免费电话:400-9961-933
邮箱:info@sabbiotech.com
欢迎光临本站
川博智能体 English
位置: 首页 > 重组兔单抗 > PFKFB3 Rabbit mAb

PFKFB3 Rabbit mAb #49656

是否有货: Yes
产品详情

产品名称PFKFB3 Rabbit mAb

来源种属Recombinant Rabbit

克隆性Monoclonal antibody

纯化ProA affinity purified

应用WB, ICC/IF, IHC, FC, IP

种属反应性Human;Mouse;Rat

免疫原描述Recombinant protein

标记Unconjugated

别名6 phosphofructo 2 kinase/ fructose 2,6 bisphosphatase antibody
6 phosphofructo 2 kinase/fructose 2,6 biphosphatase 3 antibody
6-bisphosphatase antibody
6-P2ase 3 antibody
6-P2ASE brain/placenta-type isozyme antibody
6PF 2 K/Fru 2,6 P2ASE brain/placenta type isozyme antibody
6PF 2-K/Fru 2,6 P2ase 3 antibody
6PF-2-K/Fru-2 antibody
F263_HUMAN antibody
fructose 6 phosphate,2 kinase/fructose 2, 6 bisphosphatase antibody
Fructose-2 antibody
Inducible 6 phosphofructo 2 kinase/fructose 2,6 bisphosphatase antibody
iPFK 2 antibody
iPFK-2 antibody
IPFK2 antibody
PFK/FBPase 3 antibody
PFK2 antibody
PFKFB3 antibody
Renal carcinoma antigen NY REN 56 antibody
Renal carcinoma antigen NY-REN-56 antibody
uPFK 2 antibody

数据库入口号Swiss-Prot#:Q16875

Uniprot Q16875

计算分子量60 kDa

实际分子量60 kDa

配方1*TBS (pH7.4), 1%BSA, 40%Glycerol. Preservative: 0.05% Sodium Azide.

保存Store at -20˚C

应用详情
WB: 1:500-1:1,000
IHC: 1:50-1:200
ICC/IF: 1:50-1:200
FC: 1:50-1:100
IP: 1:20-1:50
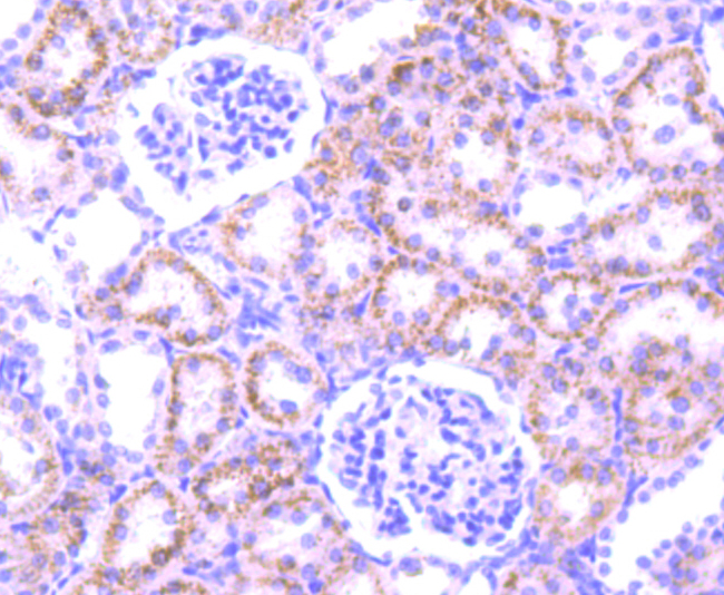
Immunohistochemical analysis of paraffin-embedded rat kidney tissue using anti-PFKFB3 antibody. Counter stained with hematoxylin.
Immunohistochemical analysis of paraffin-embedded mouse colon tissue using anti-PFKFB3 antibody. Counter stained with hematoxylin.
ICC staining PFKFB3 in A549 cells (green). The nuclear counter stain is DAPI (blue). Cells were fixed in paraformaldehyde, permeabilised with 0.25% Triton X100/PBS.
ICC staining PFKFB3 in Hela cells (green). The nuclear counter stain is DAPI (blue). Cells were fixed in paraformaldehyde, permeabilised with 0.25% Triton X100/PBS.
Flow cytometric analysis of A431 cells with PFKFB3 antibody at 1/100 dilution (red) compared with an unlabelled control (cells without incubation with primary antibody; black).
All lanes: PFKFB3 Rabbit mAb at 1/1k dilution
Lane 1 : JK whole cell lysates
Lane 2 : K562 whole cell lysates
Lane 3 : PC12 whole cell lysates
Lane 4 : Mouse spleen lysates
Lysates/proteins at 20 µg per lane.
Secondary
All lanes : Goat Anti-Rabbit IgG H&L (HRP) at 1/20000 dilution
Predicted band size: 60 kDa
Observed band size: 60 kDa
Exposure time: 4 seconds
All lanes:PFKFB3 Rabbit mAb at 1/1k dilution
Lane 1 : Wild-type HT-1080 cell lysate
Lane 2 :PFKFB3 Rabbit mAb knockdown HT-1080 cell lysate
Lysates/proteins at 20 µg per lane.
Among the enzymes playing role in glycolysis,four allosteric PFKFB enzymes 1�C4 expressed by four independent PFKFB genes, catalyze the rate-limiting phosphorylation of fructose-6-phosphate to fructose-1, 6-bisphosphate, using ATP as the energy source in the glycolysis pathway. Among these four allosteric enzymes, PFKFB3 enzyme retains the highest Kinase/Biphosphatase activity ratio and is expressed by PFKFB3 gene which has been demonstrated to be highly expressed in leukemic cells and in solid tumors. Moreover, mitogenic, hypoxic and inflammatory conditions have an inductive effect on the expression of PFKFB3. Hence upregulation of PFKFB genes specific to cancer cells compared to their normal counterparts (from the same patients) with more robust over-expression in breast and lung cancer make it a more appropriate target.

如果您使用该产品49656发表了文章,请通知我们,让我们可以引用您的文献。

et al,The glycolysis/HIF-1α axis defines the inflammatory role of IL-4-primed macrophages InCell Rep On2023 May 30byBuyun Dang , Qingxiang Gao et al..PMID:37149865 , (2023),
PMID: 37149865

注释

应用

  • WB免疫印迹
  • IHC免疫组化
  • IF免疫荧光
  • ICC免疫细胞化学
  • FC流式细胞
  • IP免疫沉淀
  • E酶联免疫吸附法
  • DB免疫斑点法
  • ChIP染色质免疫沉淀
  • GICA胶体金免疫层析法
  • NC阴性对照

种属反应性

  • Hu
  • Ms小鼠
  • Rt大鼠
  • Dm果蝇
  • C线虫
  • Mk
  • Rb
  • B
  • D
  • P
  • Hm仓鼠
  • ChHm中国仓鼠
  • Chk
;

联系我们

Location :

南京市高新开发区星火路10号人才大厦C座

Phone :

400-9961-933
025-58868422

Email Address

info@sabbiotech.com