免费电话:400-9961-933
邮箱:info@sabbiotech.com
欢迎光临本站
川博智能体 English
位置: 首页 > 重组兔单抗 > villin1 Rabbit mAb

villin1 Rabbit mAb#49748

是否有货: Yes
产品详情

产品名称villin1 Rabbit mAb

克隆号JU34-75

来源种属Recombinant Rabbit

克隆性 Monoclonal antibody

纯化ProA affinity purified

应用WB,ICC,IHC,FC

种属反应性Human;Mouse;Rat

免疫原描述Recombinant protein

标记Unconjugated

别名D2S1471 antibody
OTTHUMP00000164145 antibody
VIL antibody
VIL1 antibody
VILI_HUMAN antibody
Villin 1 antibody
Villin-1 antibody
Villin1 antibody

数据库入口号Swiss-Prot#:P09327

Uniprot P09327

计算分子量92/46 kDa

配方1*TBS (pH7.4), 1%BSA, 40%Glycerol. Preservative: 0.05% Sodium Azide.

保存Store at -20˚C

应用详情
WB: 1:500-1:2,000
IHC: 1:50-1:200
ICC: 1:500-1:2,000

FC: 1:50-1:100
Western blot analysis of Villin1 on different tissue lysates using anti-Villin1 antibody at 1/500 dilution.
Positive control:
Lane 1: Mouse colon
Lane 2: Human small intestine
Lane 3: Human colon
Lane 4: Rat kidney
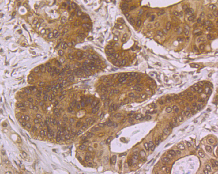
Immunohistochemical analysis of paraffin-embedded human colon cancer tissue using anti-Villin1 antibody. Counter stained with hematoxylin.
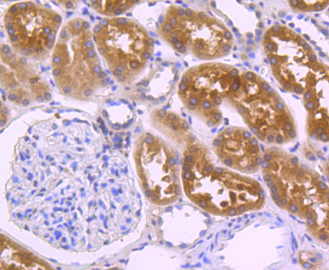
Immunohistochemical analysis of paraffin-embedded human kidney tissue using anti-Villin1 antibody. Counter stained with hematoxylin.
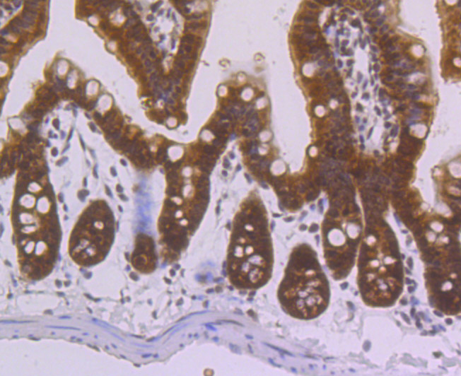
Immunohistochemical analysis of paraffin-embedded mouse colon tissue using anti-Villin1 antibody. Counter stained with hematoxylin.
ICC staining Villin1 in Hela cells (green). The nuclear counter stain is DAPI (blue). Cells were fixed in paraformaldehyde, permeabilised with 0.25% Triton X100/PBS.
ICC staining Villin1 in HepG2 cells (green). The nuclear counter stain is DAPI (blue). Cells were fixed in paraformaldehyde, permeabilised with 0.25% Triton X100/PBS.
ICC staining Villin1 in LOVO cells (green). The nuclear counter stain is DAPI (blue). Cells were fixed in paraformaldehyde, permeabilised with 0.25% Triton X100/PBS.
Flow cytometric analysis of Hela cells with Villin1 antibody at 1/100 dilution (red) compared with an unlabelled control (cells without incubation with primary antibody; black). Alexa Fluor 488-conjugated goat anti rabbit IgG was used as the secondary antibody.
Caldesmon, Filamin 1, Nebulin and Villin are differentially expressed and regulated Actin binding proteins. Both muscular (CDh) and non-muscular (CDl) forms of Caldesmon have been identified and each has been shown to bind to Actin as well as to calmodulin and myosin. CDh is expressed predominantly on thin filaments in smooth muscle, whereas CDl is widely expressed in non-muscle tissues and cells. Filamin 1, which is ubiquitously expressed and exists as a homodimer, functions to crosslink Actin to filaments. Nebulin is a large filamentous protein specific to muscle tissue that may function as a ruler for filament length. Several isoforms of Nebulin are produced by alternative exon usage. Villin is Ca2+-regulated and is the major structural component of the brush border of absorptive cells.

如果您使用该产品49748发表了文章,请通知我们,让我们可以引用您的文献。

注释

应用

  • WB免疫印迹
  • IHC免疫组化
  • IF免疫荧光
  • ICC免疫细胞化学
  • FC流式细胞
  • IP免疫沉淀
  • E酶联免疫吸附法
  • DB免疫斑点法
  • ChIP染色质免疫沉淀
  • GICA胶体金免疫层析法
  • NC阴性对照

种属反应性

  • Hu
  • Ms小鼠
  • Rt大鼠
  • Dm果蝇
  • C线虫
  • Mk
  • Rb
  • B
  • D
  • P
  • Hm仓鼠
  • ChHm中国仓鼠
  • Chk
;

联系我们

Location :

南京市高新开发区星火路10号人才大厦C座

Phone :

400-9961-933
025-58868422

Email Address

info@sabbiotech.com