免费电话:400-9961-933
邮箱:info@sabbiotech.com
欢迎光临本站
川博智能体 English
位置: 首页 > 重组兔单抗 > K63-linkage Specific Ubiquitin Rabbit mAb

K63-linkage Specific Ubiquitin Rabbit mAb #49420

是否有货: Yes
产品详情

产品名称K63-linkage Specific Ubiquitin Rabbit mAb

克隆号JM09-67

来源种属Recombinant Rabbit

克隆性 Monoclonal antibody

纯化ProA affinity purified

应用WB, ICC/IF, IHC

种属反应性Human;Mouse;Rat

免疫原描述recombinant protein

标记Unconjugated

别名Epididymis secretory protein Li 50 antibody
FLJ25987 antibody
HEL S 50 antibody
MGC8385 antibody
Polyubiquitin B antibody
RPS 27A antibody
RPS27A antibody
UBA 52 antibody
UBA 80 antibody
UBA52 antibody
UBA80 antibody
UBB antibody
UBB_HUMAN antibody
UBC antibody
UBCEP 1 antibody
UBCEP 2 antibody
UBCEP1 antibody
UBCEP2 antibody
Ubiquitin antibody
Ubiquitin B antibody

数据库入口号Swiss-Prot#:P0CG47

Uniprot P0CG47

计算分子量60-100 kDa

配方1*TBS (pH7.4), 1%BSA, 40%Glycerol. Preservative: 0.05% Sodium Azide.

保存Store at -20˚C

应用详情
WB: 1:1,000
IHC: 1:50-1:200
ICC: 1:100-1:500

Western blot analysis of K63-linkage Specific Ubiquitin on Hela cells lysates using anti-K63-linkage Specific Ubiquitin antibody at 1/1,000 dilution.
Immunohistochemical analysis of paraffin-embedded human colon cancer tissue using anti-K63-linkage Specific Ubiquitin antibody. Counter stained with hematoxylin.
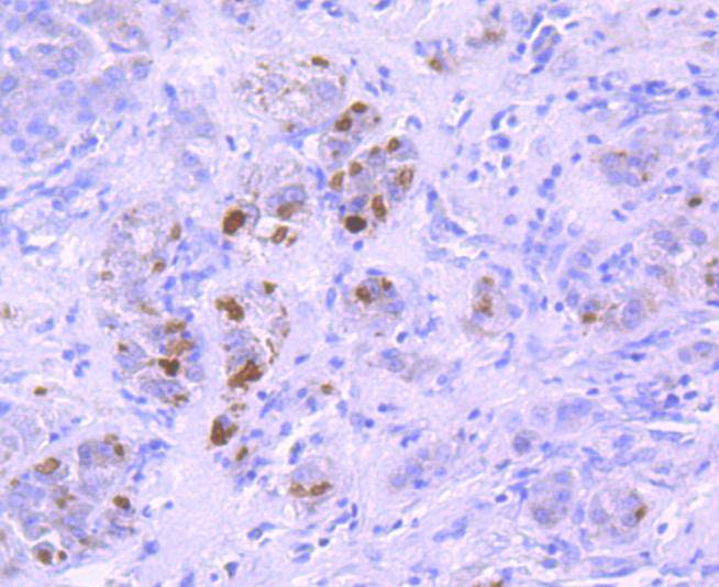
Immunohistochemical analysis of paraffin-embedded human liver cancer tissue using anti-K63-linkage Specific Ubiquitin antibody. Counter stained with hematoxylin.
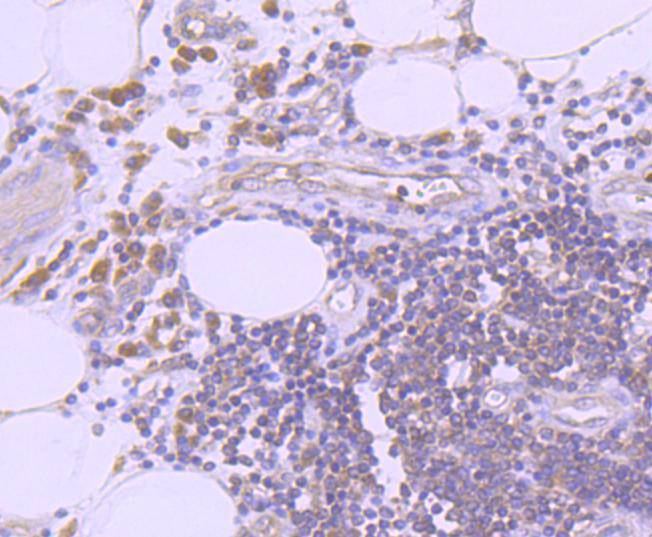
Immunohistochemical analysis of paraffin-embedded human spleen tissue using anti-K63-linkage Specific Ubiquitin antibody. Counter stained with hematoxylin.
ICC staining K63-linkage Specific Ubiquitin in Hela cells (red). The nuclear counter stain is DAPI (blue). Cells were fixed in paraformaldehyde, permeabilised with 0.25% Triton X100/PBS.
ICC staining K63-linkage Specific Ubiquitin in N2A cells (red). The nuclear counter stain is DAPI (blue). Cells were fixed in paraformaldehyde, permeabilised with 0.25% Triton X100/PBS.
ICC staining K63-linkage Specific Ubiquitin in 293T cells (red). The nuclear counter stain is DAPI (blue). Cells were fixed in paraformaldehyde, permeabilised with 0.25% Triton X100/PBS.
Ubiquitin (Ub) is among the most phylogenetically conserved proteins known. The primary function of ubiquitin is to clear abnormal, foreign and improperly folded proteins by targeting them for degradation by the 26S Proteosome. This small, 76 amino acid protein can be covalently attached to cellular proteins via an isopeptide linkage between the carboxy terminal group of ubiquitin and lysine amino groups on the acceptor protein. For proteolysis to occur, ubiquitin oligomers must be assembled. Ubiquitin chains on proteolytic substrates are commonly found to have an isopeptide bridge between Lys 48 of one ubiquitin molecule and the carboxy-terminus of a neighboring ubiquitin molecule. Ubiquitin also plays a role in regulating signal transduction cascades through the elimination inhibitory proteins, such as IκB-α and p27.

如果您使用该产品49420发表了文章,请通知我们,让我们可以引用您的文献。

et al,Tripartite motif 25 inhibits protein aggregate degradation during PRRSV infection by suppressing p62-mediated autophagy. In J Virol on 2024 Nov 19 by Jiahui Ren, Qiming Pei,et al..PMID:39480084 , (2024),
PMID: 39480084

注释

应用

  • WB免疫印迹
  • IHC免疫组化
  • IF免疫荧光
  • ICC免疫细胞化学
  • FC流式细胞
  • IP免疫沉淀
  • E酶联免疫吸附法
  • DB免疫斑点法
  • ChIP染色质免疫沉淀
  • GICA胶体金免疫层析法
  • NC阴性对照

种属反应性

  • Hu
  • Ms小鼠
  • Rt大鼠
  • Dm果蝇
  • C线虫
  • Mk
  • Rb
  • B
  • D
  • P
  • Hm仓鼠
  • ChHm中国仓鼠
  • Chk
;

联系我们

Location :

南京市高新开发区星火路10号人才大厦C座

Phone :

400-9961-933
025-58868422

Email Address

info@sabbiotech.com