免费电话:400-9961-933
邮箱:info@sabbiotech.com
欢迎光临本站
川博智能体 English
位置: 首页 > 重组兔单抗 > PERP Rabbit mAb

PERP Rabbit mAb #49745

是否有货: Yes
产品详情

产品名称PERP Rabbit mAb

克隆号JU04-51

来源种属Recombinant Rabbit

克隆性Monoclonal

纯化ProA affinity purified

应用WB,ICC/IF

种属反应性Human;Mouse;Rat

免疫原描述Recombinant protein

标记Unconjugated

别名1110017A08Rik an tibody dJ496H19.1 antibody
KCP 1 antibody
KCP-1 antibody
KCP1 antibody
Keratinocyte associated protein 1 antibody
Keratinocyte-associated protein 1 antibody
Keratinocytes associated protein 1 antibody
KRTCAP 1 antibody
KRTCAP1 antibody
p53 apoptosis effector related to PMP 22 antibody
p53 apoptosis effector related to PMP-22 antibody
p53 apoptosis effector related to PMP22 antibody
P53 induced protein PIGPC1 antibody
P53-induced protein PIGPC1 antibody
Perp antibody
PERP TP53 apoptosis effector antibody
PERP_HUMAN antibody
PIGPC 1 antibody
PIGPC1 antibody
RP3 496H19.1 antibody
THW antibody
TP53 apoptosis effector antibody
Transmembrane protein THW antibody

数据库入口号Swiss-Prot#:Q96FX8

Uniprot Q96FX8

计算分子量21 kDa

配方1*TBS (pH7.4), 1%BSA, 40%Glycerol. Preservative: 0.05% Sodium Azide.

保存Store at -20˚C

应用详情

WB: 1:500-1:2,000
IHC: 1:50-1:200
 

Western blot analysis of PERP on human skin tissue lysate using anti-PERP antibody at 1/1,000 dilution.
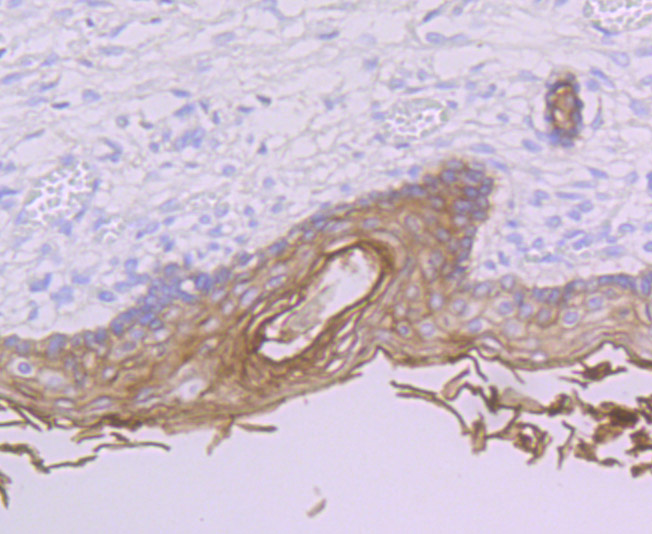
Immunohistochemical analysis of paraffin-embedded human skin tissue using anti-PERP antibody. Counter stained with hematoxylin.
Immunohistochemical analysis of paraffin-embedded mouse small intestine tissue using anti-PERP antibody. Counter stained with hematoxylin.

Component of intercellular desmosome junctions. Plays a role in stratified epithelial integrity and cell-cell adhesion by promoting desmosome assembly. Plays a role as an effector in the TP53-dependent apoptotic pathway.

如果您使用该产品49745发表了文章,请通知我们,让我们可以引用您的文献。

et al,The Spatial Transcriptomic Atlas of Human Limbus and Vital Niche Microenvironment Regulating the Fate of Limbal Epithelial Stem Cells. , (2025),
PMID: 40131296

注释

应用

  • WB免疫印迹
  • IHC免疫组化
  • IF免疫荧光
  • ICC免疫细胞化学
  • FC流式细胞
  • IP免疫沉淀
  • E酶联免疫吸附法
  • DB免疫斑点法
  • ChIP染色质免疫沉淀
  • GICA胶体金免疫层析法
  • NC阴性对照

种属反应性

  • Hu
  • Ms小鼠
  • Rt大鼠
  • Dm果蝇
  • C线虫
  • Mk
  • Rb
  • B
  • D
  • P
  • Hm仓鼠
  • ChHm中国仓鼠
  • Chk
;

联系我们

Location :

南京市高新开发区星火路10号人才大厦C座

Phone :

400-9961-933
025-58868422

Email Address

info@sabbiotech.com