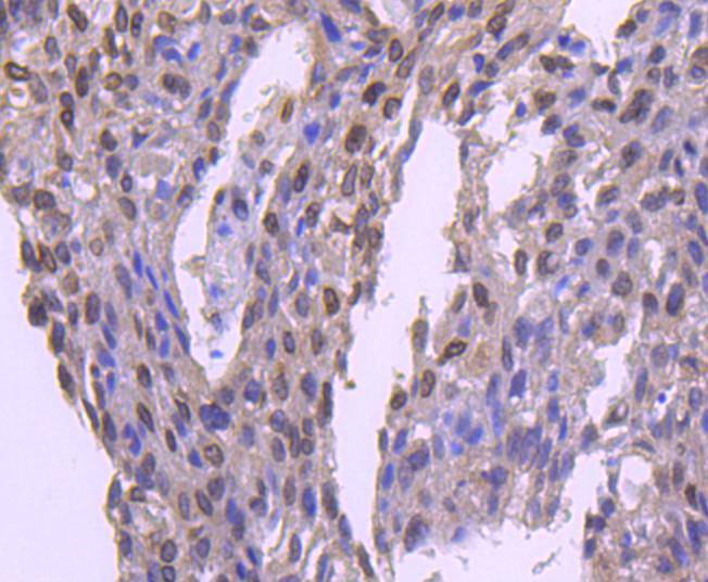
Immunohistochemical analysis of paraffin-embedded human breast carcinoma tissue using anti-E2F1 antibody. Counter stained with hematoxylin.
ICC staining E2F1 in Hela cells (green). The nuclear counter stain is DAPI (blue). Cells were fixed in paraformaldehyde, permeabilised with 0.25% Triton X100/PBS.
ICC staining E2F1 in MCF-7 cells (green). The nuclear counter stain is DAPI (blue). Cells were fixed in paraformaldehyde, permeabilised with 0.25% Triton X100/PBS.
ICC staining E2F1 in HepG2 cells (green). The nuclear counter stain is DAPI (blue). Cells were fixed in paraformaldehyde, permeabilised with 0.25% Triton X100/PBS.
Flow cytometric analysis of Hela cells with E2F1 antibody at 1/50 dilution (red) compared with an unlabelled control (cells without incubation with primary antibody; black). Alexa Fluor 488-conjugated goat anti rabbit IgG was used as the secondary antibody.
All lanes use the Antibody at 1:1K dilution for 1 hour at room temperature.
All lanes use the Antibody at 1:1K dilution for 1 hour at room temperature.
The human retinoblastoma gene product appears to play an important role in the negative regulation of cell proliferation. Functional inactivation of Rb can be mediated either through mutation or as a consequence of interaction with DNA tumor virus-encoded proteins. Of all the Rb associations described to date, the identification of a complex between Rb and the transcription factor E2F most directly implicates Rb in regulation of cell proliferation. E2F was originally identified through its role in transcriptional activation of the adenovirus E2 promoter. Sequences homologous to the E2F binding site have been found upstream of a number of genes that encode proteins with putative functions in the G1 and S phases of the cell cycle. E2F-1 is a member of a broader family of transcription regulators including E2F-2, E2F-3, E2F-4, E2F-5, E2F-6 and E2F-7 each of which forms heterodimers with a second protein, DP-1, forming an "active" E2F transcriptional regulatory complex.

如果您使用该产品49286发表了文章,请通知我们,让我们可以引用您的文献。

et al,The ATPase Pontin is a key cell cycle regulator by amplifying E2F1 transcription response in glioma , (2021),
PMID: 33542204

注释

应用

  • WB免疫印迹
  • IHC免疫组化
  • IF免疫荧光
  • ICC免疫细胞化学
  • FC流式细胞
  • IP免疫沉淀
  • E酶联免疫吸附法
  • DB免疫斑点法
  • ChIP染色质免疫沉淀
  • GICA胶体金免疫层析法
  • NC阴性对照

种属反应性

  • Hu
  • Ms小鼠
  • Rt大鼠
  • Dm果蝇
  • C线虫
  • Mk
  • Rb
  • B
  • D
  • P
  • Hm仓鼠
  • ChHm中国仓鼠
  • Chk
;

联系我们

Location :

南京市高新开发区星火路10号人才大厦C座

Phone :

400-9961-933
025-58868422

Email Address

info@sabbiotech.com