免费电话:400-9961-933
邮箱:info@sabbiotech.com
欢迎光临本站
川博智能体 English
位置: 首页 > 重组兔单抗 > Transferrin Receptor (CD71) Rabbit mAb

Transferrin Receptor (CD71) Rabbit mAb #49320

是否有货: Yes
产品详情

产品名称Transferrin Receptor (CD71) Rabbit mAb

克隆号JF0956

来源种属Recombinant Rabbit

克隆性 Monoclonal antibody

纯化ProA affinity purified

应用WB, IHC, IP, FC

种属反应性Human;Mouse;Rat

免疫原描述recombinant protein

标记Unconjugated

别名CD 71 antibody
CD71 antibody
CD71 antigen antibody
IMD46 antibody
OTTHUMP00000208523 antibody
OTTHUMP00000208524 antibody
OTTHUMP00000208525 antibody
p90 antibody
sTfR antibody
T9 antibody
TFR 1 antibody
TfR antibody
TfR1 antibody
TFR1_HUMAN antibody
TFRC antibody
TR antibody
Transferrin receptor (p90 CD71) antibody
Transferrin receptor protein 1, serum form antibody
Trfr antibody

数据库入口号Swiss-Prot#:P02786

Uniprot P02786

计算分子量85 kDa

配方1*TBS (pH7.4), 1%BSA, 40%Glycerol. Preservative: 0.05% Sodium Azide.

保存Store at -20˚C

应用详情
WB: 1:1,000-1:2,000
IHC: 1:50-1:200


FC: 1:50-1:100
Western blot analysis of Transferrin Receptor on mouse placenta lysates using anti-Transferrin Receptor antibody at 1/1,000 dilution.
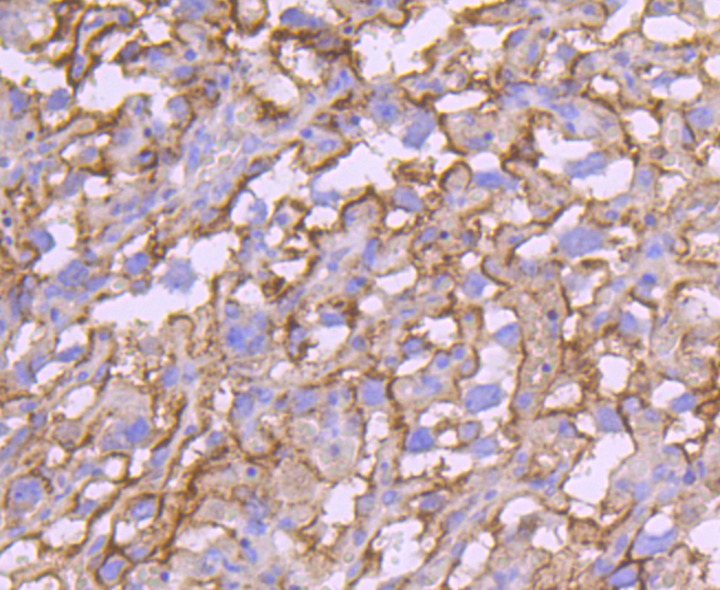
Immunohistochemical analysis of paraffin-embedded rat brain tissue using anti-Transferrin Receptor antibody. Counter stained with hematoxylin.
Immunohistochemical analysis of paraffin-embedded human lung cancer tissue using anti-Transferrin Receptor antibody. Counter stained with hematoxylin.
Immunohistochemical analysis of paraffin-embedded mouse brain tissue using anti-Transferrin Receptor antibody. Counter stained with hematoxylin.
Immunohistochemical analysis of paraffin-embedded mouse placenta tissue using anti-Transferrin Receptor antibody. Counter stained with hematoxylin.
Flow cytometric analysis of Hela cells with Transferrin Receptor antibody at 1/50 dilution (red) compared with an unlabelled control (cells without incubation with primary antibody; black). Alexa Fluor 488-conjugated goat anti rabbit IgG was used as the secondary antibody
CD71, also known as the transferrin receptor (TFR), is a type II membrane glycoprotein that exists as a disulfide-linked homodimer of two identical subunits. CD71 binds to two molecules of transferrin and a serum iron-transport protein, and directs the cellular uptake of iron via receptor-mediated endocytosis. CD71 is expressed, typically at high levels, on all proliferating cells, reticulocytes and erythroid precursors. It is not expressed on resting leukocytes, but is upregulated upon activation of lymphocytes, monocytes and macrophages. CD71 is also found on most dividing cells and on brain endothelium. A second transferrin receptor, TFR2, also mediates the uptake of transferrin-bound iron. TFR2 is a two-subunit homodimer and is highly expressed in liver as well as in hepatocytes and erythroid precursors. Mutations in the TFR2 gene result in hereditary hemochromatosis type III (HFE3), an iron overloading disorder predominant in Caucasians.

如果您使用该产品49320发表了文章,请通知我们,让我们可以引用您的文献。

et al,Ditan Decoction ameliorates vascular dementia-induced cognitive dysfunction through anti-ferroptosis via the HIF1α pathway: Integrating network pharmacology and experimental validation. , (2025),
PMID: 39978449

注释

应用

  • WB免疫印迹
  • IHC免疫组化
  • IF免疫荧光
  • ICC免疫细胞化学
  • FC流式细胞
  • IP免疫沉淀
  • E酶联免疫吸附法
  • DB免疫斑点法
  • ChIP染色质免疫沉淀
  • GICA胶体金免疫层析法
  • NC阴性对照

种属反应性

  • Hu
  • Ms小鼠
  • Rt大鼠
  • Dm果蝇
  • C线虫
  • Mk
  • Rb
  • B
  • D
  • P
  • Hm仓鼠
  • ChHm中国仓鼠
  • Chk
;

联系我们

Location :

南京市高新开发区星火路10号人才大厦C座

Phone :

400-9961-933
025-58868422

Email Address

info@sabbiotech.com