免费电话:400-9961-933
邮箱:info@sabbiotech.com
欢迎光临本站
川博智能体 English
位置: 首页 > 重组兔单抗 > Ctip2 Rabbit mAb

Ctip2 Rabbit mAb#49390

是否有货: Yes
产品详情

产品名称Ctip2 Rabbit mAb

克隆号JF09-90

来源种属Recombinant Rabbit

克隆性 Monoclonal antibody

纯化ProA affinity purified

应用WB, ICC, IHC, FC

种属反应性Human

免疫原描述recombinant protein

标记Unconjugated

别名ATL1 alpha antibody
ATL1 antibody
ATL1 beta antibody
ATL1 gamma antibody
ATL1-delta antibody
B cell CLL/lymphoma 11B/T cell receptor delta constant region fusion protein antibody
B cell lymphoma/leukemia 11B antibody
B-cell CLL/lymphoma 11B (zinc finger protein) antibody
B-cell CLL/lymphoma 11B antibody
B-cell lymphoma/leukemia 11B antibody
BC11B_HUMAN antibody
BCL-11B antibody
Bcl11b antibody
BCL11B/TRDC fusion antibody
COUP TF interacting protein 2 antibody
COUP-TF interacting protein 2 antibody
COUP-TF-interacting protein 2 antibody
Ctip 2 antibody
CTIP-2 antibody
CTIP2 antibody
hRIT1 alpha antibody
hRit1 antibody
Radiation induced tumor suppressor gene 1 antibody
Radiation induced tumor suppressor gene 1 protein antibody
Radiation-induced tumor suppressor gene 1 protein antibody
Rit 1 antibody
Rit1 antibody
zinc finger protein hRit1 alpha antibody
ZNF856B antibody

数据库入口号Swiss-Prot#:Q9C0K0

Uniprot Q9C0K0

计算分子量100/110kDa

配方1*TBS (pH7.4), 1%BSA, 40%Glycerol. Preservative: 0.05% Sodium Azide.

保存Store at -20˚C

应用详情
WB: 1:1,000
IHC: 1:50-1:200
ICC: 1:50-1:200

FC: 1:50-1:100
Western blot analysis of Ctip2 on THP-1 cells lysates using anti-Ctip2 antibody at 1/1,000 dilution.
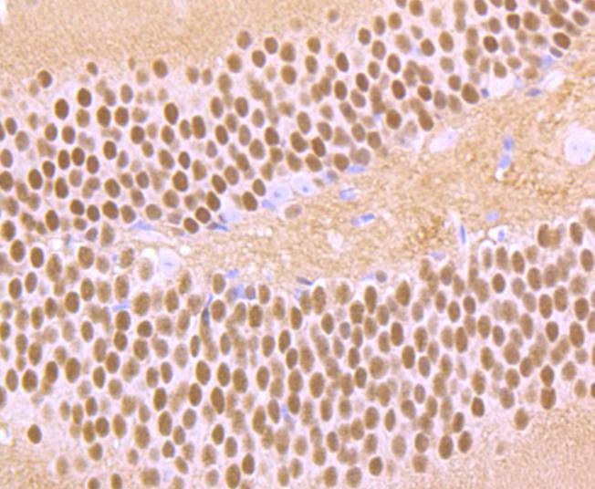
Immunohistochemical analysis of paraffin-embedded mouse brain tissue using anti-Ctip2 antibody. Counter stained with hematoxylin.
ICC staining Ctip2 in LO2 cells (red). The nuclear counter stain is DAPI (blue). Cells were fixed in paraformaldehyde, permeabilised with 0.25% Triton X100/PBS.
Flow cytometric analysis of Jurkat cells with Ctip2 antibody at 1/50 dilution (red) compared with an unlabelled control (cells without incubation with primary antibody; black). Alexa Fluor 488-conjugated goat anti rabbit IgG was used as the secondary antibody
Bcl-11a (CtIP-1, EVI9, B cell chronic lymphocytic leukemia (CLL)/lymphoma 11A) and Bcl-11b (CtIP-2, RIT1, B cell CLL/lymphoma 11B) genes play crucial roles in lymphopoiesis and influence the progression of hematopoietic malignancies. Disruption of the Bcl-11b locus is linked to T cell acute lymphoblastic leukemia, and the loss of heterozygosity in mice results in T cell lymphoma. Bcl-11 proteins are related C2H2 zinc-finger transcription factors that act as transcriptional repressors. Bcl-11b can interact with the metastasis-associated proteins MTA1 and MTA2 through the amino-terminal region. Bcl-11a is essential for postnatal development and normal lymphopoiesis. The Bcl-11a mouse gene is a common site of retroviral integration in myeloid leukemia, and may function as a leukemia disease gene, in part, through its interaction with Bcl-6.

如果您使用该产品49390发表了文章,请通知我们,让我们可以引用您的文献。

注释

应用

  • WB免疫印迹
  • IHC免疫组化
  • IF免疫荧光
  • ICC免疫细胞化学
  • FC流式细胞
  • IP免疫沉淀
  • E酶联免疫吸附法
  • DB免疫斑点法
  • ChIP染色质免疫沉淀
  • GICA胶体金免疫层析法
  • NC阴性对照

种属反应性

  • Hu
  • Ms小鼠
  • Rt大鼠
  • Dm果蝇
  • C线虫
  • Mk
  • Rb
  • B
  • D
  • P
  • Hm仓鼠
  • ChHm中国仓鼠
  • Chk
;

联系我们

Location :

南京市高新开发区星火路10号人才大厦C座

Phone :

400-9961-933
025-58868422

Email Address

info@sabbiotech.com