免费电话:400-9961-933
邮箱:info@sabbiotech.com
欢迎光临本站
川博智能体 English
位置: 首页 > 重组兔单抗 > FGFR3 Rabbit mAb

FGFR3 Rabbit mAb #49449

是否有货: Yes
产品详情

产品名称FGFR3 Rabbit mAb

克隆号JM81-10

来源种属Recombinant Rabbit

克隆性 Monoclonal antibody

纯化ProA affinity purified

应用WB, ICC/IF, IHC, FC

种属反应性Human

免疫原描述recombinant protein

标记Unconjugated

别名ACH antibody
CD 333 antibody
CD333 antibody
CD333 antigen antibody
CEK 2 antibody
CEK2 antibody
FGFR 3 antibody
FGFR-3 antibody
FGFR3 antibody
FGFR3_HUMAN antibody
Fibroblast growth factor receptor 3 (achondroplasia thanatophoric dwarfism) antibody
Fibroblast growth factor receptor 3 antibody
Heparin binding growth factor receptor antibody
HSFGFR3EX antibody
Hydroxyaryl protein kinase antibody
JTK 4 antibody
JTK4 antibody
MFR 3 antibody
SAM 3 antibody
Tyrosine kinase JTK 4 antibody
Tyrosine kinase JTK4 antibody
Z FGFR 3 antibody

数据库入口号Swiss-Prot#:P22607

Uniprot P22607

计算分子量100 kDa

配方1*TBS (pH7.4), 1%BSA, 40%Glycerol. Preservative: 0.05% Sodium Azide.

保存Store at -20˚C

应用详情
WB: 1:1,000-5,000
IHC: 1:50-1:200
ICC: 1:50-1:200

FC:1��50-1��100
Western blot analysis of FGFR3 on Hela cells lysates using anti-FGFR3 antibody at 1/500 dilution.
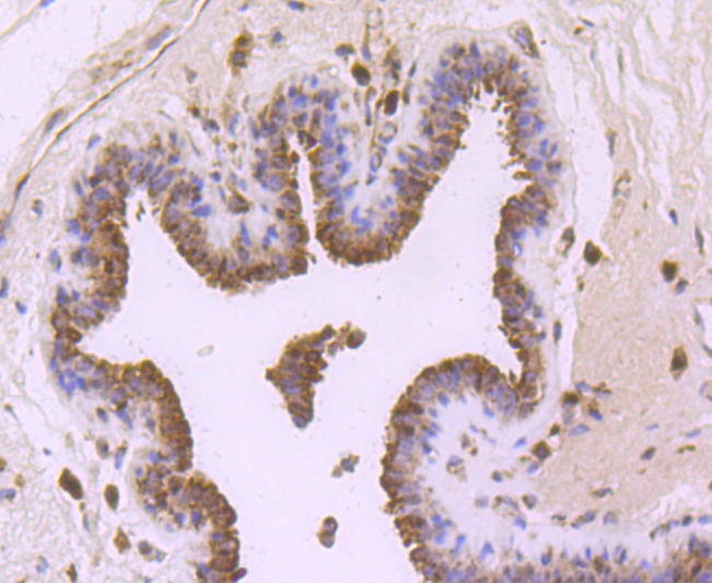
Immunohistochemical analysis of paraffin-embedded human breast cancer tissue using anti-FGFR3 antibody. Counter stained with hematoxylin.
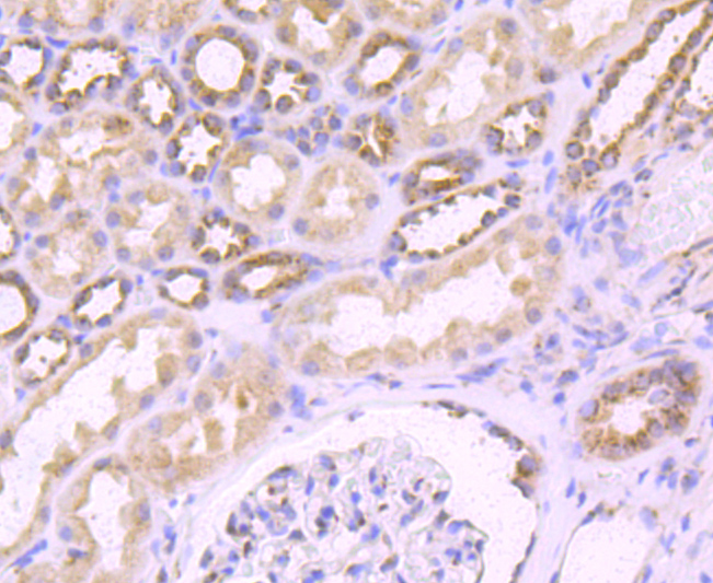
Immunohistochemical analysis of paraffin-embedded human kidney tissue using anti-FGFR3 antibody. Counter stained with hematoxylin.
ICC staining FGFR3 in Hela cells (red). The nuclear counter stain is DAPI (blue). Cells were fixed in paraformaldehyde, permeabilised with 0.25% Triton X100/PBS.
ICC staining FGFR3 in MCF-7 cells (red). The nuclear counter stain is DAPI (blue). Cells were fixed in paraformaldehyde, permeabilised with 0.25% Triton X100/PBS.
ICC staining FGFR3 in SH-SY5Y cells (red). The nuclear counter stain is DAPI (blue). Cells were fixed in paraformaldehyde, permeabilised with 0.25% Triton X100/PBS.
Flow cytometric analysis of HepG2 cells with FGFR3 antibody at 1/50 dilution (red) compared with an unlabelled control (cells without incubation with primary antibody; black). Alexa Fluor 488-conjugated goat anti rabbit IgG was used as the secondary antibody.
Acidic and basic fibroblast growth factors (FGFs) are members of a family of multifunctional polypeptide growth factors that stimulate proliferation of cells of mesenchymal, epithelial and neuroectodermal origin. Like other growth factors, FGFs act by binding and activating specific cell surface receptors. These include the Flg receptor or FGFR-1, the Bek receptor or FGFR-2, FGFR-3, FGFR-4, FGFR-5 and FGFR-6. These receptors usually contain an extracellular ligand-binding region containing three immunoglobulin-like domains, a transmembrane domain and a cytoplasmic tyrosine kinase domain. The gene encoding human FGFR-3 maps to chromosome 4p16 and is alternatively spliced to produce three isoforms that are expressed in brain, kidney and testis. Defects in FGFR-3 are associated with several diseases, including Crouzon syndrome, achondroplasia, thanatophoric dysplasia, craniosynostosis adelaide type and hypochondroplasia. Mutations in FGFR-3 are also a cause of some bladder and cervical cancers.

如果您使用该产品49449发表了文章,请通知我们,让我们可以引用您的文献。

et al,Collagen Hydrogel Loaded With 9-cisRA-Lip Is an Option for Treatment of Secondary Lymphedema after Surgery , (2025),
PMID: 39611659

注释

应用

  • WB免疫印迹
  • IHC免疫组化
  • IF免疫荧光
  • ICC免疫细胞化学
  • FC流式细胞
  • IP免疫沉淀
  • E酶联免疫吸附法
  • DB免疫斑点法
  • ChIP染色质免疫沉淀
  • GICA胶体金免疫层析法
  • NC阴性对照

种属反应性

  • Hu
  • Ms小鼠
  • Rt大鼠
  • Dm果蝇
  • C线虫
  • Mk
  • Rb
  • B
  • D
  • P
  • Hm仓鼠
  • ChHm中国仓鼠
  • Chk
;

联系我们

Location :

南京市高新开发区星火路10号人才大厦C座

Phone :

400-9961-933
025-58868422

Email Address

info@sabbiotech.com