免费电话:400-9961-933
邮箱:info@sabbiotech.com
欢迎光临本站
川博智能体 English
位置: 首页 > 重组兔单抗 > MMP9 Rabbit mAb

MMP9 Rabbit mAb #49576

是否有货: Yes
产品详情

产品名称MMP9 Rabbit mAb

克隆号JA80-73

来源种属Recombinant Rabbit

克隆性 Monoclonal antibody

纯化ProA affinity purified

应用WB, ICC/IF, IHC, FC

种属反应性Human;Mouse;Rat

免疫原描述recombinant protein

标记Unconjugated

别名82 kDa matrix metalloproteinase-9 antibody
92 kDa gelatinase antibody
92 kDa type IV collagenase antibody
CLG 4B antibody
CLG4B antibody
Collagenase Type 4 beta antibody
Collagenase type IV 92 KD antibody
EC 3.4.24.35 antibody
Gelatinase 92 KD antibody
Gelatinase B antibody
Gelatinase beta antibody
GelatinaseB antibody
GELB antibody
Macrophage gelatinase antibody
MANDP2 antibody
Matrix metallopeptidase 9 (gelatinase B, 92kDa gelatinase, 92kDa type IV collagenase) antibody
Matrix Metalloproteinase 9 antibody
MMP 9 antibody
MMP-9 antibody
MMP9 antibody
MMP9_HUMAN antibody
Type V collagenase antibody

数据库入口号Swiss-Prot#:P14780

Uniprot P14780

计算分子量100 kDa

配方1*TBS (pH7.4), 1%BSA, 40%Glycerol. Preservative: 0.05% Sodium Azide.

保存Store at -20˚C

应用详情
WB: 1:500-1:2,000
IHC: 1:50-1:200
ICC: 1:50-1:200

FC: 1:50-1:100
Western blot analysis of MMP9 on rat spleen tissue lysate using anti-MMP9 antibody at 1/1,000 dilution.
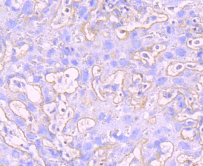
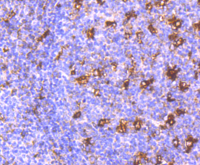
Immunohistochemical analysis of paraffin-embedded human tonsil tissue using anti-MMP9 antibody. Counter stained with hematoxylin.
Immunohistochemical analysis of paraffin-embedded mouse placenta tissue using anti-MMP9 antibody. Counter stained with hematoxylin.
ICC staining MMP9 in Hela cells (green). The nuclear counter stain is DAPI (blue). Cells were fixed in paraformaldehyde, permeabilised with 0.25% Triton X100/PBS.
ICC staining MMP9 in SHG-44 cells (green). The nuclear counter stain is DAPI (blue). Cells were fixed in paraformaldehyde, permeabilised with 0.25% Triton X100/PBS.
Flow cytometric analysis of A431 cells with MMP9 antibody at 1/100 dilution (red) compared with an unlabelled control (cells without incubation with primary antibody; black).
The matrix metalloproteinases (MMPs) are a family of peptidase pathway responsible for the degradation of extracellular matrix components, including collagen, gelatin, fibronectin, laminin and proteoglycan. Transcription of MMP genes is is differentially activated by phorbol ester, lipopolysaccharide (LPS) or staphylococcal enterotoxin MMP-9 (also designated 92 kDa type IV collagenase or gelatinase B) has been shown to degrade bone collagens in concert with MMP-1 (also specified interstitial collagenase, fibroblast collagenase or Collagenase-1), and cysteine proteases and may play a role in bone osteoclastic resorption. MMP-1 is downregulated by p53, and abnormality of p53 expression can contribute to joint degradation in rheumatoid arthritis by regulating MMP-1 expression.

如果您使用该产品49576发表了文章,请通知我们,让我们可以引用您的文献。

et al,Soluble advanced glycosylation receptor is apotential target for the treatment of neutrophilic asthma. , (2020),
PMID:
et al,Carminic acid/ferric ion self assembled multienzyme mimetic nanodrug with concurrent photothermal/anti-inflammatory activity to prevent breast cancer … , (2025),
PMID: 40677396

注释

应用

  • WB免疫印迹
  • IHC免疫组化
  • IF免疫荧光
  • ICC免疫细胞化学
  • FC流式细胞
  • IP免疫沉淀
  • E酶联免疫吸附法
  • DB免疫斑点法
  • ChIP染色质免疫沉淀
  • GICA胶体金免疫层析法
  • NC阴性对照

种属反应性

  • Hu
  • Ms小鼠
  • Rt大鼠
  • Dm果蝇
  • C线虫
  • Mk
  • Rb
  • B
  • D
  • P
  • Hm仓鼠
  • ChHm中国仓鼠
  • Chk
;

联系我们

Location :

南京市高新开发区星火路10号人才大厦C座

Phone :

400-9961-933
025-58868422

Email Address

info@sabbiotech.com