免费电话:400-9961-933
邮箱:info@sabbiotech.com
欢迎光临本站
川博智能体 English
位置: 首页 > 重组兔单抗 > Podoplanin Rabbit mAb

Podoplanin Rabbit mAb#49474

是否有货: Yes
产品详情

产品名称Podoplanin Rabbit mAb

克隆号JM31-21

来源种属Recombinant Rabbit

克隆性Monoclonal antibody

纯化ProA affinity purified

应用WB;IHC;IF

种属反应性Human;Mouse;Rat

免疫原描述recombinant protein

标记Unconjugated

别名Aggrus antibody
Glycoprotein 36 KD antibody
Glycoprotein 36 antibody
gp 36 antibody
GP 38 antibody
GP 40 antibody
gp36 antibody
GP38 antibody
GP40 antibody
HT1A 1 antibody
HT1A1 antibody
hT1alpha 1 antibody
hT1alpha 2 antibody
hT1alpha1 antibody
hT1alpha2 antibody
Lung type I cell membrane associated glycoprotein antibody
Lung type I cell membrane associated glycoprotein isoform a antibody
Lung type I cell membrane associated glycoprotein T1A 2 antibody
OTS 8 antibody
OTS8 antibody
OTTHUMP00000009640 antibody
OTTHUMP00000044504 antibody
PA2.26 antibody
PA2.26 antigen antibody
Pdpn antibody
PDPN_HUMAN antibody
Podoplanin antibody
PSEC0003 antibody
PSEC0025 antibody
T1 alpha antibody
T1 ALPHA GENE antibody
T1-alpha antibody
T1A 2 antibody
T1A antibody
TI1A antibody
TIA 2 antibody
TIA2 antibody

数据库入口号Swiss-Prot#:Q86YL7

Uniprot Q86YL7

计算分子量36 kDa

配方1*TBS (pH7.4), 1%BSA, 40%Glycerol. Preservative: 0.05% Sodium Azide.

保存Store at -20˚C

应用详情
WB 1:1000-1:5000
IHC 1:200-1:1000
IF 1:200-1:1000

Western blot analysis of Podoplanin on human lung cells lysates using anti-Podoplanin antibody at 1/500 dilution.
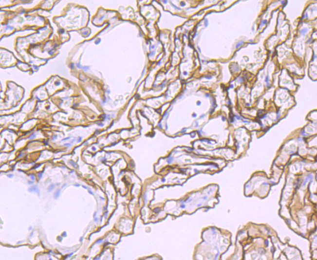
Immunohistochemical analysis of paraffin-embedded human lung tissue using anti-Podoplanin antibody. Counter stained with hematoxylin.
Immunohistochemical analysis of paraffin-embedded human colon cancer tissue using anti-Podoplanin antibody. Counter stained with hematoxylin.
Puromycin aminonucleoside nephrosis (PAN) is a rat model for human minimal change nephropathy. During PAN, severe proteinuria is induced that is paralleled by a reduced expression of a rat podocyte protein, named podoplanin. Podoplanin, also known as glycoprotein 38 (gp38) is a type I membrane protein. Podoplanin localizes in stromal cells of peripheral lymphoid tissue and thymic epithelial cells. As a regulator of the lymphatic endothelium, podoplanin probably plays a role in maintaining the unique shape of podocytes.

如果您使用该产品49474发表了文章,请通知我们,让我们可以引用您的文献。

注释

应用

  • WB免疫印迹
  • IHC免疫组化
  • IF免疫荧光
  • ICC免疫细胞化学
  • FC流式细胞
  • IP免疫沉淀
  • E酶联免疫吸附法
  • DB免疫斑点法
  • ChIP染色质免疫沉淀
  • GICA胶体金免疫层析法
  • NC阴性对照

种属反应性

  • Hu
  • Ms小鼠
  • Rt大鼠
  • Dm果蝇
  • C线虫
  • Mk
  • Rb
  • B
  • D
  • P
  • Hm仓鼠
  • ChHm中国仓鼠
  • Chk
;

联系我们

Location :

南京市高新开发区星火路10号人才大厦C座

Phone :

400-9961-933
025-58868422

Email Address

info@sabbiotech.com