免费电话:400-9961-933
邮箱:info@sabbiotech.com
欢迎光临本站
川博智能体 English
位置: 首页 > 重组兔单抗 > GCLM Rabbit mAb

GCLM Rabbit mAb #49677

是否有货: Yes
产品详情

产品名称GCLM Rabbit mAb

来源种属Recombinant Rabbit

克隆性 Monoclonal antibody

纯化ProA affinity purified

应用WB, ICC/IF, IHC, FC, IP

种属反应性Human;Mouse;Rat

免疫原描述Recombinant protein

标记Unconjugated

别名Gamma ECS regulatory subunit antibody
Gamma-ECS regulatory subunit antibody
Gamma-glutamylcysteine synthetase regulatory subunit antibody
GCLM antibody
GCS light chain antibody
GLCLR antibody
Glutamate cysteine ligase regulatory subunit antibody
Glutamate--cysteine ligase modifier subunit antibody
Glutamate--cysteine ligase regulatory subunit antibody
GSC light chain antibody
GSH0_HUMAN antibody

数据库入口号Swiss-Prot#:P48507

Uniprot P48507

配方1*TBS (pH7.4), 1%BSA, 40%Glycerol. Preservative: 0.05% Sodium Azide.

保存Store at -20˚C

应用详情
WB: 1:500-1:1,000
IHC: 1:50-1:100
ICC: 1:50-1:200

FC: 1:50-1:100
Western blot analysis of GCLM on different cell lysates using anti-GCLM antibody at 1/500 dilution. Positive control: Lane 1: A431 Lane 2: PC-12 Lane 3: NIH-3T3
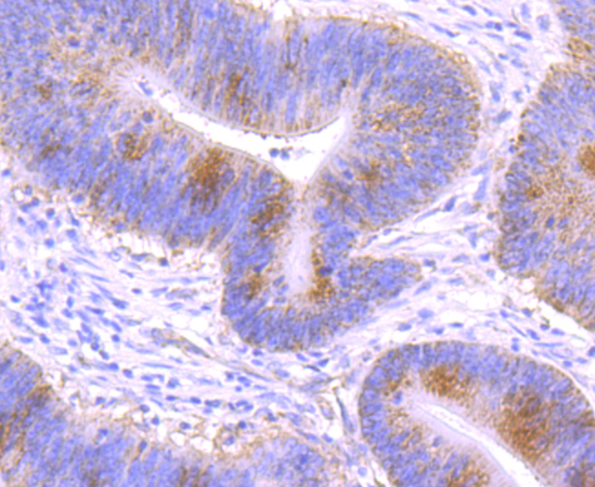
Immunohistochemical analysis of paraffin-embedded human colon cancer tissue using anti-GCLM antibody. Counter stained with hematoxylin.
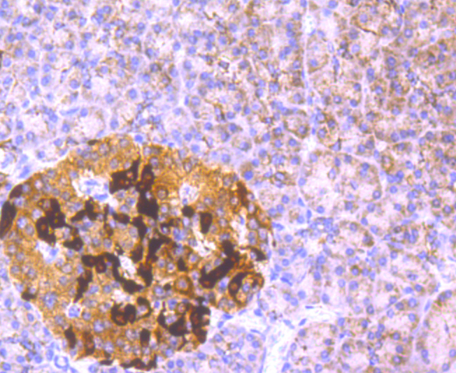
Immunohistochemical analysis of paraffin-embedded human pancreas tissue using anti-GCLM antibody. Counter stained with hematoxylin.
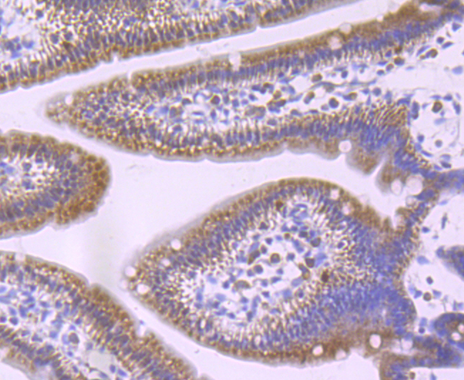
Immunohistochemical analysis of paraffin-embedded mouse small intestine tissue using anti-GCLM antibody. Counter stained with hematoxylin.
ICC staining GCLM in A431 cells (green). The nuclear counter stain is DAPI (blue). Cells were fixed in paraformaldehyde, permeabilised with 0.25% Triton X100/PBS.
ICC staining GCLM in A549 cells (green). The nuclear counter stain is DAPI (blue). Cells were fixed in paraformaldehyde, permeabilised with 0.25% Triton X100/PBS.
ICC staining GCLM in Hela cells (green). The nuclear counter stain is DAPI (blue). Cells were fixed in paraformaldehyde, permeabilised with 0.25% Triton X100/PBS.
Flow cytometric analysis of Hela cells with GCLM antibody at 1/100 dilution (red) compared with an unlabelled control (cells without incubation with primary antibody; black).
Gamma-glutamylcysteine synthetase (γ-GCS) is the rate limiting enzyme for glutathione (L-gamma-glutamyl-L-cysteinylglycine, GSH) synthesis. GSH is ubiquitous in mammalian cells as a vital intra- and extracellular protective antioxidant. γ-GCS is a heterodimer of a heavy catalytic subunit and a light regulatory subunit that is responsive to inflammation, phenolic antioxidants, heat shock, oxidants and cytokines. The human gamma-GCS gene encoding the 367 amino acid catalytic subunit maps to chromosome 6p12. The human γ-GCS gene encoding the regulatory subunit maps to chromosome 1p22-p21. The two subunits of γ-GCS form a heterodimeric zinc metalloprotein that gains activity through formation of a reversible disulfide bond.

如果您使用该产品49677发表了文章,请通知我们,让我们可以引用您的文献。

et al,Formononetin mitigates alcoholic liver disease by restoring ALDH2 function and inducing ERK1/2–Nrf2 antioxidant signaling , (2025),
PMID: 41110354

注释

应用

  • WB免疫印迹
  • IHC免疫组化
  • IF免疫荧光
  • ICC免疫细胞化学
  • FC流式细胞
  • IP免疫沉淀
  • E酶联免疫吸附法
  • DB免疫斑点法
  • ChIP染色质免疫沉淀
  • GICA胶体金免疫层析法
  • NC阴性对照

种属反应性

  • Hu
  • Ms小鼠
  • Rt大鼠
  • Dm果蝇
  • C线虫
  • Mk
  • Rb
  • B
  • D
  • P
  • Hm仓鼠
  • ChHm中国仓鼠
  • Chk
;

联系我们

Location :

南京市高新开发区星火路10号人才大厦C座

Phone :

400-9961-933
025-58868422

Email Address

info@sabbiotech.com