免费电话:400-9961-933
邮箱:info@sabbiotech.com
欢迎光临本站
川博智能体 English
位置: 首页 > 重组兔单抗 > MHC Class II Rabbit mAb

MHC Class II Rabbit mAb #49525

是否有货: Yes
产品详情

产品名称MHC Class II Rabbit mAb

克隆号JA10-94

来源种属Recombinant Rabbit

克隆性 Monoclonal antibody

纯化ProA affinity purified

应用WB, IP, ICC/IF, IHC

种属反应性Human

免疫原描述recombinant protein

标记Unconjugated

别名D6S221E antibody
DMA antibody
DMB antibody
DP beta 1 antibody
DP beta 1 chain antibody
DP(W4) beta chain antibody
DPB 1 antibody
DPB1 antibody
DPB1_HUMAN antibody
DRB antibody
H2Ea antibody
HLA class II histocompatibility antigen antibody
HLA class II histocompatibility antigen DM beta chain antibody
HLA class II histocompatibility antigen, DP beta 1 chain antibody
HLA class II histocompatibility antigen, DP(W4) beta chain antibody
HLA DMB antibody
HLA DP1A antibody
HLA DPB1 antibody
HLA SB alpha chain antibody
HLA-A antibody
HLA-A histocompatibility type antibody
HLA-DP antibody
HLA-DP histocompatibility type, beta-1 subunit antibody
HLA-DP1B antibody
HLA-DPB antibody
HLA-DPB1 antibody
HLADM antibody
HLADP1B antibody
HLASB antibody
HLASB histocompatibility type antibody
Human MHC class II HLA SB alpha antibody
LA class II histocompatibility antigen DP alpha 1 chain antibody
Major histocompatibility complex class II antibody
Major histocompatibility complex class II DP alpha 1 antibody
Major histocompatibility complex class II DP beta 1 antibody
Major histocompatibility complex, class I, A antibody
MHC class II antigen DMB antibody
MHC class II antigen DPB1 antibody
MHC class II DP3 alpha antibody
MHC class II DPA1 antibody
MHC class II HLA-DP-beta-1 antibody
MHC DPB1 antibody
MHC HLA DPB1 antibody
PLT1 antibody
Primed lymphocyte test 1 antibody
RING6 antibody
RING7 antibody

数据库入口号Swiss-Prot#:P04440

Uniprot P04440

计算分子量29 kDa

配方1*TBS (pH7.4), 1%BSA, 40%Glycerol. Preservative: 0.05% Sodium Azide.

保存Store at -20˚C

应用详情
WB: 1:500-1:1,000
IHC: 1:50-1:200
ICC: 1:50-1:100
IP: 1:10-1:50
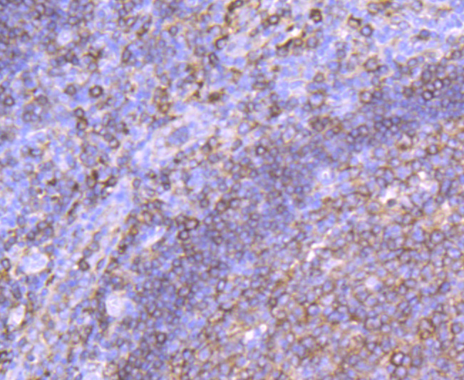
Immunohistochemical analysis of paraffin-embedded human tonsil tissue using anti- MHC Class II antibody. Counter stained with hematoxylin.
Immunohistochemical analysis of paraffin-embedded human spleen tissue using anti- MHC Class II antibody. Counter stained with hematoxylin.
Major histocompatibility complex (MHC) molecules, also designated human leukocyte antigen (HLA) molecules, are cell-surface receptors that bind foreign peptides and present them to T lymphocytes. MHC class I molecules consist of two polypeptide chains, an α or heavy chain and β-2-Microglobulin, a non-covalently associated protein. Cytotoxic T lymphocytes bind antigenic peptides presented by MHC class I molecules. Antigens that bind to MHC class I molecules are typically eight to ten residues in length and are stabilized in a peptide binding groove. MHC class II molecules are encoded by polymorphic MHC genes and consist of a non-covalent complex of an α and β chain. Helper T lymphocytes bind antigenic peptides presented by MHC class II molecules. MHC class II molecules bind 13-18 amino acid antigenic peptides. Accumu-lating in endosomal/lysosomal compartments and on the surface of B cells, HLA-DM and -DO molecules regulate binding of exogenous peptides to class II molecules (HLA-DR) by sustaining a conformation that favors peptide exchange. The differential structural properties of MHC class I and class II molecules account for their respective roles in activating different populations of T lymphocytes.

如果您使用该产品49525发表了文章,请通知我们,让我们可以引用您的文献。

et al,Paroxetine Attenuates Cardiac Hypertrophy Via Blocking GRK2 and ADRB1 Interaction in Hypertension. In J Am Heart Assoc on 2021 Jan 5 by Xuejing Sun, Mengli Zhou, et al..PMID:33372534 , (2021),
PMID: 33372534

注释

应用

  • WB免疫印迹
  • IHC免疫组化
  • IF免疫荧光
  • ICC免疫细胞化学
  • FC流式细胞
  • IP免疫沉淀
  • E酶联免疫吸附法
  • DB免疫斑点法
  • ChIP染色质免疫沉淀
  • GICA胶体金免疫层析法
  • NC阴性对照

种属反应性

  • Hu
  • Ms小鼠
  • Rt大鼠
  • Dm果蝇
  • C线虫
  • Mk
  • Rb
  • B
  • D
  • P
  • Hm仓鼠
  • ChHm中国仓鼠
  • Chk
;

联系我们

Location :

南京市高新开发区星火路10号人才大厦C座

Phone :

400-9961-933
025-58868422

Email Address

info@sabbiotech.com