免费电话:400-9961-933
邮箱:info@sabbiotech.com
欢迎光临本站
川博智能体 English
位置: 首页 > 重组兔单抗 > ATP5A1 Rabbit mAb

ATP5A1 Rabbit mAb #49466

是否有货: Yes
产品详情

产品名称ATP5A1 Rabbit mAb

克隆号JM110-04

来源种属Recombinant Rabbit

克隆性Monoclonal antibody

纯化Affinity-chromatography

应用WB, ICC/IF, IHC, FC

种属反应性Human;Mouse;Rat

免疫原描述A synthesized peptide derived from human ATP5A

标记Unconjugated

别名ATP synthase alpha chain, mitochondrial antibody
ATP synthase subunit alpha antibody
ATP synthase subunit alpha mitochondrial antibody
ATP synthase, H+ transporting, mitochondrial F1 complex, alpha subunit 1, cardiac muscle antibody
ATP synthase, H+ transporting, mitochondrial F1 complex, alpha subunit, 1 antibody
ATP synthase, H+ transporting, mitochondrial F1 complex, alpha subunit, isoform 1, cardiac muscle antibody
ATP synthase, H+ transporting, mitochondrial F1 complex, alpha subunit, isoform 2, non-cardiac muscle-like 2 antibody
ATP sythase (F1 ATPase) alpha subunit antibody
ATP5A antibody
Atp5a1 antibody
ATP5AL2 antibody
ATPA_HUMAN antibody
ATPM antibody
Epididymis secretory sperm binding protein Li 123m antibody
hATP1 antibody
HEL-S-123m antibody
MC5DN4 antibody
mitochondrial antibody
Mitochondrial ATP synthetase antibody
Mitochondrial ATP synthetase oligomycin resistant antibody
Modifier of Min 2 mouse homolog antibody
Modifier of Min 2, mouse, homolog of antibody
MOM2 antibody
OMR antibody
ORM antibody
OTTHUMP00000163475 antibody

数据库入口号Swiss-Prot#:P25705

Uniprot P25705

计算分子量50 kDa

配方Rabbit IgG in 10mM phosphate buffered saline , pH 7.4, 150mM sodium chloride, 0.05% BSA, 0.02% sodium azide and 50% glycerol.

保存Store at +4°C for short term. Store at -20°C for long term. Avoid freeze/thaw cycle.

应用详情
WB 1:1000-1:2000
IHC 1:100-1:200
ICC/IF 1:50-1:200
FC 1:20-1:100
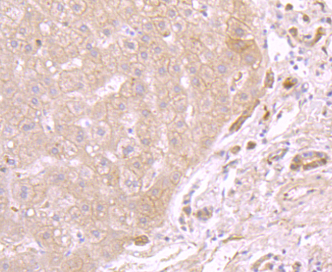
Immunohistochemical analysis of paraffin-embedded human liver tissue using anti-ATP5A1 antibody. Counter stained with hematoxylin.
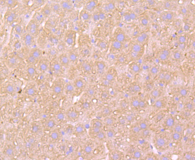
Immunohistochemical analysis of paraffin-embedded mouse liver tissue using anti-ATP5A1 antibody. Counter stained with hematoxylin.
Immunohistochemical analysis of paraffin-embedded mouse heart muscle tissue using anti-ATP5A1 antibody. Counter stained with hematoxylin.
ICC staining ATP5A1 in MCF-7 cells (red). The nuclear counter stain is DAPI (blue). Cells were fixed in paraformaldehyde, permeabilised with 0.25% Triton X100/PBS.
ICC staining ATP5A1 in HepG2 cells (red). The nuclear counter stain is DAPI (blue). Cells were fixed in paraformaldehyde, permeabilised with 0.25% Triton X100/PBS.
ICC staining ATP5A1 in Hela cells (red). The nuclear counter stain is DAPI (blue). Cells were fixed in paraformaldehyde, permeabilised with 0.25% Triton X100/PBS.
Flow cytometric analysis of Hela cells with ATP5A1 antibody at 1/50 dilution (red) compared with an unlabelled control (cells without incubation with primary antibody; black). Alexa Fluor 488-conjugated goat anti rabbit IgG was used as the secondary antibody.
All lanes use the Antibody at 1:2K dilution for 1 hour at room temperature.
Western blot analysis of ATP5A1 expression in HepG2 cell lysate.
Mitochondrial ATP synthases (ATPases) transduce the energy contained in membrane electrochemical proton gradients into the energy required for synthesis of high-energy phosphate bonds. ATPases contain two linked complexes: F1, the hydrophilic catalytic core; and F0, the membrane-embedded protein channel. F1 consists of three α chains and three β chains, which are weakly homologous, as well as one γ chain, one δ chain and one e chain. F0 consists of three subunits: a, b and c. The α chain of F1 is a regulatory subunit that contains 509 amino acids. Mitochondrial ATPase α chain (ATP5A) localizes to the mitochondria and catalyzes ATP synthesis.

如果您使用该产品49466发表了文章,请通知我们,让我们可以引用您的文献。

et al,Multifunctional manganese-based nanogels catalyze immune energy metabolism to promote bone repair , (2025),
PMID:

注释

应用

  • WB免疫印迹
  • IHC免疫组化
  • IF免疫荧光
  • ICC免疫细胞化学
  • FC流式细胞
  • IP免疫沉淀
  • E酶联免疫吸附法
  • DB免疫斑点法
  • ChIP染色质免疫沉淀
  • GICA胶体金免疫层析法
  • NC阴性对照

种属反应性

  • Hu
  • Ms小鼠
  • Rt大鼠
  • Dm果蝇
  • C线虫
  • Mk
  • Rb
  • B
  • D
  • P
  • Hm仓鼠
  • ChHm中国仓鼠
  • Chk
;

联系我们

Location :

南京市高新开发区星火路10号人才大厦C座

Phone :

400-9961-933
025-58868422

Email Address

info@sabbiotech.com