免费电话:400-9961-933
邮箱:info@sabbiotech.com
欢迎光临本站
川博智能体 English
位置: 首页 > 重组兔单抗 > eIF4EBP1 Rabbit mAb

eIF4EBP1 Rabbit mAb #49297

是否有货: Yes
产品详情

产品名称eIF4EBP1 Rabbit mAb

克隆号JJ09-25

来源种属Recombinant Rabbit

克隆性Monoclonal antibody

纯化ProA affinity purified

应用WB, ICC/IF, IHC, IP, FC

种属反应性Human;Mouse;Rat

免疫原描述recombinant protein

标记Unconjugated

别名4E-BP1 antibody
4EBP1 antibody
4EBP1_HUMAN antibody
BP 1 antibody
eIF4E binding protein 1 antibody
eIF4E-binding protein 1 antibody
Eif4ebp1 antibody
Eukaryotic translation initiation factor 4E-binding protein 1 antibody
PHAS-I antibody
PHASI antibody
Phosphorylated heat- and acid-stable protein regulated by insulin 1 antibody

数据库入口号Swiss-Prot#:Q13541

Uniprot Q13541

计算分子量13 kDa

实际分子量17 kDa

配方1*TBS (pH7.4), 1%BSA, 40%Glycerol. Preservative: 0.05% Sodium Azide.

保存Store at -20˚C

应用详情
WB: 1:1,000-1:2,000
IHC: 1:50-1:200
ICC: 1:50-1:200

FC: 1:50-1:100
Western blot analysis of eIF4EBP1 on different lysates using anti-eIF4EBP1 antibody at 1/1,000 dilution. Positive control:
Lane 1: K562
Lane 2: HepG2
Lane 3: 293
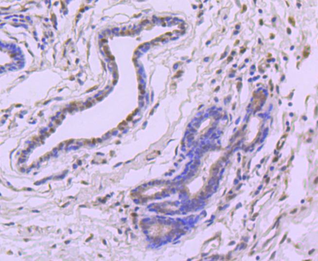
Immunohistochemical analysis of paraffin-embedded human colon cancer tissue using anti-eIF4EBP1 antibody. Counter stained with hematoxylin.
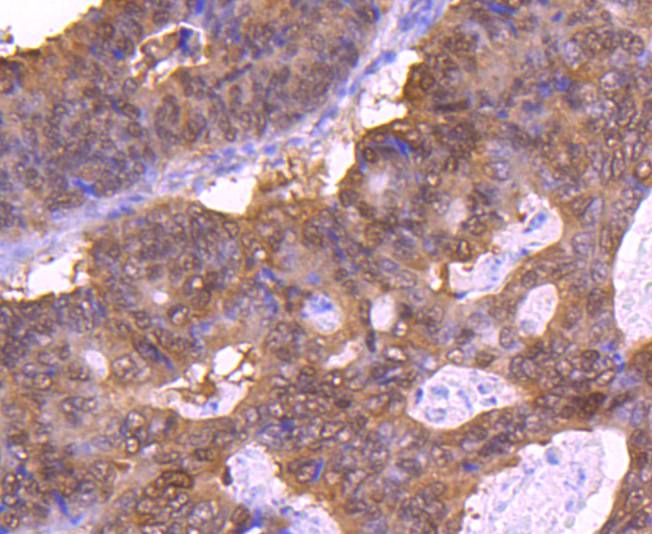
Immunohistochemical analysis of paraffin-embedded human breast carcinoma tissue using anti-eIF4EBP1 antibody. Counter stained with hematoxylin.
ICC staining eIF4EBP1 in Hela cells (green). The nuclear counter stain is DAPI (blue). Cells were fixed in paraformaldehyde, permeabilised with 0.25% Triton X100/PBS.
ICC staining eIF4EBP1 in MCF-7 cells (green). The nuclear counter stain is DAPI (blue). Cells were fixed in paraformaldehyde, permeabilised with 0.25% Triton X100/PBS.
Flow cytometric analysis of NIH/3T3 cells with eIF4EBP1 antibody at 1/50 dilution (red) compared with an unlabelled control (cells without incubation with primary antibody; black). Alexa Fluor 488-conjugated goat anti rabbit IgG was used as the secondary antibody
All lanes : eIF4EBP1 Rabbit mAb at 1/1k dilution
Lane 1 : JK cell lysate
Lane 2 : C6 cell lysate
Lane 3 : 3T3 cell lysate
Lane 4 : 293 cell lysate
Lysates/proteins at 20 µg per lane.
Predicted band size: 13kDa
Observed band size: 17kDa
All lanes : eIF4EBP1 Rabbit mAb at 1/1k dilution
Lane 1 : Wild-type HAP1 cell lysate
Lane 2 : eIF4EBP1 knockout HAP1 cell lysate
Lysates/proteins at 20 µg per lane.
The translation of proteins from eukaryotic mRNA is initiated by the multisubunit complex eIF-4F, which associates with the mRNA 5' cap structure. eIF-4E, a component of eIF-4F, is responsible for binding to the 5' cap structure and for the assembly of the eIF-4F complex. The regulatory protein 4E-BP1, also referred to as PHAS-I, inhibits eIF-4E function. Phosphorylation of 4E-BP1 by S6 kinase p70, MAP kinases or PKCs causes the disassociation of 4E-BP1 from eIF-4E, promoting translation. A protein that is functionally related to 4E-BP1, designated 4E-BP2, also associates with eIF-4E.

如果您使用该产品49297发表了文章,请通知我们,让我们可以引用您的文献。

et al,Exploration of the lactation function of protein phosphorylation sites in goat mammary tissues by phosphoproteome analysis , (2021),
PMID: 34583635

注释

应用

  • WB免疫印迹
  • IHC免疫组化
  • IF免疫荧光
  • ICC免疫细胞化学
  • FC流式细胞
  • IP免疫沉淀
  • E酶联免疫吸附法
  • DB免疫斑点法
  • ChIP染色质免疫沉淀
  • GICA胶体金免疫层析法
  • NC阴性对照

种属反应性

  • Hu
  • Ms小鼠
  • Rt大鼠
  • Dm果蝇
  • C线虫
  • Mk
  • Rb
  • B
  • D
  • P
  • Hm仓鼠
  • ChHm中国仓鼠
  • Chk
;

联系我们

Location :

南京市高新开发区星火路10号人才大厦C座

Phone :

400-9961-933
025-58868422

Email Address

info@sabbiotech.com