免费电话:400-9961-933
邮箱:info@sabbiotech.com
欢迎光临本站
川博智能体 English
位置: 首页 > 重组兔单抗 > Cardiac Troponin I Rabbit mAb

Cardiac Troponin I Rabbit mAb#49351

是否有货: Yes
产品详情

产品名称Cardiac Troponin I Rabbit mAb

克隆号JF0550

来源种属Recombinant Rabbit

克隆性 Monoclonal antibody

纯化ProA affinity purified

应用WB, ICC/IF, IHC, IP

种属反应性Human;Mouse

免疫原描述recombinant protein

标记Unconjugated

别名cardiac muscle antibody
Cardiac troponin I antibody
cardiomyopathy, dilated 2A (autosomal recessive) antibody
Cardiomyopathy, familial hypertrophic, 7, included antibody
CMD1FF antibody
CMD2A antibody
CMH7 antibody
cTnI antibody
Familial hypertrophic cardiomyopathy 7 antibody
MGC116817 antibody
RCM1 antibody
Tn1 antibody
Tni antibody
TNN I3 antibody
TNNC 1 antibody
TNNC1 antibody
TNNI3 antibody
TNNI3_HUMAN antibody
Troponin I antibody
Troponin I cardiac antibody
Troponin I cardiac muscle antibody
Troponin I cardiac muscle isoform antibody
Troponin I type 3 cardiac antibody
troponin I, cardiac 3 antibody
TroponinI antibody
Ttroponin I type 3 (cardiac) antibody

数据库入口号Swiss-Prot#:P19429

Uniprot P19429

计算分子量24 kDa

配方1*TBS (pH7.4), 1%BSA, 40%Glycerol. Preservative: 0.05% Sodium Azide.

保存Store at -20˚C

应用详情
WB: 1:1,000-5,000
IHC: 1:50-1:200
ICC: 1:50-1:200

Western blot analysis of Troponin I on human heart lysates using anti-Troponin I antibody at 1/1,000 dilution.
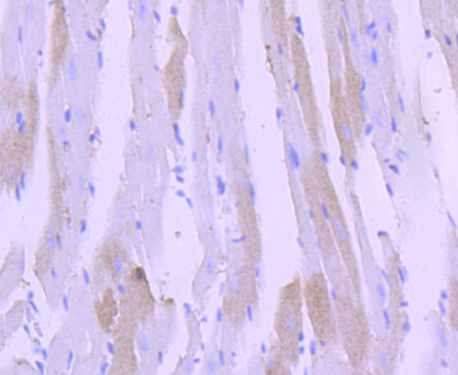
Immunohistochemical analysis of paraffin-embedded human heart tissue using anti-Troponin I antibody. Counter stained with hematoxylin.
ICC staining Troponin I in HepG2 cells (red). The nuclear counter stain is DAPI (blue). Cells were fixed in paraformaldehyde, permeabilised with 0.25% Triton X100/PBS.
ICC staining Troponin I in NIH/3T3 cells (red). The nuclear counter stain is DAPI (blue). Cells were fixed in paraformaldehyde, permeabilised with 0.25% Triton X100/PBS.
Actin is a highly conserved protein that is expressed in all eukaryotic cells. Actin filaments can form both stable and labile structures and are crucial components of microvilli and the contractile apparatus of muscle cells. Myosin is a hexamer composed of two heavy chains (MHC) and four light chains (MLC); it interacts with Actin to generate the force for diverse cellular movements, including cytokinesis, phagocytosis and muscle contraction. Troponin facilitates the interaction between Actin and Myosin by binding to calcium. Troponin comprises at least two subunits, which are divergent in cardiac muscle, fast skeletal muscle and slow skeletal muscle. Structures of skeletal muscle troponin are composed of Troponin C (the sensor), Troponin I (the regulator) and Troponin T (the link to the muscle thin filament). Troponin C is dumbbell-shaped and has a hydrophobic pocket that increases the contractile force of muscle fibers. Troponin C has two isoforms: fast and slow. Fast Troponin C has two calcium binding sites while slow/cardiac Troponin C has a single calcium binding site.

如果您使用该产品49351发表了文章,请通知我们,让我们可以引用您的文献。

注释

应用

  • WB免疫印迹
  • IHC免疫组化
  • IF免疫荧光
  • ICC免疫细胞化学
  • FC流式细胞
  • IP免疫沉淀
  • E酶联免疫吸附法
  • DB免疫斑点法
  • ChIP染色质免疫沉淀
  • GICA胶体金免疫层析法
  • NC阴性对照

种属反应性

  • Hu
  • Ms小鼠
  • Rt大鼠
  • Dm果蝇
  • C线虫
  • Mk
  • Rb
  • B
  • D
  • P
  • Hm仓鼠
  • ChHm中国仓鼠
  • Chk
;

联系我们

Location :

南京市高新开发区星火路10号人才大厦C座

Phone :

400-9961-933
025-58868422

Email Address

info@sabbiotech.com