免费电话:400-9961-933
邮箱:info@sabbiotech.com
欢迎光临本站
川博智能体 English
位置: 首页 > 重组兔单抗 > Wnt5a Rabbit mAb

Wnt5a Rabbit mAb #49719

是否有货: Yes
产品详情

产品名称Wnt5a Rabbit mAb

克隆号JU30-30

来源种属Recombinant Rabbit

克隆性 Monoclonal antibody

纯化ProA affinity purified

应用WB,ICC,IHC,FC

种属反应性Human

免疫原描述Recombinant protein

标记Unconjugated

别名hWNT 5A antibody
hWNT5A antibody
Protein Wnt 5a antibody
Protein Wnt-5a antibody
Protein Wnt5a antibody
Wingless type MMTV integration site family member 5A antibody
Wnt 5a antibody
WNT 5A protein antibody
WNT 5A protein precursor antibody
WNT5A antibody
WNT5A protein precursor antibody
WNT5A_HUMAN antibody

数据库入口号Swiss-Prot#:P41221

Uniprot P41221

计算分子量42 kDa

配方1*TBS (pH7.4), 1%BSA, 40%Glycerol. Preservative: 0.05% Sodium Azide.

保存Store at -20˚C

应用详情
WB: 1:500-1:2,000
IHC: 1:50-1:200
ICC: 1:50

FC:1:50-1:100
Western blot analysis of Wnt5a on Hela cell lysate using anti-Wnt5a antibody at 1/1,000 dilution.
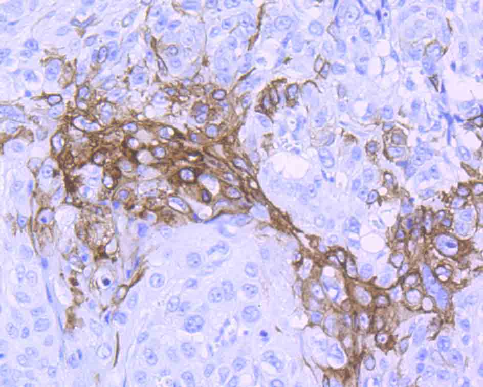
Immunohistochemical analysis of paraffin-embedded human lung cancer tissue using anti-Wnt5a antibody. Counter stained with hematoxylin.
ICC staining Wnt5a in PC-3M cells (green). The nuclear counter stain is DAPI (blue). Cells were fixed in paraformaldehyde, permeabilised with 0.25% Triton X100/PBS.
Flow cytometric analysis of SH-SY5Y cells with Wnt5a antibody at 1/50 dilution (red) compared with an unlabelled control (cells without incubation with primary antibody; black). Alexa Fluor 488-conjugated goat anti rabbit IgG was used as the secondary antibody.
The Wnt genes belong to a family of protooncogenes with at least 13 known members that are expressed in species ranging from Drosophila to man. The name Wnt denotes the relationship of this family to the Drosophila segment polarity gene "wingless" and to its vertebrate ortholog, Int1, a mouse protooncogene. Transcription of Wnt family genes appears to be developmentally regulated in a precise temporal and spatial manner. The Wnt genes encode cysteine-rich putative glycoproteins, which have features typical of secreted growth factors. Northern blot analysis detects expression of Wnt-5a in brain, lung, and heart. At least five distinct Wnt-5a transcripts are observed, which are due to transcript variability 5-prime to the initiation methionine. In situ hybridization detects a complex spatial and temporal pattern of Wnt-5a in the mouse, including expression in the developing central nervous system, limbs, facial processes, and the posterior region of the fetus. Human frizzled-5 is the receptor for the Wnt-5a ligand. It is suggested that Wnt-5a augments primitive hematopoietic development in vivo and represents an in vivo regulator of hematopoietic stem cell function in the human.

如果您使用该产品49719发表了文章,请通知我们,让我们可以引用您的文献。

et al,SETD8 cooperates with MZF1 to participate in hyperglycemia-induced endothelial inflammation via elevation of WNT5A levels in diabetic nephropathy.In Cell Mol Biol Lett on 2022 Mar 26 by Fei Wang, Wenting Hou, Xue Li , et al..PMID:35350980 , (2022),
PMID: 35350980

注释

应用

  • WB免疫印迹
  • IHC免疫组化
  • IF免疫荧光
  • ICC免疫细胞化学
  • FC流式细胞
  • IP免疫沉淀
  • E酶联免疫吸附法
  • DB免疫斑点法
  • ChIP染色质免疫沉淀
  • GICA胶体金免疫层析法
  • NC阴性对照

种属反应性

  • Hu
  • Ms小鼠
  • Rt大鼠
  • Dm果蝇
  • C线虫
  • Mk
  • Rb
  • B
  • D
  • P
  • Hm仓鼠
  • ChHm中国仓鼠
  • Chk
;

联系我们

Location :

南京市高新开发区星火路10号人才大厦C座

Phone :

400-9961-933
025-58868422

Email Address

info@sabbiotech.com