免费电话:400-9961-933
邮箱:info@sabbiotech.com
欢迎光临本站
川博智能体 English
位置: 首页 > 重组兔单抗 > NFkB p100 Rabbit mAb

NFkB p100 Rabbit mAb #49633

是否有货: Yes
产品详情

产品名称NFkB p100 Rabbit mAb

克隆号JM82-03

来源种属Recombinant Rabbit

克隆性 Monoclonal antibody

纯化ProA affinity purified

应用WB, ICC/IF, IHC, IP

种属反应性Human;Mouse;Rat

免疫原描述Recombinant protein

标记Unconjugated

别名CVID10 antibody
DNA binding factor KBF2 antibody
H2TF1 antibody
Lymphocyte translocation chromosome 10 protein antibody
LYT 10 antibody
NF kB2 antibody
NFKB p52/p100 subunit antibody
Nuclear factor Kappa B subunit 2 antibody
Nuclear factor of kappa light polypeptide gene enhancer in B cells 2 (p49/p100) antibody
Nuclear factor of kappa light polypeptide gene enhancer in B cells 2 antibody
Oncogene Lyt 10 antibody
p100 antibody
Transcription factor NFKB2 antibody

数据库入口号Swiss-Prot#:Q00653

Uniprot Q00653

计算分子量100 kDa

配方1*TBS (pH7.4), 1%BSA, 40%Glycerol. Preservative: 0.05% Sodium Azide.

保存Store at -20˚C

应用详情
WB: 1:500-1:2,000
IHC: 1:50-1:200
ICC: 1:50-1:200

Western blot analysis of NFkB p100 on Hela (1) and MCF-7 (2) cell using anti-NFkB p100 antibody at 1/1,000 dilution.
Immunohistochemical analysis of paraffin-embedded human tonsil tissue using anti-NFkB p100 antibody. Counter stained with hematoxylin.
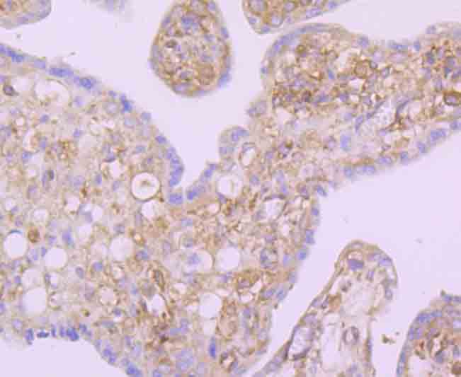
Immunohistochemical analysis of paraffin-embedded human placenta tissue using anti-NFkB p100 antibody. Counter stained with hematoxylin.
Immunohistochemical analysis of paraffin-embedded human colon cancer tissue using anti-NFkB p100 antibody. Counter stained with hematoxylin.
ICC staining NFkB p100 in A431 cells (green). The nuclear counter stain is DAPI (blue). Cells were fixed in paraformaldehyde, permeabilised with 0.25% Triton X100/PBS.
ICC staining NFkB p100 in Hela cells (green). The nuclear counter stain is DAPI (blue). Cells were fixed in paraformaldehyde, permeabilised with 0.25% Triton X100/PBS.
NFKB2 appears to have dual functions such as cytoplasmic retention of attached NF-kappa-B proteins by p100 and generation of p52 by a cotranslational processing. The proteasome-mediated process ensures the production of both p52 and p100 and preserves their independent function. p52 binds to the kappa-B consensus sequence 5'-GGRNNYYCC-3', located in the enhancer region of genes involved in immune response and acute phase reactions. p52 and p100 are respectively the minor and major form; the processing of p100 being relatively poor. Isoform p49 is a subunit of the NF-kappa-B protein complex, which stimulates the HIV enhancer in synergy with p65.

如果您使用该产品49633发表了文章,请通知我们,让我们可以引用您的文献。

et al,The role of FTO in m6A RNA methylation and immune regulation in Staphylococcus aureus infection-related osteomyelitis. , (2025),
PMID: 39980685

注释

应用

  • WB免疫印迹
  • IHC免疫组化
  • IF免疫荧光
  • ICC免疫细胞化学
  • FC流式细胞
  • IP免疫沉淀
  • E酶联免疫吸附法
  • DB免疫斑点法
  • ChIP染色质免疫沉淀
  • GICA胶体金免疫层析法
  • NC阴性对照

种属反应性

  • Hu
  • Ms小鼠
  • Rt大鼠
  • Dm果蝇
  • C线虫
  • Mk
  • Rb
  • B
  • D
  • P
  • Hm仓鼠
  • ChHm中国仓鼠
  • Chk
;

联系我们

Location :

南京市高新开发区星火路10号人才大厦C座

Phone :

400-9961-933
025-58868422

Email Address

info@sabbiotech.com