免费电话:400-9961-933
邮箱:info@sabbiotech.com
欢迎光临本站
川博智能体 English
位置: 首页 > 重组兔单抗 > MMP13 Rabbit mAb

MMP13 Rabbit mAb #49328

是否有货: Yes
产品详情

产品名称MMP13 Rabbit mAb

克隆号JF0893

来源种属Recombinant Rabbit

克隆性Monoclonal

纯化ProA affinity purified

应用WB, ICC/IF, IHC, FC

种属反应性Human

免疫原描述recombinant protein

标记Unconjugated

别名CLG 3 antibody
CLG3 antibody
Collagenase 3 antibody
Collagenase3 antibody
MANDP1 antibody
Matrix metallopeptidase 13 (collagenase 3) antibody
Matrix Metalloproteinase 13 antibody
Matrix metalloproteinase-13 antibody
MMP 13 antibody
MMP-13 antibody
Mmp13 antibody
MMP13_HUMAN antibody

数据库入口号Swiss-Prot#:P45452

Uniprot P45452

计算分子量54 kDa

配方1*TBS (pH7.4), 1%BSA, 40%Glycerol. Preservative: 0.05% Sodium Azide.

保存Store at -20˚C

应用详情

WB: 1:1,000
IHC: 1:50-1:200
ICC: 1:100-1:500

FC: 1:50-1:100

Western blot analysis of MMP13 on MCF-7 cells lysates using anti-MMP13 antibody at 1/1,000 dilution.
Immunohistochemical analysis of paraffin-embedded human lung cancer tissue using anti-MMP13 antibody. Counter stained with hematoxylin.
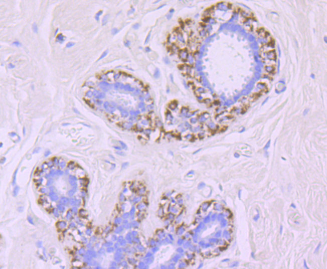
Immunohistochemical analysis of paraffin-embedded human breast tissue using anti-MMP13 antibody. Counter stained with hematoxylin.
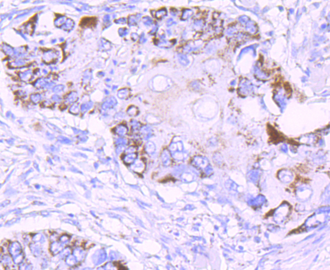
Immunohistochemical analysis of paraffin-embedded human breast carcinoma tissue using anti-MMP13 antibody. Counter stained with hematoxylin.
ICC staining MMP13 in Hela cells (red). The nuclear counter stain is DAPI (blue). Cells were fixed in paraformaldehyde, permeabilised with 0.25% Triton X100/PBS.
ICC staining MMP13 in MCF-7 cells (red). The nuclear counter stain is DAPI (blue). Cells were fixed in paraformaldehyde, permeabilised with 0.25% Triton X100/PBS.
ICC staining MMP13 in SW480 cells (red). The nuclear counter stain is DAPI (blue). Cells were fixed in paraformaldehyde, permeabilised with 0.25% Triton X100/PBS.
Flow cytometric analysis of Hela cells with MMP13 antibody at 1/50 dilution (red) compared with an unlabelled control (cells without incubation with primary antibody; black). Alexa Fluor 488-conjugated goat anti rabbit IgG was used as the secondary antibody.

The matrix metalloproteinases (MMP) are a family of peptidase enzymes responsible for the degradation of extracellular matrix components, including collagen, gelatin, fibronectin, laminin and proteoglycan. Transcription of MMP genes is differentially activated by phorbol ester, lipopolysaccharide (LPS) or staphylococcal enterotoxin B (SEB). MMP catalysis requires both calcium and zinc. MMP-13 (also designated collagenase-3) is produced by breast carcinomas and degrades collagen types I, II and III. MMP-13 has wide substrate specificity, and its physiologic expression is limited to situations in which rapid and effective remodeling of collagenous ECM takes place, such as fetal bone development and adult bone remodeling.

如果您使用该产品49328发表了文章,请通知我们,让我们可以引用您的文献。

et al,Circ0007042 alleviates intervertebral disc degeneration by adsorbing miR-369 to upregulate BMP2 and activate the PI3K/AKt pathway. In Arthritis Res Ther on 2022 Sep 6 by Zhenyu Wang, Yuguang Zhao, et al..PMID: 36068615 , (2022),
PMID: 36068615
et al,β-Hydroxybutyrate alleviates cartilage senescence through hnRNP A1-mediated up-regulation of PTEN In Exp GerontolOn2023 MaybyGuang Xia , Zi Wen et al..PMID:36921676 , (2023),
PMID: 36921676
et al,Polyethylene microplastics transported to nucleus pulposus cells via macrophages-derived exosomes, and promote intervertebral disc degeneration through … , (2025),
PMID: 41175705

注释

应用

  • WB免疫印迹
  • IHC免疫组化
  • IF免疫荧光
  • ICC免疫细胞化学
  • FC流式细胞
  • IP免疫沉淀
  • E酶联免疫吸附法
  • DB免疫斑点法
  • ChIP染色质免疫沉淀
  • GICA胶体金免疫层析法
  • NC阴性对照

种属反应性

  • Hu
  • Ms小鼠
  • Rt大鼠
  • Dm果蝇
  • C线虫
  • Mk
  • Rb
  • B
  • D
  • P
  • Hm仓鼠
  • ChHm中国仓鼠
  • Chk
;

联系我们

Location :

南京市高新开发区星火路10号人才大厦C座

Phone :

400-9961-933
025-58868422

Email Address

info@sabbiotech.com