免费电话:400-9961-933
邮箱:info@sabbiotech.com
欢迎光临本站
川博智能体 English
位置: 首页 > 重组兔单抗 > Bcl-2 Rabbit mAb

Bcl-2 Rabbit mAb #49367

是否有货: Yes
产品详情

产品名称Bcl-2 Rabbit mAb

克隆号JF104-8

来源种属Recombinant Rabbit

克隆性 Monoclonal antibody

纯化ProA affinity purified

应用WB, ICC/IF, IHC, FC

种属反应性Human;Mouse

免疫原描述recombinant protein

标记Unconjugated

别名Apoptosis regulator Bcl 2 antibody
Apoptosis regulator Bcl-2 antibody
Apoptosis regulator Bcl2 antibody
AW986256 antibody
B cell CLL/lymphoma 2 antibody
B cell leukemia/lymphoma 2 antibody
Bcl-2 antibody
Bcl2 antibody
BCL2_HUMAN antibody
C430015F12Rik antibody
D630044D05Rik antibody
D830018M01Rik antibody
Leukemia/lymphoma, B-cell, 2 antibody
Oncogene B-cell leukemia 2 antibody
PPP1R50 antibody
Protein phosphatase 1, regulatory subunit 50 antibody

数据库入口号Swiss-Prot#:P10415

Uniprot P10415

计算分子量26/22 kDa

配方1*TBS (pH7.4), 1%BSA, 40%Glycerol. Preservative: 0.05% Sodium Azide.

保存Store at -20˚C

应用详情
WB: 1:1,000-1:2,000
IHC: 1:50-1:200
ICC: 1:50-1:200

FC: 1:50-1:100
Western blot analysis of Bcl-2 on different lysates using anti-Bcl-2 antibody at 1/1,000 dilution. Positive control:
Lane 1: Hela
Lane 2: Jurkat
Lane 3: MCF-7
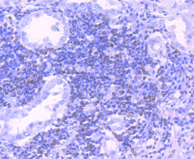
Immunohistochemical analysis of paraffin-embedded human tonsil tissue using anti-Bcl-2 antibody. Counter stained with hematoxylin.
Immunohistochemical analysis of paraffin-embedded human colon cancer tissue using anti-Bcl-2 antibody. Counter stained with hematoxylin.
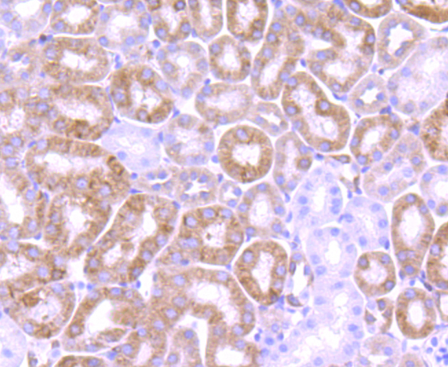
Immunohistochemical analysis of paraffin-embedded mouse kidney tissue using anti-Bcl-2 antibody. Counter stained with hematoxylin.
Immunohistochemical analysis of paraffin-embedded human lung cancer tissue using anti-Bcl-2 antibody. Counter stained with hematoxylin.
ICC staining Bcl-2 in Hela cells (red). The nuclear counter stain is DAPI (blue). Cells were fixed in paraformaldehyde, permeabilised with 0.25% Triton X100/PBS.
ICC staining Bcl-2 in A549 cells (red). The nuclear counter stain is DAPI (blue). Cells were fixed in paraformaldehyde, permeabilised with 0.25% Triton X100/PBS.
Flow cytometric analysis of Jurkat cells with Bcl-2 antibody at 1/50 dilution (red) compared with an unlabelled control (cells without incubation with primary antibody; black). Alexa Fluor 488-conjugated goat anti rabbit IgG was used as the secondary antibody.
Bcl-2 is one among many key regulators of apoptosis, which are essential for proper development, tissue homeostasis, and protection against foreign pathogens. Human Bcl-2 is an anti-apoptotic, membrane-associated oncoprotein that can promote cell survival through protein-protein interactions with other Bcl-2 related family members, such as the death suppressors Bcl-xL, Mcl-1, Bcl-w, and A1 or the death agonists Bax, Bak, Bik, Bad, and Bid. The anti-apoptotic function of Bcl-2 can also be regulated through proteolytic processing and phospho-rylation. Bcl-2 may promote cell survival by interfering with the activation of the cytochrome c/Apaf-1 pathway through stabilization of the mitochondrial membrane. Mutations in the Bcl-2 gene can contribute to cancers where normal physiological cell death mechanisms are compromised by deregulation of the anti-apoptotic influence of Bcl-2.

如果您使用该产品49367发表了文章,请通知我们,让我们可以引用您的文献。

et al,LncRNA SERPINB9P1 Mitigates Cerebral Injury Induced by Oxygen‒Glucose Deprivation/Reoxygenation by Interacting with HSPA2. , (2025),
PMID: 39798045

注释

应用

  • WB免疫印迹
  • IHC免疫组化
  • IF免疫荧光
  • ICC免疫细胞化学
  • FC流式细胞
  • IP免疫沉淀
  • E酶联免疫吸附法
  • DB免疫斑点法
  • ChIP染色质免疫沉淀
  • GICA胶体金免疫层析法
  • NC阴性对照

种属反应性

  • Hu
  • Ms小鼠
  • Rt大鼠
  • Dm果蝇
  • C线虫
  • Mk
  • Rb
  • B
  • D
  • P
  • Hm仓鼠
  • ChHm中国仓鼠
  • Chk
;

联系我们

Location :

南京市高新开发区星火路10号人才大厦C座

Phone :

400-9961-933
025-58868422

Email Address

info@sabbiotech.com